Vergleich

PEMT Antibody (C-term)

ArtNr ABC-AP1025B
Hersteller Abcepta
Menge 400 ul
Kategorie
Typ Antibody Polyclonal
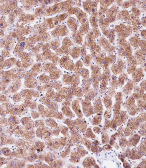
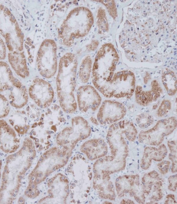
Applikationen WB, IHC-P
Specific against Human (Homo sapiens), Mouse (Murine, Mus musculus)
Host Rabbit
Isotype IgG
Citations Walkey C.J., Biochim. Biophys. Acta 1436:405-412(1999).
Shields D.J., Biochim. Biophys. Acta 1532:105-114(2001).
Hu R.-M., Proc. Natl. Acad. Sci. U.S.A. 97:9543-9548(2000).
NCBI NP_001254480.1,NP_001254481.1,NP_009100.2,NP_680477.1,NP_680478.1
ECLASS 10.1 32160702
ECLASS 11.0 32160702
UNSPSC 12352203
Alias Phosphatidylethanolamine N-methyltransferase,PEAMT,PEMT,PEMT2,PEMT,PEMPT,PNMT
Similar products PNMT, PEMT, PEMPT, Phosphatidylethanolamine N-methyltransferase, PEMT2, PEAMT
Lieferbar
Manufacturer - Category
Primary Antibodies; Cancer; Metabolism; Signal Transduction; Mitochondrion
Manufacturer - Targets
This PEMT antibody is generated from rabbits immunized with a KLH conjugated synthetic peptide between 170-199 amino acids from the C-terminal region of human PEMT.
Bio Background
PEMT is an enzyme which converts phosphatidylethanolamine to phosphatidylcholine by sequential methylation in the liver. The protein localizes to the endoplasmic reticulum and mitochondria-associated membranes. The gene is within the Smith-Magenis syndrome region on chromosome 17.
Clonality
Polyclonal
Polyclonal Antibody Additonal Information
RB12628
Gene Name
PEMT {ECO:0000255|HAMAP-Rule:MF_03216}
Subtitle
Purified Rabbit Polyclonal Antibody (Pab)
Reactivity
H, M
Calculated Molecular Weight
22134
Antigen Source
HUMAN
Antigen Region
170-199
Formulation
Purified polyclonal antibody supplied in PBS with 0.09% (W/V) sodium azide. This antibody is purified through a protein A column, followed by peptide affinity purification.
Dilution
WB: 1:1000
IHC-P: 1:100
IHC-P: 1:100
Antigen Type
Synthetic Peptide

Hinweis: Die dargestellten Informationen und Dokumente (Bedienungsanleitung, Produktdatenblatt, Sicherheitsdatenblatt und Analysezertifikat) entsprechen unserem letzten Update und sollten lediglich der Orientierung dienen. Wir übernehmen keine Garantie für die Aktualität. Für spezifische Anforderungen bitten wir Sie, uns eine Anfrage zu stellen.

Alle Produkte sind nur für Forschungszwecke bestimmt. Nicht für den menschlichen, tierärztlichen oder therapeutischen Gebrauch.

Menge: 400 ul
Lieferbar: In stock
lieferbar

Vergleichen

Auf den Wunschzettel

Angebot anfordern

Lieferzeit anfragen

Technische Frage stellen

Bulk-Anfrage stellen

Fragen zum Produkt?
 
Schließen