Vergleich

Beclin 1 Antibody

ArtNr ABC-AP1818a
Hersteller Abcepta
Menge 400 ul
Kategorie
Typ Antibody Polyclonal
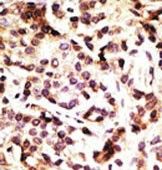
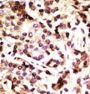
Applikationen WB, IHC-P
Specific against Human (Homo sapiens), Mouse (Murine, Mus musculus)
Host Rabbit
Isotype IgG
Citations Baehrecke EH. Nat Rev Mol Cell Biol. 6(6):505-10. (2005) Lum JJ, et al. Nat Rev Mol Cell Biol. 6(6):439-48. (2005) Greenberg JT. Dev Cell. 8(6):799-801. (2005) Levine B. Cell. 120(2):159-62. (2005) Shintani T and Klionsky DJ. Science. 306(5698):990-5. (2004) Liang,X.H., et al. J. Virol. 72 (11), 8586-8596 (1998) Aita V.M., et al. Genomics 59:59-65(1999).
NCBI NP_003757.1
ECLASS 10.1 32160702
ECLASS 11.0 32160702
UNSPSC 12352203
Alias Beclin-1,Coiled-coil myosin-like BCL2-interacting protein,Protein GT197,BECN1,GT197
Similar products Beclin-1, BECN1, GT197, Coiled-coil myosin-like BCL2-interacting protein, Protein GT197
Lieferbar
Manufacturer - Category
Primary Antibodies; Antibody Collections; Cancer; Metabolism; Microbiology; Autophagy; Antiviral defense; Host-virus interaction; Autophagy; Mitochondrion; Regulation of autophagy
Manufacturer - Targets
This Beclin 1 antibody is generated from rabbits immunized with a KLH conjugated synthetic peptide between 181-210 amino acids from human Beclin 1.
Bio Background
Macroautophagy is the major inducible pathway for the general turnover of cytoplasmic constituents in eukaryotic cells, it is also responsible for the degradation of active cytoplasmic enzymes and organelles during nutrient starvation. Macroautophagy involves the formation of double-membrane bound autophagosomes which enclose the cytoplasmic constituent targeted for degradation in a membrane bound structure, which then fuse with the lysosome (or vacuole) releasing a single-membrane bound autophagic bodies which are then degraded within the lysosome (or vacuole). Beclin 1 plays a role in two fundamentally important cell biological pathways: autophagy and apoptosis. Beclin 1 is thought to function as a VPS and autophagy protein as part of a complex with Class III PI3 kinase, Vps34.
Clonality
Polyclonal
Polyclonal Antibody Additonal Information
RB7461
Gene Name
BECN1
Subtitle
Purified Rabbit Polyclonal Antibody (Pab)
Reactivity
H, M
Predicted Reactivity
B, C
Calculated Molecular Weight
51896
Antigen Source
HUMAN
Antigen Region
181-210
Formulation
Purified polyclonal antibody supplied in PBS with 0.09% (W/V) sodium azide. This antibody is prepared by Saturated Ammonium Sulfate (SAS) precipitation followed by dialysis against PBS.
Dilution
WB: 1:1000
WB: 1:1000
IHC-P: 1:50~100
Antigen Type
Synthetic Peptide

Hinweis: Die dargestellten Informationen und Dokumente (Bedienungsanleitung, Produktdatenblatt, Sicherheitsdatenblatt und Analysezertifikat) entsprechen unserem letzten Update und sollten lediglich der Orientierung dienen. Wir übernehmen keine Garantie für die Aktualität. Für spezifische Anforderungen bitten wir Sie, uns eine Anfrage zu stellen.

Alle Produkte sind nur für Forschungszwecke bestimmt. Nicht für den menschlichen, tierärztlichen oder therapeutischen Gebrauch.

Menge: 400 ul
Lieferbar: In stock
lieferbar

Vergleichen

Auf den Wunschzettel

Angebot anfordern

Lieferzeit anfragen

Technische Frage stellen

Bulk-Anfrage stellen

Fragen zum Produkt?
 
Schließen