Vergleich

CASP12 Antibody (Center)

ArtNr ABC-AP12027C-ev
Hersteller Abcepta
Menge 80 ul
Kategorie
Typ Antibody Polyclonal
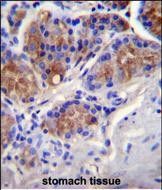
Applikationen WB, FC, IF, IHC-P
Specific against Human (Homo sapiens)
Host Rabbit
Isotype IgG
Citations Lee, H.J., et al. Arch. Biochem. Biophys. 502(1):68-73(2010)
Plantinga, T.S., et al. J. Acquir. Immune Defic. Syndr. 55(1):87-94(2010)
McCall, M.B., et al. Eur. Cytokine Netw. 21(2):77-83(2010)
Kachapati, K., et al. Hum. Mutat. 27 (9), 975 (2006):
Xue, Y., et al. Am. J. Hum. Genet. 78(4):659-670(2006)
NCBI NP_001177945.1
ECLASS 10.1 32160702
ECLASS 11.0 32160702
UNSPSC 12352203
Alias Inactive caspase-12,CASP-12,CASP12
Similar products CASP12, Inactive caspase-12, CASP-12
Lieferbar
Manufacturer - Category
Primary Antibodies; Antibody Collections; Cancer; Cell Biology; Metabolism; Neuroscience; Amyotrophic Lateral Sclerosis (ALS); Inflammasome; Apoptosis
Manufacturer - Targets
This CASP12 antibody is generated from rabbits immunized with a KLH conjugated synthetic peptide between 165-193 amino acids from the Central region of human CASP12.
Bio Background
Caspases are cysteine proteases that cleave C-terminalaspartic acid residues on their substrate molecules. This gene ismost highly related to members of the ICE subfamily of caspasesthat process inflammatory cytokines. In rodents, the homolog ofthis gene mediates apoptosis in response to endoplasmic reticulumstress. However, in humans this gene contains a polymorphism forthe presence or absence of a premature stop codon. The majority ofhuman individuals have the premature stop codon and produce atruncated non-functional protein. The read-through codon occursprimarily in individuals of African descent and carriers haveendotoxin hypo-responsiveness and an increased susceptibility tosevere sepsis. Several alternatively spliced transcript variantshave been noted for this gene.
Clonality
Polyclonal
Polyclonal Antibody Additonal Information
RB31705
Gene Name
CASP12
Subtitle
Affinity Purified Rabbit Polyclonal Antibody (Pab)
Reactivity
H
Calculated Molecular Weight
38907
Antigen Source
HUMAN
Antigen Region
165-193
Formulation
Purified polyclonal antibody supplied in PBS with 0.09% (W/V) sodium azide. This antibody is purified through a protein A column, followed by peptide affinity purification.
Dilution
IF: 1:10~50
WB: 1:1000
IHC-P: 1:10~50
FC: 1:10~50
Antigen Type
Synthetic Peptide

Hinweis: Die dargestellten Informationen und Dokumente (Bedienungsanleitung, Produktdatenblatt, Sicherheitsdatenblatt und Analysezertifikat) entsprechen unserem letzten Update und sollten lediglich der Orientierung dienen. Wir übernehmen keine Garantie für die Aktualität. Für spezifische Anforderungen bitten wir Sie, uns eine Anfrage zu stellen.

Alle Produkte sind nur für Forschungszwecke bestimmt. Nicht für den menschlichen, tierärztlichen oder therapeutischen Gebrauch.

Menge: 80 ul
Lieferbar: In stock
lieferbar

Vergleichen

Auf den Wunschzettel

Angebot anfordern

Lieferzeit anfragen

Technische Frage stellen

Bulk-Anfrage stellen

Fragen zum Produkt?
 
Schließen