Vergleich

CALB1 Antibody (Center)

ArtNr ABC-AP20497c-ev
Hersteller Abcepta
Menge 80 ul
Kategorie
Typ Antibody Primary
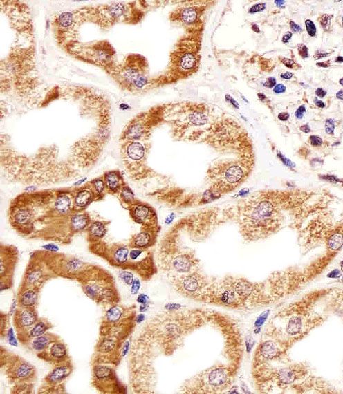
Applikationen WB, IHC-P
Specific against Human (Homo sapiens), Rat (Rattus norvegicus)
Host Rabbit
Isotype IgG
Citations Parmentier M., et al. Eur. J. Biochem. 170:207-215(1987).
Ota T., et al. Nat. Genet. 36:40-45(2004).
Nusbaum C., et al. Nature 439:331-335(2006).
Mural R.J., et al. Submitted (JUL-2005) to the EMBL/GenBank/DDBJ databases.
Parmentier M., et al. Genomics 4:309-319(1989).
NCBI NP_004920.1
ECLASS 10.1 32160702
ECLASS 11.0 32160702
UNSPSC 12352203
Alias Calbindin,Calbindin D28,D-28K,Vitamin D-dependent calcium-binding protein,avian-type,CALB1,CAB27
Similar products CAB27, CALB1, Calbindin, D-28K, Calbindin D28, Vitamin D-dependent calcium-binding protein, avian-type
Lieferbar
Manufacturer - Category
Crown Antibodies; Primary Antibodies; Neuroscience
Manufacturer - Targets
This CALB1 antibody is generated from rabbits immunized with a KLH conjugated synthetic peptide between 90-116 amino acids from the Central region of human CALB1.
Bio Background
Buffers cytosolic calcium. May stimulate a membrane Ca(2+)-ATPase and a 3', 5'-cyclic nucleotide phosphodiesterase.
Clonality
Polyclonal
Gene Name
CALB1
Subtitle
Affinity Purified Rabbit Polyclonal Antibody (Pab)
Reactivity
H, Rat
Predicted Reactivity
B, M
Calculated Molecular Weight
30025
Antigen Source
Human
Antigen Region
90-116
Formulation
Purified polyclonal antibody supplied in PBS with 0.09% (W/V) sodium azide. This antibody is purified through a protein A column, followed by peptide affinity purification.
Dilution
WB: 1:1000
IHC-P: 1:25
Antigen Type
Synthetic Peptide

Hinweis: Die dargestellten Informationen und Dokumente (Bedienungsanleitung, Produktdatenblatt, Sicherheitsdatenblatt und Analysezertifikat) entsprechen unserem letzten Update und sollten lediglich der Orientierung dienen. Wir übernehmen keine Garantie für die Aktualität. Für spezifische Anforderungen bitten wir Sie, uns eine Anfrage zu stellen.

Alle Produkte sind nur für Forschungszwecke bestimmt. Nicht für den menschlichen, tierärztlichen oder therapeutischen Gebrauch.

Menge: 80 ul
Lieferbar: In stock
lieferbar

Vergleichen

Auf den Wunschzettel

Angebot anfordern

Lieferzeit anfragen

Technische Frage stellen

Bulk-Anfrage stellen

Fragen zum Produkt?
 
Schließen