Vergleich

EPHB2 Antibody

ArtNr ABC-AM7623b-ev
Hersteller Abcepta
Menge 50 ul
Kategorie
Typ Antibody Monoclonal
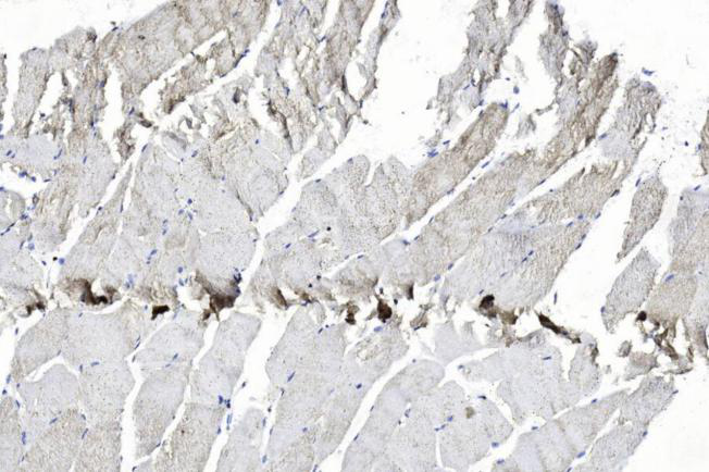
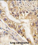
Applikationen WB, FC, IHC-P
Clon 48CT12.6.4
Specific against Human (Homo sapiens)
Host Mouse
Isotype IgG1 Kappa
Citations Maternal genes and facial clefts in offspring: a comprehensive search for genetic associations in two population-based cleft studies from Scandinavia. Jugessur A, et al. PLoS One, 2010 Jul 9. PMID 20634891. Variation at the NFATC2 Locus Increases the Risk of Thiazolinedinedione-Induced Edema in the Diabetes REduction Assessment with ramipril and rosiglitazone Medication (DREAM) Study. Bailey SD, et al. Diabetes Care, 2010 Jul 13. PMID 20628086. Loss of cell-surface receptor EphB2 is important for the growth, migration, and invasiveness of a colon cancer cell line. Senior PV, et al. Int J Colorectal Dis, 2010 Jun. PMID 20339854. Ephrin-B2 regulates endothelial cell morphology and motility independently of Eph-receptor binding. Bochenek ML, et al. J Cell Sci, 2010 Apr 15. PMID 20233847. The EphB2 tumor suppressor induces autophagic cell death via concomitant activation of the ERK1/2 and PI3K pathways. Kandouz M, et al. Cell Cycle, 2010 Jan 15. PMID 20046096.
NCBI NP_004433.2,NP_059145.2
ECLASS 10.1 42030590
ECLASS 11.0 42030590
UNSPSC 12352203
Similar products ERK, EPHB2, DRT, EPHT3, EPTH3, HEK5, TYRO5, Ephrin type-B receptor 2, Developmentally-regulated Eph-related tyrosine kinase, ELK-related tyrosine kinase, EPH tyrosine kinase 3, EPH-like kinase 5, Renal carcinoma antigen NY-REN-47, Tyrosine-protein kinase receptor EPH-3, Tyrosine-protein kinase TYRO5, EK5, hEK5
Lieferbar
Manufacturer - Category
Primary Antibodies; Cancer; Cardiovascular; Neuroscience; Signal Transduction; Anti-Kinome Antibodies
Manufacturer - Targets
Purified His-tagged EPHB2 protein(Fragment, between amino acids 127~425) was used to produce this monoclonal antibody.
Bio Background
Ephrin receptors and their ligands, the ephrins, mediate numerous developmental processes, particularly in the nervous system. Based on their structures and sequence relationships, ephrins are divided into the ephrin-A (EFNA) class, which are anchored to the membrane by a glycosylphosphatidylinositol linkage, and the ephrin-B (EFNB) class, which are transmembrane proteins. The Eph family of receptors are divided into 2 groups based on the similarity of their extracellular domain sequences and their affinities for binding ephrin-A and ephrin-B ligands. Ephrin receptors make up the largest subgroup of the receptor tyrosine kinase (RTK) family. The protein encoded by this gene is a receptor for ephrin-B family members.
Clonality
Monoclonal
Gene Name
EPHB2
Subtitle
Purified Mouse Monoclonal Antibody (Mab)
Reactivity
H
Calculated Molecular Weight
117493
Antigen Source
HUMAN
Formulation
Purified monoclonal antibody supplied in PBS with 0.09% (W/V) sodium azide. This antibody is purified through a protein G column, followed by dialysis against PBS.
Dilution
WB: 1:1000
IHC: 1:400
IHC-P: 1:200
FC: 1:10~50
Antigen Type
Recombinant Protein
Manufacturer - Alias
Ephrin type-B receptor 2, Developmentally-regulated Eph-related tyrosine kinase, ELK-related tyrosine kinase, EPH tyrosine kinase 3, EPH-like kinase 5, EK5, hEK5, Renal carcinoma antigen NY-REN-47, Tyrosine-protein kinase TYRO5, Tyrosine-protein kinase receptor EPH-3, EPHB2, DRT, EPHT3, EPTH3, ERK, HEK5, TYRO5
Manufacturer - Similar
Ephrin type-B receptor 2, Developmentally-regulated Eph-related tyrosine kinase, ELK-related tyrosine kinase, EPH tyrosine kinase 3, EPH-like kinase 5, EK5, hEK5, Renal carcinoma antigen NY-REN-47, Tyrosine-protein kinase TYRO5, Tyrosine-protein kinase receptor EPH-3, EPHB2, DRT, EPHT3, EPTH3, ERK, HEK5, TYRO5

Hinweis: Die dargestellten Informationen und Dokumente (Bedienungsanleitung, Produktdatenblatt, Sicherheitsdatenblatt und Analysezertifikat) entsprechen unserem letzten Update und sollten lediglich der Orientierung dienen. Wir übernehmen keine Garantie für die Aktualität. Für spezifische Anforderungen bitten wir Sie, uns eine Anfrage zu stellen.

Alle Produkte sind nur für Forschungszwecke bestimmt. Nicht für den menschlichen, tierärztlichen oder therapeutischen Gebrauch.

Menge: 50 ul
Lieferbar: In stock
lieferbar

Vergleichen

Auf den Wunschzettel

Angebot anfordern

Lieferzeit anfragen

Technische Frage stellen

Bulk-Anfrage stellen

Fragen zum Produkt?
 
Schließen