Vergleich

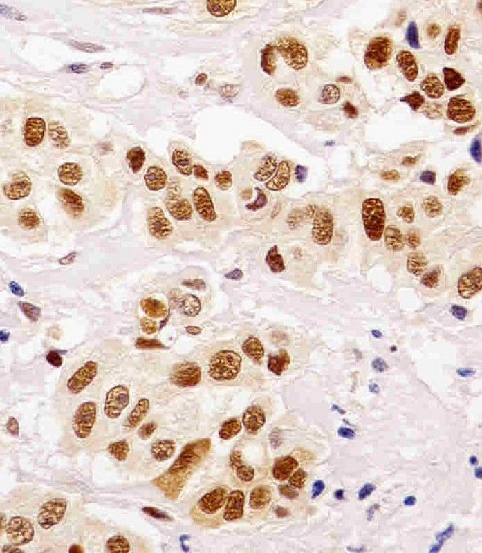
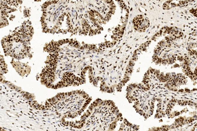
PCNA Antibody

ArtNr ABC-AM8545b
Hersteller Abcepta
Menge 200 ul
Kategorie
Typ Antibody Monoclonal
Applikationen WB, FC, IHC-P
Clon 1655CT506.10.26
Specific against Human (Homo sapiens)
Host Mouse
Isotype IgG1 Kappa
Citations Almendral J.M.,et al.Proc. Natl. Acad. Sci. U.S.A. 84:1575-1579(1987).
Travali S.,et al.J. Biol. Chem. 264:7466-7472(1989).
Ota T.,et al.Nat. Genet. 36:40-45(2004).
Deloukas P.,et al.Nature 414:865-871(2001).
Mural R.J.,et al.Submitted (SEP-2005) to the EMBL/GenBank/DDBJ databases.
ECLASS 10.1 42030590
ECLASS 11.0 42030590
UNSPSC 12352203
Alias Proliferating cell nuclear antigen,PCNA,Cyclin,PCNA
Similar products PCNA, Cyclin, Proliferating cell nuclear antigen
Lieferbar
Manufacturer - Category
Crown Antibodies; Primary Antibodies; Cancer; Cell Biology
Manufacturer - Targets
This PCNA antibody is generated from a mouse immunized with a recombinant protein of human PCNA.
Bio Background
Auxiliary protein of DNA polymerase delta and is involved in the control of eukaryotic DNA replication by increasing the polymerase's processibility during elongation of the leading strand. Induces a robust stimulatory effect on the 3'- 5' exonuclease and 3'-phosphodiesterase, but not apurinic- apyrimidinic (AP) endonuclease, APEX2 activities. Has to be loaded onto DNA in order to be able to stimulate APEX2. Plays a key role in DNA damage response (DDR) by being conveniently positioned at the replication fork to coordinate DNA replication with DNA repair and DNA damage tolerance pathways. Acts as a loading platform to recruit DDR proteins that allow completion of DNA replication after DNA damage and promote postreplication repair: Monoubiquitinated PCNA leads to recruitment of translesion (TLS) polymerases, while 'Lys-63'-linked polyubiquitination of PCNA is involved in error-free pathway and employs recombination mechanisms to synthesize across the lesion.
Clonality
Monoclonal
Gene Name
PCNA
Subtitle
Purified Mouse Monoclonal Antibody (Mab)
Reactivity
H
Calculated Molecular Weight
28769
Antigen Source
HUMAN
Formulation
Purified monoclonal antibody supplied in PBS with 0.09% (W/V) sodium azide. This antibody is purified through a protein G column, followed by dialysis against PBS.
Dilution
WB: 1:1000
WB: 1:2000
IHC: 1:2000
IHC-P: 1:25
FC: 1:25
Antigen Type
Recombinant Protein

Hinweis: Die dargestellten Informationen und Dokumente (Bedienungsanleitung, Produktdatenblatt, Sicherheitsdatenblatt und Analysezertifikat) entsprechen unserem letzten Update und sollten lediglich der Orientierung dienen. Wir übernehmen keine Garantie für die Aktualität. Für spezifische Anforderungen bitten wir Sie, uns eine Anfrage zu stellen.

Alle Produkte sind nur für Forschungszwecke bestimmt. Nicht für den menschlichen, tierärztlichen oder therapeutischen Gebrauch.

Menge: 200 ul
Lieferbar: In stock
lieferbar

Vergleichen

Auf den Wunschzettel

Angebot anfordern

Lieferzeit anfragen

Technische Frage stellen

Bulk-Anfrage stellen

Fragen zum Produkt?
 
Schließen