Vergleich

ATG7 Antibody (N-term)

ArtNr ABC-AP1813a-ev
Hersteller Abcepta
Menge 80 ul
Kategorie
Typ Antibody Polyclonal
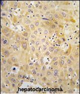
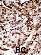
Applikationen WB, IHC-P
Specific against Human (Homo sapiens), Mouse (Murine, Mus musculus)
Host Rabbit
Isotype IgG
Citations Baehrecke EH. Nat Rev Mol Cell Biol. 6(6):505-10. (2005) Lum JJ, et al. Nat Rev Mol Cell Biol. 6(6):439-48. (2005) Greenberg JT. Dev Cell. 8(6):799-801. (2005) Levine B. Cell. 120(2):159-62. (2005) Shintani T and Klionsky DJ. Science. 306(5698):990-5. (2004) Tanida I., et al. Biochem. Biophys. Res. Commun. 292:256-262(2002) Tanida I., et al. J. Biol. Chem. 277:13739-13744(2002)
NCBI NP_001129503.2,NP_001138384.1,NP_006386.1
ECLASS 10.1 32160702
ECLASS 11.0 32160702
UNSPSC 12352203
Alias Ubiquitin-like modifier-activating enzyme ATG7,ATG12-activating enzyme E1 ATG7,Autophagy-related protein 7,APG7-like,hAGP7,Ubiquitin-activating enzyme E1-like protein,ATG7,APG7L
Similar products ATG7, APG7L, Ubiquitin-like modifier-activating enzyme ATG7, ATG12-activating enzyme E1 ATG7, Autophagy-related protein 7, Ubiquitin-activating enzyme E1-like protein, hAGP7, APG7-like
Lieferbar
Manufacturer - Category
Primary Antibodies; Antibody Collections; Cancer; Cardiovascular; Cell Biology; Metabolism; Signal Transduction; Autophagy; Autophagy; Regulation of autophagy
Manufacturer - Targets
This ATG7 antibody is generated from rabbits immunized with a KLH conjugated synthetic peptide between 22-51 amino acids from the N-terminal region of human ATG7.
Bio Background
Macroautophagy is the major inducible pathway for the general turnover of cytoplasmic constituents in eukaryotic cells, it is also responsible for the degradation of active cytoplasmic enzymes and organelles during nutrient starvation. Macroautophagy involves the formation of double-membrane bound autophagosomes which enclose the cytoplasmic constituent targeted for degradation in a membrane bound structure, which then fuse with the lysosome (or vacuole) releasing a single-membrane bound autophagic bodies which are then degraded within the lysosome (or vacuole). APG7 functions as an E1 enzyme essential for multisubstrates such as GABARAPL1 and ATG12. APG3L is an E2-like conjugating enzyme facilitating covalent binding of APG8 (MAP1LC3) to phosphatidylethanolamine (PE). APG7 (an E1-like enzyme) facilitates this reaction by forming an E1-E2 complex with APG3. Formation of the PE conjugate is essential for autophagy.
Clonality
Polyclonal
Polyclonal Antibody Additonal Information
RB7467
Gene Name
ATG7
Subtitle
Purified Rabbit Polyclonal Antibody (Pab)
Reactivity
H, M
Predicted Reactivity
Rat
Calculated Molecular Weight
77960
Antigen Source
HUMAN
Antigen Region
22-51
Formulation
Purified polyclonal antibody supplied in PBS with 0.09% (W/V) sodium azide. This antibody is purified through a protein A column, followed by peptide affinity purification.
Dilution
WB: 1:1000
WB: 1:1000
IHC-P: 1:50~100
IHC-P: 1:50~100
Antigen Type
Synthetic Peptide

Hinweis: Die dargestellten Informationen und Dokumente (Bedienungsanleitung, Produktdatenblatt, Sicherheitsdatenblatt und Analysezertifikat) entsprechen unserem letzten Update und sollten lediglich der Orientierung dienen. Wir übernehmen keine Garantie für die Aktualität. Für spezifische Anforderungen bitten wir Sie, uns eine Anfrage zu stellen.

Alle Produkte sind nur für Forschungszwecke bestimmt. Nicht für den menschlichen, tierärztlichen oder therapeutischen Gebrauch.

Menge: 80 ul
Lieferbar: In stock
lieferbar

Vergleichen

Auf den Wunschzettel

Angebot anfordern

Lieferzeit anfragen

Technische Frage stellen

Bulk-Anfrage stellen

Fragen zum Produkt?
 
Schließen