Vergleich

CD44 Antibody

ArtNr ABC-AM1901b-ev
Hersteller Abcepta
Menge 80 ul
Kategorie
Typ Antibody Monoclonal
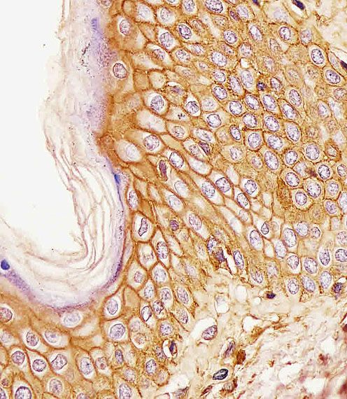
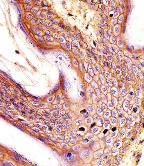
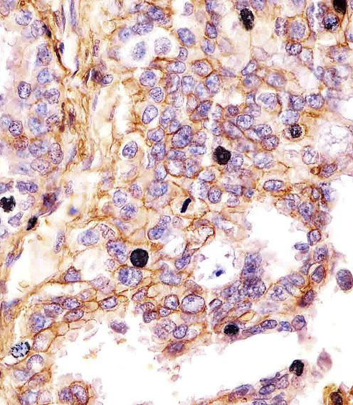
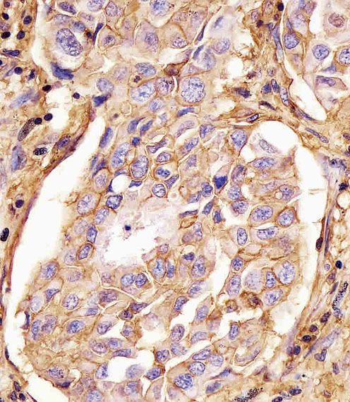
Applikationen WB, FC, IF, IHC-P
Clon Hermes-3
Specific against Human (Homo sapiens)
Host Mouse
Isotype IgG2a Kappa
Citations ?da Cunha, C.B., et al. Lab. Invest. 90(11):1604-1614(2010) ?Somasunderam, A., et al. Biochemistry 49(42):9106-9112(2010) ?Wolny, P.M., et al. J. Biol. Chem. 285(39):30170-30180(2010) ?Ryckman, K.K., et al. PLoS ONE 5 (8), E12273 (2010) : ?Scartozzi, M., et al. Anal. Quant. Cytol. Histol. 31(6):417-423(2009)
NCBI NP_000601.3,NP_001001389.1,NP_001001390.1,NP_001001391.1,NP_001001392.1,NP_001189484.1,NP_001189485.1,NP_001189486.1
ECLASS 10.1 42030590
ECLASS 11.0 42030590
UNSPSC 12352203
Similar products CD44, LHR, MDU2, MDU3, MIC4, CD44 antigen, CDw44, Epican, Extracellular matrix receptor III, GP90 lymphocyte homing/adhesion receptor, HUTCH-I, Heparan sulfate proteoglycan, Hermes antigen, Hyaluronate receptor, Phagocytic glycoprotein 1, PGP-I, PGP-1, ECMR-III, Phagocytic glycoprotein I
Lieferbar
Manufacturer - Category
Primary Antibodies; Cancer; Immunology; Signal Transduction
Manufacturer - Targets
This CD44 monoclonal antibody is against human Peyer's patch endothelial cells (CD44).
Bio Background
The protein encoded by this gene is a cell-surface glycoprotein involved in cell-cell interactions, cell adhesion and migration. It is a receptor for hyaluronic acid (HA) and can also interact with other ligands, such as osteopontin, collagens, and matrix metalloproteinases (MMPs). This protein participates in a wide variety of cellular functions including lymphocyte activation, recirculation and homing, hematopoiesis, and tumor metastasis. Transcripts for this gene undergo complex alternative splicing that results in many functionally distinct isoforms, however, the full length nature of some of these variants has not been determined. Alternative splicing is the basis for the structural and functional diversity of this protein, and may be related to tumor metastasis.
Clonality
Monoclonal
Gene Name
CD44
Subtitle
Mouse Monoclonal Antibody (Mab)
Reactivity
H
Calculated Molecular Weight
81538
Antigen Source
HUMAN
Formulation
Purified monoclonal antibody supplied in PBS with 0.09% (W/V) sodium azide. This antibody is purified through a protein G column, followed by dialysis against PBS.
Dilution
IF: 1:10~50
WB: 1:2000
IHC-P: 1:10~50
IHC-P: 1:25
IHC-P: 1:25
Manufacturer - Alias
CD44 antigen, CDw44, Epican, Extracellular matrix receptor III, ECMR-III, GP90 lymphocyte homing/adhesion receptor, HUTCH-I, Heparan sulfate proteoglycan, Hermes antigen, Hyaluronate receptor, Phagocytic glycoprotein 1, PGP-1, Phagocytic glycoprotein I, PGP-I, CD44, CD44, LHR, MDU2, MDU3, MIC4
Manufacturer - Similar
CD44 antigen, CDw44, Epican, Extracellular matrix receptor III, ECMR-III, GP90 lymphocyte homing/adhesion receptor, HUTCH-I, Heparan sulfate proteoglycan, Hermes antigen, Hyaluronate receptor, Phagocytic glycoprotein 1, PGP-1, Phagocytic glycoprotein I, PGP-I, CD44, CD44, LHR, MDU2, MDU3, MIC4

Hinweis: Die dargestellten Informationen und Dokumente (Bedienungsanleitung, Produktdatenblatt, Sicherheitsdatenblatt und Analysezertifikat) entsprechen unserem letzten Update und sollten lediglich der Orientierung dienen. Wir übernehmen keine Garantie für die Aktualität. Für spezifische Anforderungen bitten wir Sie, uns eine Anfrage zu stellen.

Alle Produkte sind nur für Forschungszwecke bestimmt. Nicht für den menschlichen, tierärztlichen oder therapeutischen Gebrauch.

Menge: 80 ul
Lieferbar: In stock
lieferbar

Vergleichen

Auf den Wunschzettel

Angebot anfordern

Lieferzeit anfragen

Technische Frage stellen

Bulk-Anfrage stellen

Fragen zum Produkt?
 
Schließen