Vergleich

STAT1 Antibody (C-term)

ArtNr ABC-AP19835b-ev
Hersteller Abcepta
Menge 80 ul
Kategorie
Typ Antibody Polyclonal
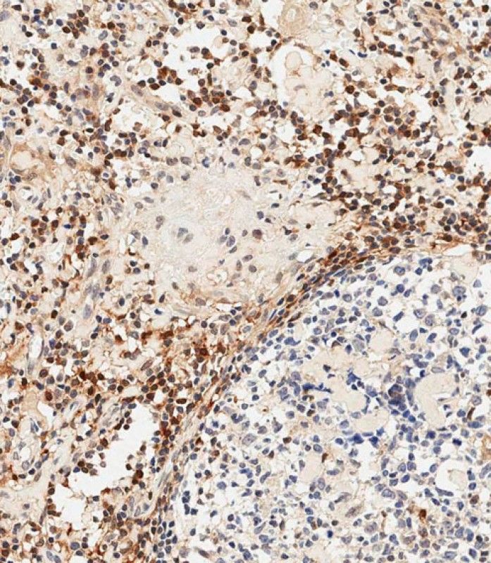
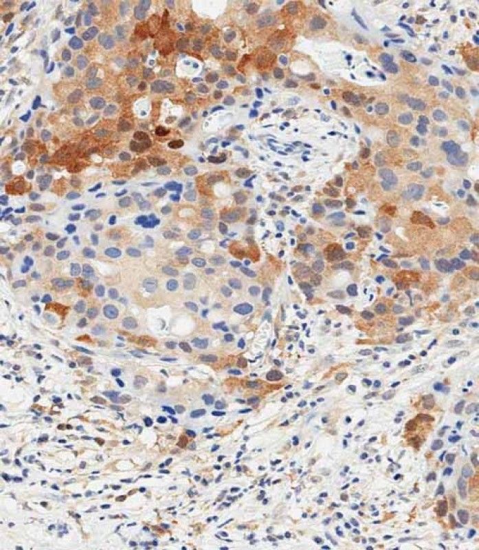
Applikationen WB, FC, IF, IHC-P
Specific against Human (Homo sapiens)
Host Rabbit
Isotype IgG
Citations Clarke, D.L., et al. J. Biol. Chem. 285(38):29101-29110(2010)
Rosas-Murrieta, N.H., et al. Virol. J. 7, 263 (2010):
DeVries, T.A., et al. J. Biol. Chem. 279(44):45603-45612(2004)
Zhang, Y., et al. Carcinogenesis 25(7):1165-1175(2004)
Sakamoto, S., et al. J. Biol. Chem. 279(5):3245-3253(2004)
NCBI NP_009330.1,NP_644671.1
ECLASS 10.1 32160702
ECLASS 11.0 32160702
UNSPSC 12352203
Alias Signal transducer and activator of transcription 1-alpha/beta,Transcription factor ISGF-3 components p91/p84,STAT1
Similar products STAT1, Signal transducer and activator of transcription 1-alpha/beta, Transcription factor ISGF-3 components p91/p84
Lieferbar
Manufacturer - Applications
IHC-P, IF, WB, FC, IHC-P-Leica
Manufacturer - Category
Crown Antibodies; Primary Antibodies; Cancer; Cardiovascular; Metabolism; Microbiology; Neuroscience; Signal Transduction; Antiviral defense; Host-virus interaction; Toll-Like receptor signaling; Immune system process; Chemokine signaling; Inflammation mediated by chemokine and cytokine signaling; Interferon-gamma signaling; Interleukin signaling; JAK-STAT signaling; Jak-STAT signaling KEGG
Manufacturer - Targets
This STAT1 antibody is generated from rabbits immunized with a KLH conjugated synthetic peptide between 717-745 amino acids from the C-terminal region of human STAT1.
Bio Background
The protein encoded by this gene is a member of the STATprotein family. In response to cytokines and growth factors, STATfamily members are phosphorylated by the receptor associatedkinases, and then form homo- or heterodimers that translocate tothe cell nucleus where they act as transcription activators. Thisprotein can be activated by various ligands includinginterferon-alpha, interferon-gamma, EGF, PDGF and IL6. This proteinmediates the expression of a variety of genes, which is thought tobe important for cell viability in response to different cellstimuli and pathogens. Two alternatively spliced transcriptvariants encoding distinct isoforms have been described. [providedby RefSeq].
Clonality
Polyclonal
Polyclonal Antibody Additonal Information
RB41406
Gene Name
STAT1
Subtitle
Affinity Purified Rabbit Polyclonal Antibody (Pab)
Reactivity
H
Calculated Molecular Weight
87335
Antigen Source
HUMAN
Antigen Region
717-745
Formulation
Purified polyclonal antibody supplied in PBS with 0.09% (W/V) sodium azide. This antibody is purified through a protein A column, followed by peptide affinity purification.
Dilution
IF: 1:25
WB: 1:1000
IHC-P-Leica: 1:1000
IHC-P-Leica: 1:500
IHC-P-Leica: 1:500
Antigen Type
Synthetic Peptide

Hinweis: Die dargestellten Informationen und Dokumente (Bedienungsanleitung, Produktdatenblatt, Sicherheitsdatenblatt und Analysezertifikat) entsprechen unserem letzten Update und sollten lediglich der Orientierung dienen. Wir übernehmen keine Garantie für die Aktualität. Für spezifische Anforderungen bitten wir Sie, uns eine Anfrage zu stellen.

Alle Produkte sind nur für Forschungszwecke bestimmt. Nicht für den menschlichen, tierärztlichen oder therapeutischen Gebrauch.

Menge: 80 ul
Lieferbar: In stock
lieferbar

Vergleichen

Auf den Wunschzettel

Angebot anfordern

Lieferzeit anfragen

Technische Frage stellen

Bulk-Anfrage stellen

Fragen zum Produkt?
 
Schließen