Vergleich

RAB1B Antibody (C-term)

ArtNr ABC-AP13810b
Hersteller Abcepta
Menge 400 ul
Kategorie
Typ Antibody Polyclonal
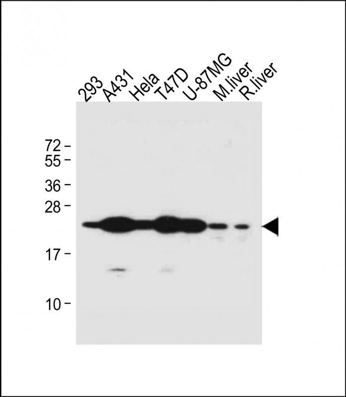
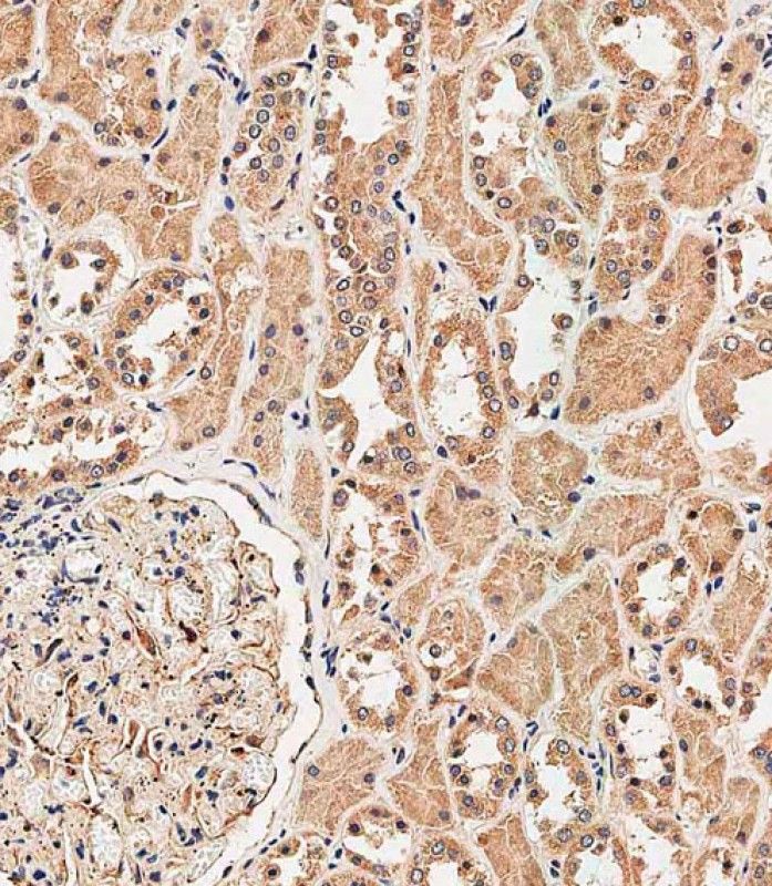
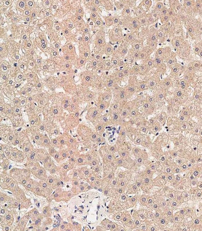
Applikationen WB, IHC-P
Specific against Human (Homo sapiens), Mouse (Murine, Mus musculus), Rat (Rattus norvegicus)
Host Rabbit
Isotype IgG
Citations Yamayoshi, S., et al. J. Virol. 84(9):4816-4820(2010)
Machner, M.P., et al. Science 318(5852):974-977(2007)
Monetta, P., et al. Mol. Biol. Cell 18(7):2400-2410(2007)
Wu, C., et al. Proteomics 7(11):1775-1785(2007)
Ewing, R.M., et al. Mol. Syst. Biol. 3, 89 (2007) :
NCBI NP_112243.1
ECLASS 10.1 32160702
ECLASS 11.0 32160702
UNSPSC 12352203
Alias Ras-related protein Rab-1B,RAB1B
Similar products RAB1B, Ras-related protein Rab-1B
Lieferbar
Manufacturer - Applications
IHC-P-Leica, WB
Manufacturer - Category
Crown Antibodies; Primary Antibodies; Signal Transduction; Catalog Updated; Autophagy
Manufacturer - Targets
This RAB1B antibody is generated from rabbits immunized with a KLH conjugated synthetic peptide between 166-194 amino acids from the C-terminal region of human RAB1B.
Bio Background
Members of the RAB protein family, such as RAB1B, are lowmolecular mass monomeric GTPases localized on the cytoplasmicsurfaces of distinct membrane-bound organelles. RAB1B functions inthe early secretory pathway and is essential for vesicle transportbetween the endoplasmic reticulum (ER) and Golgi (Chen et al., 1997[PubMed 93196]; Alvarez et al., 23 [PubMed 128279]).[suppliedby OMIM].
Clonality
Polyclonal
Polyclonal Antibody Additonal Information
RB31297
Gene Name
RAB1B
Subtitle
Affinity Purified Rabbit Polyclonal Antibody (Pab)
Reactivity
H, M, Rat
Predicted Reactivity
B, Pr, Pig
Calculated Molecular Weight
22171
Antigen Source
HUMAN
Antigen Region
166-194
Formulation
Purified polyclonal antibody supplied in PBS with 0.09% (W/V) sodium azide. This antibody is purified through a protein A column, followed by peptide affinity purification.
Dilution
WB: 1:2000
WB: 1:1000
IHC-P-Leica: 1:500
IHC-P-Leica: 1:500
Antigen Type
Synthetic Peptide

Hinweis: Die dargestellten Informationen und Dokumente (Bedienungsanleitung, Produktdatenblatt, Sicherheitsdatenblatt und Analysezertifikat) entsprechen unserem letzten Update und sollten lediglich der Orientierung dienen. Wir übernehmen keine Garantie für die Aktualität. Für spezifische Anforderungen bitten wir Sie, uns eine Anfrage zu stellen.

Alle Produkte sind nur für Forschungszwecke bestimmt. Nicht für den menschlichen, tierärztlichen oder therapeutischen Gebrauch.

Menge: 400 ul
Lieferbar: In stock
lieferbar

Vergleichen

Auf den Wunschzettel

Angebot anfordern

Lieferzeit anfragen

Technische Frage stellen

Bulk-Anfrage stellen

Fragen zum Produkt?
 
Schließen