Vergleich

EGFR Antibody (C-term)

ArtNr ABC-AM2179b-ev
Hersteller Abcepta
Menge 80 ul
Kategorie
Typ Antibody Monoclonal
Applikationen WB, IHC-P
Clon 688CT33.1.3
Specific against Human (Homo sapiens)
Host Mouse
Isotype IgG1
Citations Abdallah, R.T., et al. J. Biol. Chem. 285(45):35206-35215(2010)
Lu, C., et al. Mol. Cell. Biol. 30(22):5432-5443(2010)
Rosell, R., et al. Ann. N. Y. Acad. Sci. 1210, 45-52 (2010):
Hata, A., et al. J Thorac Oncol 5(10):1524-1528(2010)
Aguirre, A., et al. Nature 467(7313):323-327(2010)
NCBI NP_005219.2,NP_958439.1,NP_958440.1,NP_958441.1
ECLASS 10.1 42030590
ECLASS 11.0 42030590
UNSPSC 12352203
Alias Epidermal growth factor receptor,Proto-oncogene c-ErbB-1,Receptor tyrosine-protein kinase erbB-1,EGFR,ERBB,ERBB1,HER1
Similar products EGFR, ERBB, ERBB1, HER1, Epidermal growth factor receptor, Proto-oncogene c-ErbB-1, Receptor tyrosine-protein kinase erbB-1
Lieferbar
Manufacturer - Category
Crown Antibodies; Primary Antibodies; Cancer; Signal Transduction; Anti-Kinome Antibodies
Manufacturer - Targets
This EGFR antibody is generated from mice immunized with a KLH conjugated synthetic peptide between 1163-1191 amino acids from the C-terminal region of human EGFR.
Bio Background
The protein encoded by this gene is a transmembraneglycoprotein that is a member of the protein kinase superfamily.This protein is a receptor for members of the epidermal growthfactor family. EGFR is a cell surface protein that binds toepidermal growth factor. Binding of the protein to a ligand inducesreceptor dimerization and tyrosine autophosphorylation and leads tocell proliferation. Mutations in this gene are associated with lungcancer. Multiple alternatively spliced transcript variants thatencode different protein isoforms have been found for this gene.
Clonality
Monoclonal
Gene Name
EGFR
Subtitle
Mouse Monoclonal Antibody (Mab)
Reactivity
H
Calculated Molecular Weight
134277
Antigen Source
HUMAN
Antigen Region
1163-1191
Formulation
Purified monoclonal antibody supplied in PBS with 0.09% (W/V) sodium azide. This antibody is purified through a protein G column, followed by dialysis against PBS.
Dilution
WB: 1:1000
WB: 1:8000
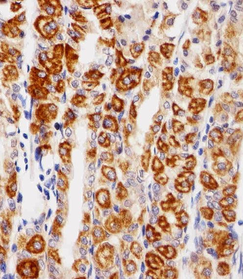
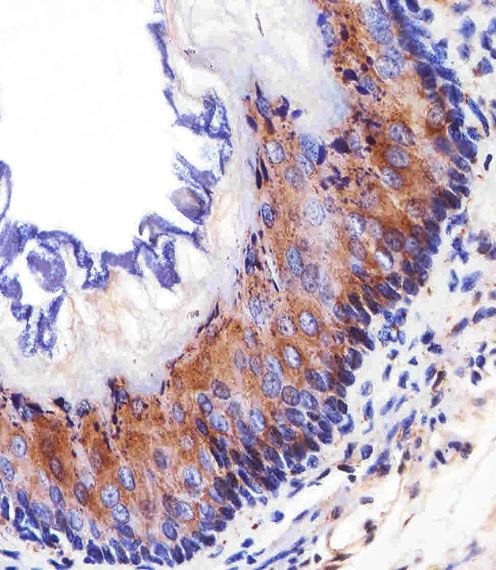
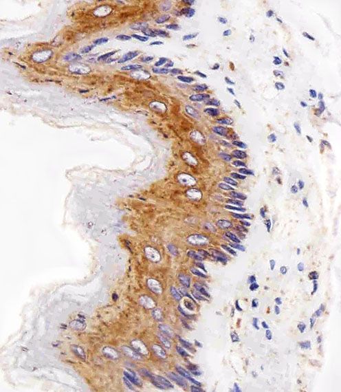
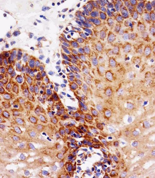
IHC-P: 1:25
IHC-P: 1:25
IHC-P: 1:25
Antigen Type
Synthetic Peptide

Hinweis: Die dargestellten Informationen und Dokumente (Bedienungsanleitung, Produktdatenblatt, Sicherheitsdatenblatt und Analysezertifikat) entsprechen unserem letzten Update und sollten lediglich der Orientierung dienen. Wir übernehmen keine Garantie für die Aktualität. Für spezifische Anforderungen bitten wir Sie, uns eine Anfrage zu stellen.

Alle Produkte sind nur für Forschungszwecke bestimmt. Nicht für den menschlichen, tierärztlichen oder therapeutischen Gebrauch.

Menge: 80 ul
Lieferbar: In stock
lieferbar

Vergleichen

Auf den Wunschzettel

Angebot anfordern

Lieferzeit anfragen

Technische Frage stellen

Bulk-Anfrage stellen

Fragen zum Produkt?
 
Schließen