Vergleich

CALCA Antibody (Center)

ArtNr ABC-AP11119c
Hersteller Abcepta
Menge 400 ul
Kategorie
Typ Antibody Polyclonal
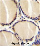
Applikationen WB, IHC-P
Specific against Human (Homo sapiens)
Host Rabbit
Isotype IgG
Citations Giroux, S., et al. Bone 47(5):975-981(2010)
Bailey, S.D., et al. Diabetes Care 33(10):2250-2253(2010)
Lee, J.Y., et al. Korean J Lab Med 30(4):406-413(2010)
Giovanella, L., et al. Clin. Chem. Lab. Med. 48(8):1163-1165(2010)
Hatzistilianou, M. ScientificWorldJournal 10, 1941-1946 (2010) :
NCBI NP_001029125.1
ECLASS 10.1 32160702
ECLASS 11.0 32160702
UNSPSC 12352203
Alias Calcitonin gene-related peptide 1,Alpha-type CGRP,Calcitonin gene-related peptide I,CGRP-I,CALCA,CALC1
Similar products CALCA, CALC1, Calcitonin gene-related peptide 1, Alpha-type CGRP, Calcitonin gene-related peptide I, CGRP-I
Lieferbar
Manufacturer - Category
Primary Antibodies; Cardiovascular; Neuroscience
Manufacturer - Targets
This CALCA antibody is generated from rabbits immunized with a KLH conjugated synthetic peptide between 56-83 amino acids from the Central region of human CALCA.
Bio Background
This gene encodes the peptide hormones calcitonin, calcitonin gene-related peptide and katacalcin by tissue-specificalternative RNA splicing of the gene transcripts and cleavage ofinactive precursor proteins. Calcitonin is involved in calciumregulation and acts to regulate phosphorus metabolism. Calcitoningene-related peptide functions as a vasodilator while katacalcin isa calcium-lowering peptide. Multiple transcript variants encodingdifferent isoforms have been found for this gene.
Clonality
Polyclonal
Polyclonal Antibody Additonal Information
RB19409
Gene Name
CALCA
Subtitle
Affinity Purified Rabbit Polyclonal Antibody (Pab)
Reactivity
H
Calculated Molecular Weight
13899
Antigen Source
HUMAN
Antigen Region
56-83
Formulation
Purified polyclonal antibody supplied in PBS with 0.09% (W/V) sodium azide. This antibody is purified through a protein A column, followed by peptide affinity purification.
Dilution
WB: 1:2000
IHC-P: 1:50~100
Antigen Type
Synthetic Peptide

Hinweis: Die dargestellten Informationen und Dokumente (Bedienungsanleitung, Produktdatenblatt, Sicherheitsdatenblatt und Analysezertifikat) entsprechen unserem letzten Update und sollten lediglich der Orientierung dienen. Wir übernehmen keine Garantie für die Aktualität. Für spezifische Anforderungen bitten wir Sie, uns eine Anfrage zu stellen.

Alle Produkte sind nur für Forschungszwecke bestimmt. Nicht für den menschlichen, tierärztlichen oder therapeutischen Gebrauch.

Menge: 400 ul
Lieferbar: In stock
lieferbar

Vergleichen

Auf den Wunschzettel

Angebot anfordern

Lieferzeit anfragen

Technische Frage stellen

Bulk-Anfrage stellen

Fragen zum Produkt?
 
Schließen