Vergleich

ATG12 Antibody (N-term)

ArtNr ABC-AP1816a-ev
Hersteller Abcepta
Menge 80 ul
Kategorie
Typ Antibody Polyclonal
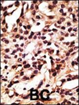
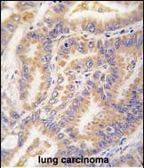
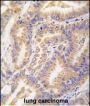
Applikationen WB, IF, IHC-P
Specific against Human (Homo sapiens)
Host Rabbit
Isotype IgG
Citations References for protein:
1.Yee, K.S. et al. Cell Death Differ. August; 16(8): 1135?145.(2009)
2.Baehrecke EH. Nat Rev Mol Cell Biol. 6(6):505-10. (2005)
3.Lum JJ, et al. Nat Rev Mol Cell Biol. 6(6):439-48. (2005)
4.Greenberg JT. Dev Cell. 8(6):799-801. (2005)
5.Levine B. Cell. 120(2):159-62. (2005)
6.Shintani T and Klionsky DJ. Science. 306(5698):990-5. (2004)
References for U251 cell line:
1. Westermark B.; Pontén J.; Hugosson R. (1973).” Determinants for the establishment of permanent tissue culture lines from human gliomas”. Acta Pathol Microbiol Scand A. 81:791-805. [PMID: 4359449].
2. Pontén, J.,Westermark B. (1978).” Properties of Human Malignant Glioma Cells in Vitro”. Medical Biology 56: 184-193.[PMID: 359950].
3. Geng Y.;Kohli L.; Klocke B.J.; Roth K.A.(2010). “Chloroquine-induced autophagic vacuole accumulation and cell death in glioma cells is p53 independent”. Neuro Oncol. 12(5): 473–481.[ PMID: 20406898].
NCBI NP_001264712.1,NP_004698.3
ECLASS 10.1 32160702
ECLASS 11.0 32160702
UNSPSC 12352203
Alias Ubiquitin-like protein ATG12,Autophagy-related protein 12,APG12-like,ATG12,APG12,APG12L
Similar products ATG12, APG12, APG12L, Ubiquitin-like protein ATG12, Autophagy-related protein 12, APG12-like
Lieferbar
Manufacturer - Category
Primary Antibodies; Antibody Collections; Cancer; Cardiovascular; Cell Biology; Metabolism; Autophagy; Immunity; Innate immunity; RIG-l-like Receptor; Autophagy; Regulation of autophagy
Manufacturer - Targets
This ATG12 antibody is generated from rabbits immunized with a KLH conjugated synthetic peptide between 1-30 amino acids from the N-terminal region of human ATG12.
Bio Background
Macroautophagy is the major inducible pathway for the general turnover of cytoplasmic constituents in eukaryotic cells, it is also responsible for the degradation of active cytoplasmic enzymes and organelles during nutrient starvation. Macroautophagy involves the formation of double-membrane bound autophagosomes which enclose the cytoplasmic constituent targeted for degradation in a membrane bound structure, which then fuse with the lysosome (or vacuole) releasing a single-membrane bound autophagic bodies which are then degraded within the lysosome (or vacuole). APG12L is the human homolog of yeast APG12, a ubiquitin-activating enzyme E1-like protein essential for the conjugation system that mediates membrane fusion in autophagy.
Clonality
Polyclonal
Polyclonal Antibody Additonal Information
RB7475
Gene Name
ATG12
Subtitle
Purified Rabbit Polyclonal Antibody (Pab)
Reactivity
H
Calculated Molecular Weight
15113
Antigen Source
HUMAN
Antigen Region
1-30
Formulation
Purified polyclonal antibody supplied in PBS with 0.09% (W/V) sodium azide. This antibody is purified through a protein A column, followed by peptide affinity purification.
Dilution
IF: 1:200
WB: 1:2000
IHC-P: 1:50~100
IHC-P: 1:50~100
Antigen Type
Synthetic Peptide

Hinweis: Die dargestellten Informationen und Dokumente (Bedienungsanleitung, Produktdatenblatt, Sicherheitsdatenblatt und Analysezertifikat) entsprechen unserem letzten Update und sollten lediglich der Orientierung dienen. Wir übernehmen keine Garantie für die Aktualität. Für spezifische Anforderungen bitten wir Sie, uns eine Anfrage zu stellen.

Alle Produkte sind nur für Forschungszwecke bestimmt. Nicht für den menschlichen, tierärztlichen oder therapeutischen Gebrauch.

Menge: 80 ul
Lieferbar: In stock
lieferbar

Vergleichen

Auf den Wunschzettel

Angebot anfordern

Lieferzeit anfragen

Technische Frage stellen

Bulk-Anfrage stellen

Fragen zum Produkt?
 
Schließen