Vergleich

Mouse Ntrk3 Antibody (N-term)

ArtNr ABC-AP14627a-ev
Hersteller Abcepta
Menge 80 ul
Kategorie
Typ Antibody Polyclonal
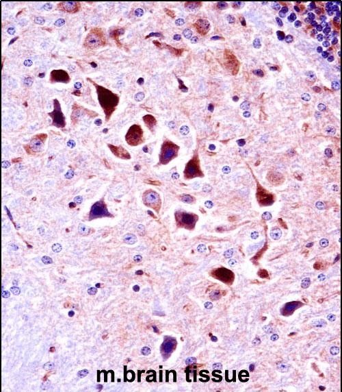
Applikationen WB, IHC-P
Specific against Mouse (Murine, Mus musculus)
Host Rabbit
Isotype IgG
Citations Gascon, E., et al. J. Neurosci. 30(37):12414-12423(2010)
Nikoletopoulou, V., et al. Nature 467(7311):59-63(2010)
Honma, Y., et al. Development 137(14):2319-2328(2010)
Huang, T., et al. J Mol Cell Biol 2(3):152-163(2010)
Li, W., et al. BMC Biol. 8, 86 (2010) :
NCBI NP_032772.3,NP_877961.1
ECLASS 10.1 32160702
ECLASS 11.0 32160702
UNSPSC 12352203
Alias NT-3 growth factor receptor,GP145-TrkC,Trk-C,Neurotrophic tyrosine kinase receptor type 3,TrkC tyrosine kinase,Ntrk3,TrkC
Similar products TrkC, Ntrk3, NT-3 growth factor receptor, GP145-TrkC, Neurotrophic tyrosine kinase receptor type 3, TrkC tyrosine kinase, Trk-C
Lieferbar
Manufacturer - Category
Primary Antibodies; Cancer; Neuroscience
Manufacturer - Targets
This Mouse Ntrk3 antibody is generated from rabbits immunized with a KLH conjugated synthetic peptide between 161-188 amino acids from the N-terminal region of mouse Ntrk3.
Bio Background
Ntrk3 is a receptor for neurotrophin-3 (NT-3). This is a tyrosine-protein kinase receptor. Known substrates for the Trk receptors are SHC1, PI 3-kinase, and PLC-gamma-1 (By similarity).
Clonality
Polyclonal
Polyclonal Antibody Additonal Information
RB34849
Gene Name
Ntrk3
Subtitle
Affinity Purified Rabbit Polyclonal Antibody (Pab)
Reactivity
M
Predicted Reactivity
Rat
Calculated Molecular Weight
92760
Antigen Source
MOUSE
Antigen Region
161-188
Formulation
Purified polyclonal antibody supplied in PBS with 0.09% (W/V) sodium azide. This antibody is purified through a protein A column, followed by peptide affinity purification.
Dilution
WB: 1:1000
IHC-P: 1:10~50
Antigen Type
Synthetic Peptide

Hinweis: Die dargestellten Informationen und Dokumente (Bedienungsanleitung, Produktdatenblatt, Sicherheitsdatenblatt und Analysezertifikat) entsprechen unserem letzten Update und sollten lediglich der Orientierung dienen. Wir übernehmen keine Garantie für die Aktualität. Für spezifische Anforderungen bitten wir Sie, uns eine Anfrage zu stellen.

Alle Produkte sind nur für Forschungszwecke bestimmt. Nicht für den menschlichen, tierärztlichen oder therapeutischen Gebrauch.

Menge: 80 ul
Lieferbar: In stock
lieferbar

Vergleichen

Auf den Wunschzettel

Angebot anfordern

Lieferzeit anfragen

Technische Frage stellen

Bulk-Anfrage stellen

Fragen zum Produkt?
 
Schließen