Vergleich

COL1A1 Antibody (C-term)

ArtNr ABC-AP14490b-ev
Hersteller Abcepta
Menge 80 ul
Kategorie
Typ Antibody Polyclonal
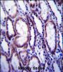
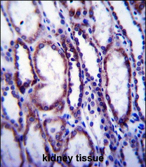
Applikationen WB, IHC-P
Specific against Human (Homo sapiens), Mouse (Murine, Mus musculus)
Host Rabbit
Isotype IgG
Citations Blades, H.Z., et al. Bone 47(5):989-994(2010) Romero, R., et al. Am. J. Obstet. Gynecol. 203 (4), 361 (2010) : Jin, H., et al. Osteoporos Int (2010) In press : Szczesny, G., et al. Arch Orthop Trauma Surg (2010) In press : Cheung, M.S., et al. J. Bone Miner. Res. (2010) In press :
NCBI NP_000079.2
ECLASS 10.1 32160702
ECLASS 11.0 32160702
UNSPSC 12352203
Alias Collagen alpha-1(I) chain,Alpha-1 type I collagen,COL1A1
Similar products COL1A1, Collagen alpha-1(I) chain, Alpha-1 type I collagen
Lieferbar
Manufacturer - Category
Primary Antibodies; Cancer; Signal Transduction
Manufacturer - Targets
This COL1A1 antibody is generated from rabbits immunized with a KLH conjugated synthetic peptide between 1077-1106 amino acids from the C-terminal region of human COL1A1.
Bio Background
This gene encodes the pro-alpha1 chains of type I collagen whose triple helix comprises two alpha1 chains and one alpha2 chain. Type I is a fibril-forming collagen found in most connective tissues and is abundant in bone, cornea, dermis and tendon. Mutations in this gene are associated with osteogenesis imperfecta types I-IV, Ehlers-Danlos syndrome type VIIA, Ehlers-Danlos syndrome Classical type, Caffey Disease and idiopathic osteoporosis. Reciprocal translocations between chromosomes 17 and 22, where this gene and the gene for platelet-derived growth factor beta are located, are associated with a particular type of skin tumor called dermatofibrosarcoma protuberans, resulting from unregulated expression of the growth factor. Two transcripts, resulting from the use of alternate polyadenylation signals, have been identified for this gene. [provided by R. Dalgleish].
Clonality
Polyclonal
Polyclonal Antibody Additonal Information
RB33615
Gene Name
COL1A1
Subtitle
Affinity Purified Rabbit Polyclonal Antibody (Pab)
Reactivity
H, M
Predicted Reactivity
B, C, Rat
Calculated Molecular Weight
138911
Antigen Source
HUMAN
Antigen Region
1077-1106
Formulation
Purified polyclonal antibody supplied in PBS with 0.09% (W/V) sodium azide. This antibody is purified through a protein A column, followed by peptide affinity purification.
Dilution
WB: 1:1000
IHC-P: 1:10~50
Antigen Type
Synthetic Peptide

Hinweis: Die dargestellten Informationen und Dokumente (Bedienungsanleitung, Produktdatenblatt, Sicherheitsdatenblatt und Analysezertifikat) entsprechen unserem letzten Update und sollten lediglich der Orientierung dienen. Wir übernehmen keine Garantie für die Aktualität. Für spezifische Anforderungen bitten wir Sie, uns eine Anfrage zu stellen.

Alle Produkte sind nur für Forschungszwecke bestimmt. Nicht für den menschlichen, tierärztlichen oder therapeutischen Gebrauch.

Menge: 80 ul
Lieferbar: In stock
lieferbar

Vergleichen

Auf den Wunschzettel

Angebot anfordern

Lieferzeit anfragen

Technische Frage stellen

Bulk-Anfrage stellen

Fragen zum Produkt?
 
Schließen