Vergleich

Nestin Antibody (S1409)

ArtNr ABC-AP2020D
Hersteller Abcepta
Menge 400 ul
Kategorie
Typ Antibody Polyclonal
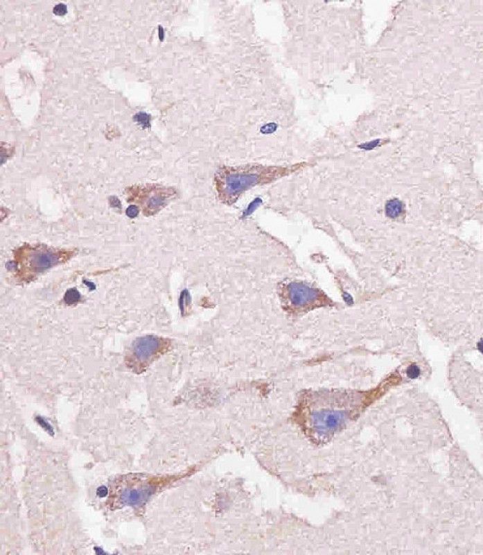
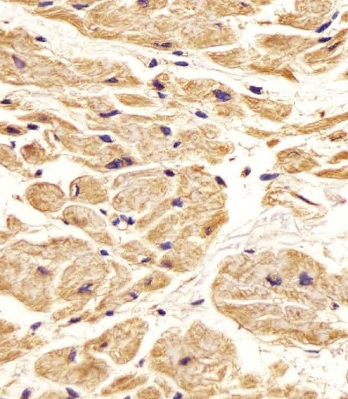
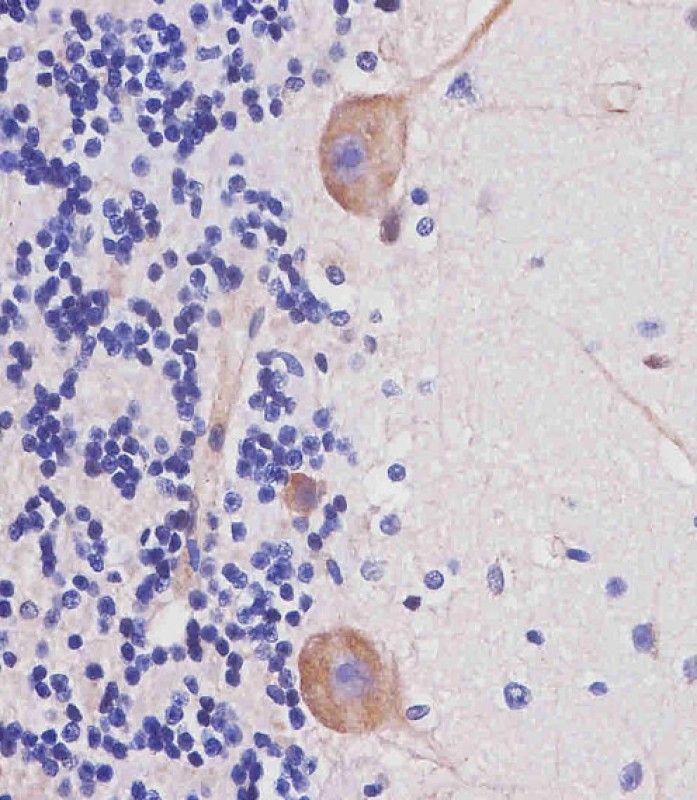
Applikationen WB, FC, IF, IHC-P
Specific against Human (Homo sapiens)
Host Rabbit
Isotype IgG
Citations References for protein
1.Yaworsky, P.J., et al., Dev. Biol. 205(2):309-321 (1999).
2.Dahlstrand, J., et al., J. Cell. Sci. 103 (Pt 2), 589-597 (1992).
References for SY5Y (SH-SY5Y; ATCC#CRL-2266): 1. Ross RA, et al. Coordinate morphological and biochemical interconversion of human neuroblastoma cells. J. Natl. Cancer Inst. 71: 741-749, 1983. [PubMed: 6137586]; 2. Biedler JL, et al. Multiple neurotransmitter synthesis by human neuroblastoma cell lines and clones. Cancer Res. 38: 3751-3757, 1978. [PubMed: 29704].
NCBI NP_006608.1
ECLASS 10.1 32160702
ECLASS 11.0 32160702
UNSPSC 12352203
Alias Nestin,NES
Similar products Nestin, NES
Lieferbar
Manufacturer - Category
Crown Antibodies; Primary Antibodies; Antibody Collections; Cancer; Cardiovascular; Developmental Biology; Neuroscience; Signal Transduction; Catalog Updated
Manufacturer - Targets
This Nestin antibody is generated from rabbits immunized with a KLH conjugated synthetic peptide between 1389-1416 amino acids from human Nestin.
Bio Background
Nestin is a class VI intermediate filament protein expressed predominantly in stem cells of the neural tube but absent from virtually all differentiated CNS cells. In the CNS, nestin is downregulated upon differentiation and replaced by neurofilaments. Transient expression of nestin has been postulated as a key step committing cells to the neural differentiation pathway. Nestin expression has also been observed in pancreatic hematopoietic stem cell populations.
Clonality
Polyclonal
Polyclonal Antibody Additonal Information
RB16253
Gene Name
NES
Subtitle
Affinity Purified Rabbit Polyclonal Antibody (Pab)
Reactivity
H
Calculated Molecular Weight
177439
Antigen Source
HUMAN
Antigen Region
1389-1416
Formulation
Purified polyclonal antibody supplied in PBS with 0.09% (W/V) sodium azide. This antibody is purified through a protein A column, followed by peptide affinity purification.
Dilution
IF: 1:200
IF: 1:25
WB: 1:2000
WB: 1:2000
IHC-P: 1:25
Antigen Type
Synthetic Peptide

Hinweis: Die dargestellten Informationen und Dokumente (Bedienungsanleitung, Produktdatenblatt, Sicherheitsdatenblatt und Analysezertifikat) entsprechen unserem letzten Update und sollten lediglich der Orientierung dienen. Wir übernehmen keine Garantie für die Aktualität. Für spezifische Anforderungen bitten wir Sie, uns eine Anfrage zu stellen.

Alle Produkte sind nur für Forschungszwecke bestimmt. Nicht für den menschlichen, tierärztlichen oder therapeutischen Gebrauch.

Menge: 400 ul
Lieferbar: In stock
lieferbar

Vergleichen

Auf den Wunschzettel

Angebot anfordern

Lieferzeit anfragen

Technische Frage stellen

Bulk-Anfrage stellen

Fragen zum Produkt?
 
Schließen