Vergleich

CASP2 Antibody (Center)

ArtNr ABC-AP1327c-ev
Hersteller Abcepta
Menge 80 ul
Kategorie
Typ Antibody Polyclonal
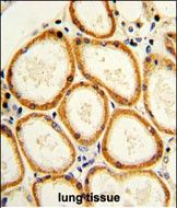
Applikationen WB, FC, IHC-P
Specific against Human (Homo sapiens)
Host Rabbit
Isotype IgG
Citations Lan,Q., Morton,L.M. Blood (2009) In press
Shi,M., Vivian,C.J. Cell 136 (3), 508-520 (2009)
Paroni,G., Henderson,C. J. Biol. Chem. 276 (24), 21907-21915 (2001)
Tiso,N., Pallavicini,A. Biochem. Biophys. Res. Commun. 225 (3), 983-989 (1996)
NCBI NP_001215.1,NP_116764.2,NP_116765.2
ECLASS 10.1 32160702
ECLASS 11.0 32160702
UNSPSC 12352203
Alias Caspase-2,CASP-2,Neural precursor cell expressed developmentally down-regulated protein 2,NEDD-2,Protease ICH-1,Caspase-2 subunit p18,Caspase-2 subunit p13,Caspase-2 subunit p12,CASP2,ICH1,NEDD2
Similar products Caspase-2, CASP2, CASP-2, ICH1, NEDD2, NEDD-2, Neural precursor cell expressed developmentally down-regulated protein 2, Protease ICH-1, Caspase-2 subunit p12, Caspase-2 subunit p13, Caspase-2 subunit p18
Lieferbar
Manufacturer - Category
Primary Antibodies; Cancer; Cell Biology; Metabolism
Manufacturer - Targets
This CASP2 antibody is generated from rabbits immunized with a KLH conjugated synthetic peptide between 198-226 amino acids from the Central region of human CASP2.
Bio Background
CASP2 is a protein which is a member of the cysteine-aspartic acid protease (caspase) family. Sequential activation of caspases plays a central role in the execution-phase of cell apoptosis. The protein exist as inactive proenzymes which undergo proteolytic processing at conserved aspartic residues to produce two subunits, large and small, that dimerize to form the active enzyme. The proteolytic cleavage of this protein is induced by a variety of apoptotic stimuli.
Clonality
Polyclonal
Polyclonal Antibody Additonal Information
RB18402
Gene Name
CASP2
Subtitle
Purified Rabbit Polyclonal Antibody (Pab)
Reactivity
H
Calculated Molecular Weight
50685
Antigen Source
HUMAN
Antigen Region
198-226
Formulation
Purified polyclonal antibody supplied in PBS with 0.09% (W/V) sodium azide. This antibody is prepared by Saturated Ammonium Sulfate (SAS) precipitation followed by dialysis against PBS.
Dilution
WB: 1:1000
IHC-P: 1:10~50
FC: 1:10~50
Antigen Type
Synthetic Peptide

Hinweis: Die dargestellten Informationen und Dokumente (Bedienungsanleitung, Produktdatenblatt, Sicherheitsdatenblatt und Analysezertifikat) entsprechen unserem letzten Update und sollten lediglich der Orientierung dienen. Wir übernehmen keine Garantie für die Aktualität. Für spezifische Anforderungen bitten wir Sie, uns eine Anfrage zu stellen.

Alle Produkte sind nur für Forschungszwecke bestimmt. Nicht für den menschlichen, tierärztlichen oder therapeutischen Gebrauch.

Menge: 80 ul
Lieferbar: In stock
lieferbar

Vergleichen

Auf den Wunschzettel

Angebot anfordern

Lieferzeit anfragen

Technische Frage stellen

Bulk-Anfrage stellen

Fragen zum Produkt?
 
Schließen