Vergleich

TSC22D3 Antibody (Center)

ArtNr ABC-AP16682c
Hersteller Abcepta
Menge 400 ul
Kategorie
Typ Antibody Polyclonal
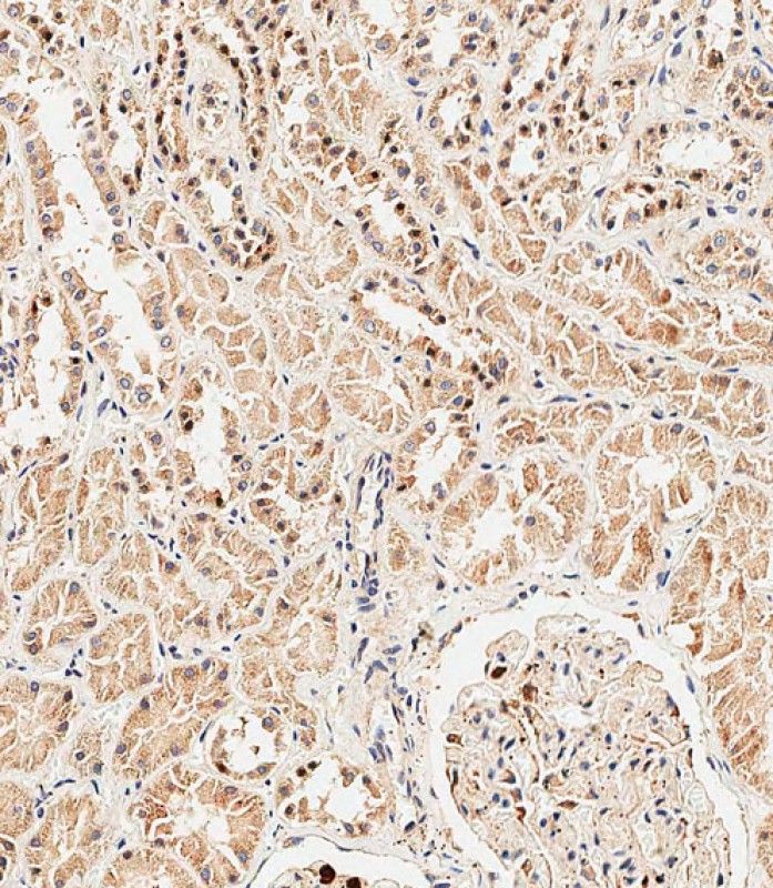
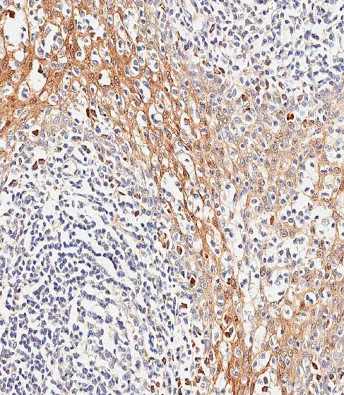
Applikationen WB, IHC-P
Specific against Human (Homo sapiens), Mouse (Murine, Mus musculus)
Host Rabbit
Isotype IgG
Citations Latre de Late, P., et al. J. Biol. Chem. 285(8):5594-5605(2010)
Lekva, T., et al. J. Clin. Endocrinol. Metab. 95(1):246-255(2010)
Soundararajan, R., et al. Proc. Natl. Acad. Sci. U.S.A. 106(19):7804-7809(2009)
Zhang, X.H., et al. Clin. Exp. Allergy 39(5):647-654(2009)
Redjimi, N., et al. Mol. Cancer 8, 83 (2009) :
NCBI NP_001015881.1,NP_004080.2,NP_932174.1
ECLASS 10.1 32160702
ECLASS 11.0 32160702
UNSPSC 12352203
Alias TSC22 domain family protein 3,DSIP-immunoreactive peptide,Protein DIP,hDIP,Delta sleep-inducing peptide immunoreactor,Glucocorticoid-induced leucine zipper protein,GILZ,TSC-22-like protein,TSC-22-related protein,TSC-22R,TSC22D3,DSIPI,GILZ
Similar products TSC22D3, DSIPI, GILZ, TSC22 domain family protein 3, DSIP-immunoreactive peptide, Delta sleep-inducing peptide immunoreactor, Glucocorticoid-induced leucine zipper protein, TSC-22-like protein, TSC-22-related protein, TSC-22R, hDIP, Protein DIP
Lieferbar
Manufacturer - Applications
IHC-P-Leica, WB
Manufacturer - Category
Primary Antibodies; Cell Biology; Signal Transduction; Catalog Updated
Manufacturer - Targets
This TSC22D3 antibody is generated from rabbits immunized with a KLH conjugated synthetic peptide between 62-91 amino acids from the Central region of human TSC22D3.
Bio Background
The protein encoded by this gene shares significantsequence identity with the murine TSC-22 and Drosophila shs, bothof which are leucine zipper proteins, that function astranscriptional regulators. The expression of this gene isstimulated by glucocorticoids and interleukin 1, and it appears toplay a key role in the anti-inflammatory and immunosuppressiveeffects of this steroid and chemokine. Transcript variants encodingdifferent isoforms have been identified for this gene. [provided byRefSeq].
Clonality
Polyclonal
Polyclonal Antibody Additonal Information
RB35282
Gene Name
TSC22D3
Subtitle
Affinity Purified Rabbit Polyclonal Antibody (Pab)
Reactivity
H, M
Predicted Reactivity
Pig, Rat
Calculated Molecular Weight
14810
Antigen Source
HUMAN
Antigen Region
62-91
Formulation
Purified polyclonal antibody supplied in PBS with 0.09% (W/V) sodium azide. This antibody is purified through a protein A column, followed by peptide affinity purification.
Dilution
WB: 1:2000
IHC-P-Leica: 1:500
IHC-P-Leica: 1:500
Antigen Type
Synthetic Peptide

Hinweis: Die dargestellten Informationen und Dokumente (Bedienungsanleitung, Produktdatenblatt, Sicherheitsdatenblatt und Analysezertifikat) entsprechen unserem letzten Update und sollten lediglich der Orientierung dienen. Wir übernehmen keine Garantie für die Aktualität. Für spezifische Anforderungen bitten wir Sie, uns eine Anfrage zu stellen.

Alle Produkte sind nur für Forschungszwecke bestimmt. Nicht für den menschlichen, tierärztlichen oder therapeutischen Gebrauch.

Menge: 400 ul
Lieferbar: In stock
lieferbar

Vergleichen

Auf den Wunschzettel

Angebot anfordern

Lieferzeit anfragen

Technische Frage stellen

Bulk-Anfrage stellen

Fragen zum Produkt?
 
Schließen