Vergleich

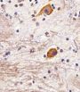
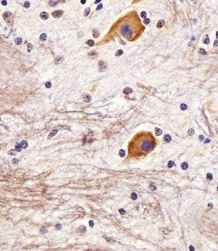
TAU (MAPT) Antibody (S720)

ArtNr ABC-AP1425c-ev
Hersteller Abcepta
Menge 80 ul
Kategorie
Typ Antibody Polyclonal
Applikationen WB, IHC, IHC-P
Specific against Human (Homo sapiens)
Host Rabbit
Isotype IgG
Citations McCulloch,C.C., Hum. Genet. 123 (3), 257-265 (2008)
Mateo,I., Dement Geriatr Cogn Disord 25 (4), 317-320 (2008)
Beck,J., Brain 131 (PT 3), 706-720 (2008)
NCBI NP_001116538.2,NP_001116539.1,NP_001190181.1,NP_005901.2,NP_058518.1,NP_058519.3,NP_058525.1
ECLASS 10.1 32160702
ECLASS 11.0 32160702
UNSPSC 12352203
Alias Microtubule-associated protein tau,Neurofibrillary tangle protein,Paired helical filament-tau,PHF-tau,MAPT,MAPTL,MTBT1,TAU
Similar products MAPT, TAU, MAPTL, MTBT1, Microtubule-associated protein tau, Neurofibrillary tangle protein, Paired helical filament-tau, PHF-tau
Lieferbar
Manufacturer - Category
Crown Antibodies; Primary Antibodies; Neuroscience; Signal Transduction
Manufacturer - Targets
This TAU(MAPT) antibody is generated from rabbits immunized with a KLH conjugated synthetic peptide between 699-728 amino acids from human TAU(MAPT).
Bio Background
MAPT transcripts are differentially expressed in the nervous system, depending on stage of neuronal maturation and neuron type. MAPT gene mutations have been associated with several neurodegenerative disorders such as Alzheimer's disease, Pick's disease, frontotemporal dementia, cortico-basal degeneration and progressive supranuclear palsy.
Clonality
Polyclonal
Polyclonal Antibody Additonal Information
RB11005
Gene Name
MAPT
Subtitle
Affinity Purified Rabbit Polyclonal Antibody (Pab)
Reactivity
H, Cynomolgus
Predicted Reactivity
B, M, Rat
Calculated Molecular Weight
78928
Antigen Source
HUMAN
Antigen Region
699-728
Formulation
Purified polyclonal antibody supplied in PBS with 0.09% (W/V) sodium azide. This antibody is purified through a protein A column, followed by peptide affinity purification.
Dilution
WB: 1:1000
IHC-P: 1:10~50
IHC: 1:25
Antigen Type
Synthetic Peptide

Hinweis: Die dargestellten Informationen und Dokumente (Bedienungsanleitung, Produktdatenblatt, Sicherheitsdatenblatt und Analysezertifikat) entsprechen unserem letzten Update und sollten lediglich der Orientierung dienen. Wir übernehmen keine Garantie für die Aktualität. Für spezifische Anforderungen bitten wir Sie, uns eine Anfrage zu stellen.

Alle Produkte sind nur für Forschungszwecke bestimmt. Nicht für den menschlichen, tierärztlichen oder therapeutischen Gebrauch.

Menge: 80 ul
Lieferbar: In stock
lieferbar

Vergleichen

Auf den Wunschzettel

Angebot anfordern

Lieferzeit anfragen

Technische Frage stellen

Bulk-Anfrage stellen

Fragen zum Produkt?
 
Schließen