Vergleich

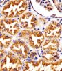
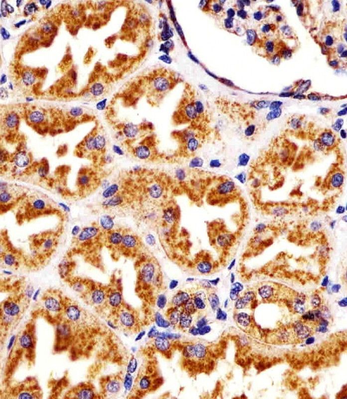
LAMP1 Antibody

ArtNr ABC-AM8465b
Hersteller Abcepta
Menge 400 ul
Kategorie
Typ Antibody Monoclonal
Applikationen WB, IF, IHC-P
Clon 1483CT517.45.23
Specific against Human (Homo sapiens)
Host Mouse
Isotype IgG1 Kappa
Citations Fukuda M.,et al.J. Biol. Chem. 263:18920-18928(1988).
Ota T.,et al.Nat. Genet. 36:40-45(2004).
Dunham A.,et al.Nature 428:522-528(2004).
Mural R.J.,et al.Submitted (JUL-2005) to the EMBL/GenBank/DDBJ databases.
Mane S.M.,et al.Arch. Biochem. Biophys. 268:360-378(1989).
ECLASS 10.1 42030590
ECLASS 11.0 42030590
UNSPSC 12352203
Alias Lysosome-associated membrane glycoprotein 1,LAMP-1,Lysosome-associated membrane protein 1,CD107 antigen-like family member A,CD107a,LAMP1
Similar products LAMP-1, LAMP1, CD107a, Lysosome-associated membrane glycoprotein 1, CD107 antigen-like family member A, Lysosome-associated membrane protein 1
Lieferbar
Manufacturer - Category
Crown Antibodies; Primary Antibodies; Stem Cells; Host cell receptor for virus entry; Viral entry into host cell; Host-virus interaction; Lysosome
Manufacturer - Targets
This LAMP1 antibody is generated from a mouse immunized with a recombinant protein.
Bio Background
Presents carbohydrate ligands to selectins. Also implicated in tumor cell metastasis.
Clonality
Monoclonal
Gene Name
LAMP1 {ECO:0000303|PubMed:23632890, ECO:0000312|HGNC:HGNC:6499}
Subtitle
Purified Mouse Monoclonal Antibody (Mab)
Reactivity
H, Green Monkey
Calculated Molecular Weight
44882
Antigen Source
HUMAN
Formulation
Purified monoclonal antibody supplied in PBS with 0.09% (W/V) sodium azide. This antibody is purified through a protein G column, followed by dialysis against PBS.
Dilution
WB: 1:1000
IF: 1:25
WB: 1:2000
IHC-P: 1:25

Hinweis: Die dargestellten Informationen und Dokumente (Bedienungsanleitung, Produktdatenblatt, Sicherheitsdatenblatt und Analysezertifikat) entsprechen unserem letzten Update und sollten lediglich der Orientierung dienen. Wir übernehmen keine Garantie für die Aktualität. Für spezifische Anforderungen bitten wir Sie, uns eine Anfrage zu stellen.

Alle Produkte sind nur für Forschungszwecke bestimmt. Nicht für den menschlichen, tierärztlichen oder therapeutischen Gebrauch.

Menge: 400 ul
Lieferbar: In stock
lieferbar

Vergleichen

Auf den Wunschzettel

Angebot anfordern

Lieferzeit anfragen

Technische Frage stellen

Bulk-Anfrage stellen

Fragen zum Produkt?
 
Schließen