Vergleich

UBE2D1 Antibody (C-term)

ArtNr ABC-AP2112b
Hersteller Abcepta
Menge 400 ul
Kategorie
Typ Antibody Polyclonal
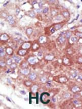
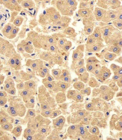
Applikationen WB, IHC-P
Specific against Human (Homo sapiens)
Host Rabbit
Isotype IgG
Citations Bres, V., et al., Nat. Cell Biol. 5(8):754-761 (2003).
Gehrke, S.G., et al., Blood 101(8):3288-3293 (2003).
Kamura, T., et al., Proc. Natl. Acad. Sci. U.S.A. 97(19):10430-10435 (2000).
Gutierrez, J.A., et al., Biochem. Biophys. Res. Commun. 253(3):739-742 (1998).
Jensen, J.P., et al., J. Biol. Chem. 270(51):30408-30414 (1995).
NCBI NP_003329.1
ECLASS 10.1 32160702
ECLASS 11.0 32160702
UNSPSC 12352203
Similar products UBE2D1, SFT, UBC5A, UBCH5, UBCH5A, Ubiquitin-conjugating enzyme E2 D1, Stimulator of Fe transport, UBC4/5 homolog, UbcH5, Ubiquitin carrier protein D1, Ubiquitin-conjugating enzyme E2(17)KB 1, Ubiquitin-conjugating enzyme E2-17 kDa 1, Ubiquitin-protein ligase D1
Lieferbar
Manufacturer - Category
Crown Antibodies; Primary Antibodies; Cell Biology
Manufacturer - Targets
This UBE2D1 antibody is generated from rabbits immunized with a KLH conjugated synthetic peptide between 111-140 amino acids from the C-terminal region of human UBE2D1.
Bio Background
The modification of proteins with ubiquitin is an important cellular mechanism for targeting abnormal or short-lived proteins for degradation. Ubiquitination involves at least three classes of enzymes: ubiquitin-activating enzymes, or E1s, ubiquitin-conjugating enzymes, or E2s, and ubiquitin-protein ligases, or E3s. UBE2D1 is a member of the E2 ubiquitin-conjugating enzyme family. This enzyme is closely related to a stimulator of iron transport (SFT), and is up-regulated in hereditary hemochromatosis. It also functions in the ubiquitination of the tumor-suppressor protein p53 and the hypoxia-inducible transcription factor HIF1alpha by interacting with the E1 ubiquitin-activating enzyme and the E3 ubiquitin-protein ligases.
Clonality
Polyclonal
Polyclonal Antibody Additonal Information
RB04139
Gene Name
UBE2D1
Subtitle
Purified Rabbit Polyclonal Antibody (Pab)
Reactivity
H
Predicted Reactivity
B, M, Rat
Calculated Molecular Weight
16602
Antigen Source
HUMAN
Antigen Region
111-140
Formulation
Purified polyclonal antibody supplied in PBS with 0.09% (W/V) sodium azide. This antibody is prepared by Saturated Ammonium Sulfate (SAS) precipitation followed by dialysis against PBS.
Dilution
WB: 1:1000
IHC-P: 1:50~100
IHC-P: 1:100
Antigen Type
Synthetic Peptide
Manufacturer - Alias
Ubiquitin-conjugating enzyme E2 D1, Stimulator of Fe transport, SFT, UBC4/5 homolog, UbcH5, Ubiquitin carrier protein D1, Ubiquitin-conjugating enzyme E2(17)KB 1, Ubiquitin-conjugating enzyme E2-17 kDa 1, Ubiquitin-protein ligase D1, UBE2D1, SFT, UBC5A, UBCH5, UBCH5A
Manufacturer - Similar
Ubiquitin-conjugating enzyme E2 D1, Stimulator of Fe transport, SFT, UBC4/5 homolog, UbcH5, Ubiquitin carrier protein D1, Ubiquitin-conjugating enzyme E2(17)KB 1, Ubiquitin-conjugating enzyme E2-17 kDa 1, Ubiquitin-protein ligase D1, UBE2D1, SFT, UBC5A, UBCH5, UBCH5A

Hinweis: Die dargestellten Informationen und Dokumente (Bedienungsanleitung, Produktdatenblatt, Sicherheitsdatenblatt und Analysezertifikat) entsprechen unserem letzten Update und sollten lediglich der Orientierung dienen. Wir übernehmen keine Garantie für die Aktualität. Für spezifische Anforderungen bitten wir Sie, uns eine Anfrage zu stellen.

Alle Produkte sind nur für Forschungszwecke bestimmt. Nicht für den menschlichen, tierärztlichen oder therapeutischen Gebrauch.

Menge: 400 ul
Lieferbar: In stock
lieferbar

Vergleichen

Auf den Wunschzettel

Angebot anfordern

Lieferzeit anfragen

Technische Frage stellen

Bulk-Anfrage stellen

Fragen zum Produkt?
 
Schließen