Vergleich

CAPN1 Antibody

ArtNr ABC-AM8430a-ev
Hersteller Abcepta
Menge 80 ul
Kategorie
Typ Antibody Monoclonal
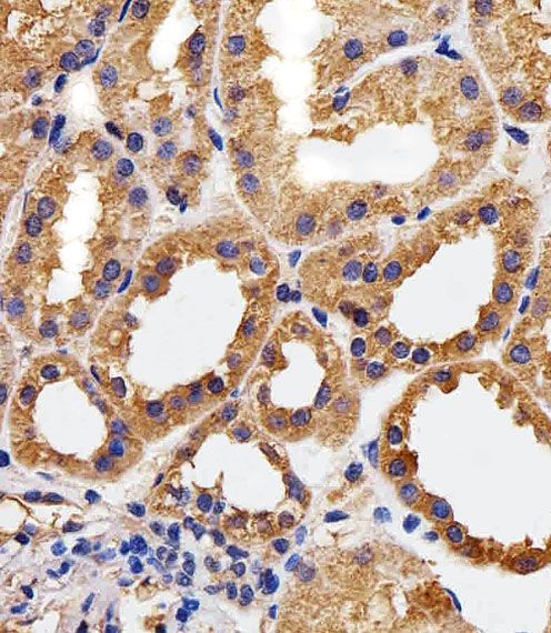
Applikationen WB, FC, IHC-P
Clon 1376CT809.24.85
Specific against Human (Homo sapiens)
Host Mouse
Isotype IgG1 Kappa
Citations Aoki K.,et al.FEBS Lett. 205:313-317(1986).
Sorimachi H.,et al.Biol. Chem. Hoppe-Seyler 371:171-176(1990).
Kim J.W.,et al.Submitted (FEB-2004) to the EMBL/GenBank/DDBJ databases.
Melloni E.,et al.Biochem. Biophys. Res. Commun. 229:193-197(1996).
Michetti M.,et al.FEBS Lett. 392:11-15(1996).
ECLASS 10.1 42030590
ECLASS 11.0 42030590
UNSPSC 12352203
Alias Calpain-1 catalytic subunit,Calcium-activated neutral proteinase 1,CANP 1,Calpain mu-type,Calpain-1 large subunit,Cell proliferation-inducing gene 30 protein,Micromolar-calpain,muCANP,CAPN1,CANPL1
Similar products CAPN1, CANPL1, muCANP, CANP 1, Calcium-activated neutral proteinase 1, Calpain mu-type, Calpain-1 catalytic subunit, Calpain-1 large subunit, Cell proliferation-inducing gene 30 protein, Micromolar-calpain
Lieferbar
Manufacturer - Category
Crown Antibodies; Primary Antibodies; Cell Biology; Signal Transduction; Apoptosis
Manufacturer - Targets
This CAPN1 antibody is generated from a mouse immunized with a KLH conjugated synthetic peptide between amino acids from the human region of human CAPN1.
Bio Background
Calcium-regulated non-lysosomal thiol-protease which catalyze limited proteolysis of substrates involved in cytoskeletal remodeling and signal transduction.
Clonality
Monoclonal
Gene Name
CAPN1
Subtitle
Purified Mouse Monoclonal Antibody (Mab)
Reactivity
H
Calculated Molecular Weight
81890
Antigen Source
HUMAN
Antigen Region
1-420
Formulation
Purified monoclonal antibody supplied in PBS with 0.09% (W/V) sodium azide. This antibody is purified through a protein G column, followed by dialysis against PBS.
Dilution
WB: 1:1000
IHC-P: 1:25
FC: 1:25
Antigen Type
Recombinant Protein

Hinweis: Die dargestellten Informationen und Dokumente (Bedienungsanleitung, Produktdatenblatt, Sicherheitsdatenblatt und Analysezertifikat) entsprechen unserem letzten Update und sollten lediglich der Orientierung dienen. Wir übernehmen keine Garantie für die Aktualität. Für spezifische Anforderungen bitten wir Sie, uns eine Anfrage zu stellen.

Alle Produkte sind nur für Forschungszwecke bestimmt. Nicht für den menschlichen, tierärztlichen oder therapeutischen Gebrauch.

Menge: 80 ul
Lieferbar: In stock
lieferbar

Vergleichen

Auf den Wunschzettel

Angebot anfordern

Lieferzeit anfragen

Technische Frage stellen

Bulk-Anfrage stellen

Fragen zum Produkt?
 
Schließen