Vergleich

EIF4E2 Antibody

ArtNr ABC-AP1955d-ev
Hersteller Abcepta
Menge 80 ul
Kategorie
Typ Antibody Polyclonal
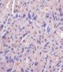
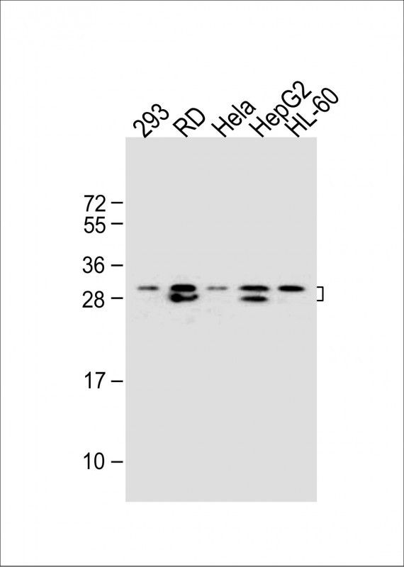
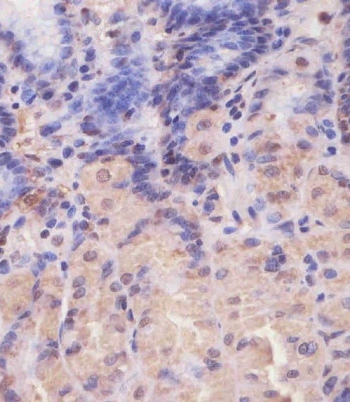
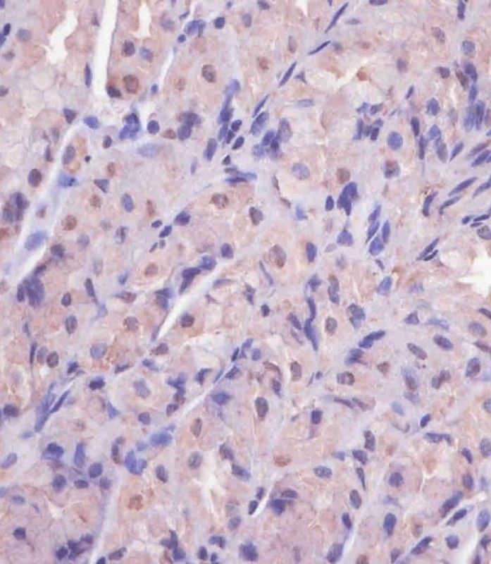
Applikationen WB, IHC-P
Specific against Human (Homo sapiens), Mouse (Murine, Mus musculus)
Host Rabbit
Isotype IgG
Citations Rom, E., et al., J. Biol. Chem. 273(21):13104-13109 (1998).
Mao, M., et al., Proc. Natl. Acad. Sci. U.S.A. 95(14):8175-8180 (1998).
Tee, A.R., et al., FEBS Lett. 564 (1-2), 58-62 (2004) (): ().
NCBI NP_004837.1
ECLASS 10.1 32160702
ECLASS 11.0 32160702
UNSPSC 12352203
Similar products EIF4E2, EIF4EL3, Eukaryotic translation initiation factor 4E type 2, Eukaryotic translation initiation factor 4E homologous protein, Eukaryotic translation initiation factor 4E-like 3, eIF4E-like protein 4E-LP, mRNA cap-binding protein 4EHP, eIF-4E type 2, eIF4E type 2, mRNA cap-binding protein type 3
Lieferbar
Manufacturer - Category
Primary Antibodies; SARS CoV2 PPIs; HIF-1 signaling pathway; Poly(A) RNA binding; RNA transport; Ub protein ligase binding; RNA binding and transport
Manufacturer - Targets
This EIF4E2 antibody is generated from rabbits immunized with human EIF4E2 recombinant protein.
Bio Background
EIF4E2 is expressed exclusively in the cytoplasm. This protein recognizes and binds the 7 methylguanosine containing mRNA cap during an early step in the initiation of protein synthesis and facilitates ribosome binding by inducing the unwinding of the mRNAs secondary structures.
Clonality
Polyclonal
Polyclonal Antibody Additonal Information
RB22944
Gene Name
EIF4E2 {ECO:0000303|PubMed:15153109, ECO:0000312|HGNC:HGNC:3293}
Subtitle
Affinity Purified Rabbit Polyclonal Antibody (Pab)
Reactivity
H, M
Calculated Molecular Weight
28362
Antigen Source
HUMAN
Formulation
Purified polyclonal antibody supplied in PBS with 0.09% (W/V) sodium azide. This antibody is purified through a protein A column, followed by peptide affinity purification.
Dilution
WB: 1:2000
WB: 1:2000
WB: 1:2000
IHC-P: 1:25
IHC-P: 1:25
Antigen Type
Recombinant Protein
Manufacturer - Alias
Eukaryotic translation initiation factor 4E type 2, eIF-4E type 2, eIF4E type 2, Eukaryotic translation initiation factor 4E homologous protein, Eukaryotic translation initiation factor 4E-like 3, eIF4E-like protein 4E-LP, mRNA cap-binding protein 4EHP, mRNA cap-binding protein type 3, EIF4E2, EIF4EL3
Manufacturer - Similar
Eukaryotic translation initiation factor 4E type 2, eIF-4E type 2, eIF4E type 2, Eukaryotic translation initiation factor 4E homologous protein, Eukaryotic translation initiation factor 4E-like 3, eIF4E-like protein 4E-LP, mRNA cap-binding protein 4EHP, mRNA cap-binding protein type 3, EIF4E2, EIF4EL3

Hinweis: Die dargestellten Informationen und Dokumente (Bedienungsanleitung, Produktdatenblatt, Sicherheitsdatenblatt und Analysezertifikat) entsprechen unserem letzten Update und sollten lediglich der Orientierung dienen. Wir übernehmen keine Garantie für die Aktualität. Für spezifische Anforderungen bitten wir Sie, uns eine Anfrage zu stellen.

Alle Produkte sind nur für Forschungszwecke bestimmt. Nicht für den menschlichen, tierärztlichen oder therapeutischen Gebrauch.

Menge: 80 ul
Lieferbar: In stock
lieferbar

Vergleichen

Auf den Wunschzettel

Angebot anfordern

Lieferzeit anfragen

Technische Frage stellen

Bulk-Anfrage stellen

Fragen zum Produkt?
 
Schließen