Vergleich

Hrk BH3 Domain Antibody

ArtNr ABC-AP1311a
Hersteller Abcepta
Menge 400 ul
Kategorie
Typ Antibody Primary
Format Purified polyclonal antibody supplied in PBS with 0.09% (W/V) sodium azide. This antibody is purified through a protein A column, followed by peptide affinity purification.
Applikationen WB, IHC-P
Specific against other
Host Rabbit
Isotype Ig
ECLASS 10.1 32160702
ECLASS 11.0 32160702
UNSPSC 12352203
Similar products HRK, BID3, Activator of apoptosis harakiri, BH3-interacting domain-containing protein 3, Neuronal death protein DP5
Lieferbar
Primary Accession
O00198
Antigen Type
Synthetic Peptide
Application
IHC-P, WB
Bio Background
Activator of apoptosis Hrk regulates apoptosis through interaction with death-repressor proteins Bcl-2 and Bcl-X(L). The HRK protein lacks significant homology to other BCL2 family members except for an 8-amino acid region that was similar to the BCL2 homology domain-3 (BH3) motif of BIK. HRK interacts with BCL2 and BCLXL via the BH3 domain, but not with the death-promoting BCL2-related proteins BAX, BAK, or BCLXS. HRK localizes to membranes of intracellular organelles in a pattern similar to that previously reported for BCL2 and BCLXL.
Bio References
Wakabayashi, T., et al., Neurosci. Lett. 318(2):77-80 (2002).
Inohara, N., et al., EMBO J. 16(7):1686-1694 (1997).
Clonality
Polyclonal
Clone/Animal Names
RB04688
Gene ID
8739
Gene Name
HRK
Subtitle
Affinity Purified Rabbit Polyclonal Antibody (Pab)
Reactivity
H, M
Legend image 1
Hrk-BH3 (Cat. #AP1311a) western blot analysis in mouse kidney tissue lysates (35ug/lane).This demonstrates the Hrk antibody detected the Hrk protein (arrow).
Type image 1
WB
Dilution image 1
1:1000
Legend image 2
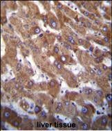
Hrk BH3 Domain Antibody (Cat. #AP1311a)immunohistochemistry analysis in formalin fixed and paraffin embedded human liver tissue followed by peroxidase conjugation of the secondary antibody and DAB staining.This data demonstrates the use of Hrk BH3 Domain Antibody for immunohistochemistry. Clinical relevance has not been evaluated.
Type image 2
IHC-P
Dilution image 2
1:10~50
Other Accession
NP_003797
Isotype
Rabbit Ig
Calculated MW
9884
Antigen Region
15-50
Antigen Source
HUMAN
Target/Specificity
This Hrk BH3 Domain antibody is generated from rabbits immunized with a KLH conjugated synthetic peptide between 15-50 amino acids from human Hrk BH3 Domain.
NCBI Accession
NP_003797.1

Hinweis: Die dargestellten Informationen und Dokumente (Bedienungsanleitung, Produktdatenblatt, Sicherheitsdatenblatt und Analysezertifikat) entsprechen unserem letzten Update und sollten lediglich der Orientierung dienen. Wir übernehmen keine Garantie für die Aktualität. Für spezifische Anforderungen bitten wir Sie, uns eine Anfrage zu stellen.

Alle Produkte sind nur für Forschungszwecke bestimmt. Nicht für den menschlichen, tierärztlichen oder therapeutischen Gebrauch.

Menge: 400 ul
Lieferbar: In stock
lieferbar

Vergleichen

Auf den Wunschzettel

Angebot anfordern

Lieferzeit anfragen

Technische Frage stellen

Bulk-Anfrage stellen

Fragen zum Produkt?
 
Schließen