Vergleich

SQSTM1 (p62) Antibody (C-term)

ArtNr ABC-AP2183B-ev
Hersteller Abcepta
Menge 80 ul
Kategorie
Typ Antibody Polyclonal
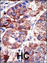
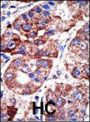
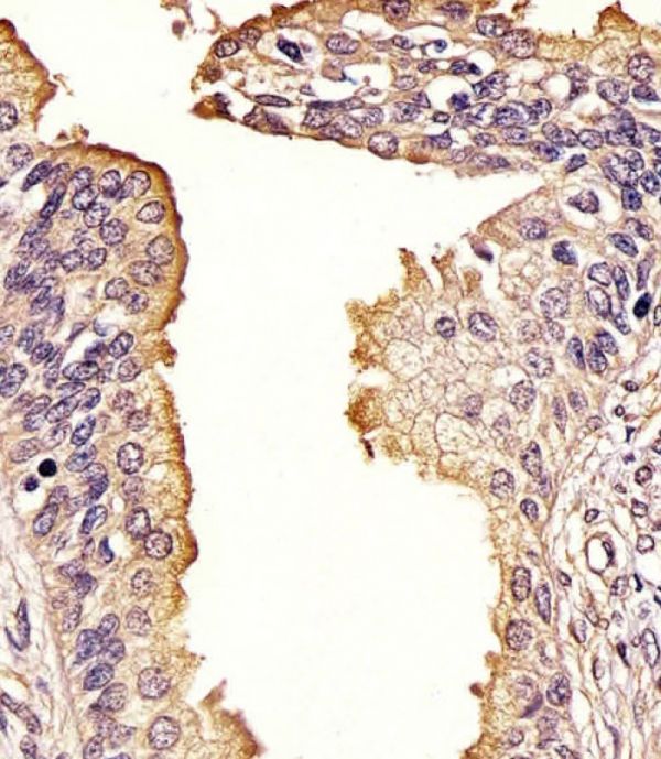
Applikationen WB, IF, IHC-P
Specific against Human (Homo sapiens), Mouse (Murine, Mus musculus)
Host Rabbit
Isotype IgG
Citations References for protein:
1.Seibenhener, M.L., et al., Mol. Cell. Biol. 24(18):8055-8068 (2004).
2.Eekhoff, E.W., et al., Arthritis Rheum. 50(5):1650-1654 (2004).
3.Brajenovic, M., et al., J. Biol. Chem. 279(13):12804-12811 (2004).
4.Kuusisto, E., et al., J. Neuropathol. Exp. Neurol. 62(12):1241-1253 (2003).
5. Johnson-Pais, T.L., et al., J. Bone Miner. Res. 18(10):1748-1753 (2003).
References for U251 cell line:
1. Westermark B.; Pontén J.; Hugosson R. (1973).” Determinants for the establishment of permanent tissue culture lines from human gliomas”. Acta Pathol Microbiol Scand A. 81:791-805. [PMID: 4359449].
2. Pontén, J.,Westermark B. (1978).” Properties of Human Malignant Glioma Cells in Vitro”. Medical Biology 56: 184-193.[PMID: 359950].
3. Geng Y.;Kohli L.; Klocke B.J.; Roth K.A.(2010). “Chloroquine-induced autophagic vacuole accumulation and cell death in glioma cells is p53 independent”. Neuro Oncol. 12(5): 473–481.[ PMID: 20406898].
NCBI NP_001135770.1,NP_001135771.1,NP_003891.1
ECLASS 10.1 32160702
ECLASS 11.0 32160702
UNSPSC 12352203
Alias Sequestosome-1,EBI3-associated protein of 60 kDa,EBIAP,p60,Phosphotyrosine-independent ligand for the Lck SH2 domain of 62 kDa,Ubiquitin-binding protein p62,SQSTM1,ORCA,OSIL
Similar products SQSTM1, p60, ORCA, OSIL, Sequestosome-1, EBI3-associated protein of 60 kDa, Phosphotyrosine-independent ligand for the Lck SH2 domain of 62 kDa, Ubiquitin-binding protein p62, EBIAP
Lieferbar
Manufacturer - Category
Primary Antibodies; Antibody Collections; Cardiovascular; Metabolism; Signal Transduction; Autophagy; Immunity; Autophagy; Lysosome; SARS-Human interaction partners
Manufacturer - Targets
This SQSTM1 (p62) antibody is generated from rabbits immunized with a KLH conjugated synthetic peptide between 317-346 amino acids of human SQSTM1 (p62).
Bio Background
SQSTM1/p62 is an adapter protein which binds ubiquitin and may regulate the activation of NFKB1 by TNF-alpha, nerve growth factor (NGF) and interleukin-1. This protein may play a role in titin/TTN downstream signaling in muscle cells, and may also regulate signaling cascades through ubiquitination. This protein is involved in cell differentiation, apoptosis, immune response and regulation of K(+) channels. SQSTM1/p62 also appears to play a role in macroautophagic removal of intracellular protein aggregates. Cellular depletion studies of SQSTM1/p62 have indicated a role for association with LC3 and aggregate proteins in order to facilitate normal formation of the autophagosome.
Clonality
Polyclonal
Polyclonal Antibody Additonal Information
RB4614
Gene Name
SQSTM1 {ECO:0000303|PubMed:16286508, ECO:0000312|HGNC:HGNC:11280}
Subtitle
Purified Rabbit Polyclonal Antibody (Pab)
Reactivity
H, M
Predicted Reactivity
Rat
Calculated Molecular Weight
47687
Antigen Source
HUMAN
Antigen Region
317-346
Formulation
Purified polyclonal antibody supplied in PBS with 0.09% (W/V) sodium azide. This antibody is purified through a protein A column, followed by peptide affinity purification.
Dilution
IF: 1:200
IF: 1:50~100
WB: 1:2000
WB: 1:2000
IHC-P: 1:50~100
Antigen Type
Synthetic Peptide

Hinweis: Die dargestellten Informationen und Dokumente (Bedienungsanleitung, Produktdatenblatt, Sicherheitsdatenblatt und Analysezertifikat) entsprechen unserem letzten Update und sollten lediglich der Orientierung dienen. Wir übernehmen keine Garantie für die Aktualität. Für spezifische Anforderungen bitten wir Sie, uns eine Anfrage zu stellen.

Alle Produkte sind nur für Forschungszwecke bestimmt. Nicht für den menschlichen, tierärztlichen oder therapeutischen Gebrauch.

Menge: 80 ul
Lieferbar: In stock
lieferbar

Vergleichen

Auf den Wunschzettel

Angebot anfordern

Lieferzeit anfragen

Technische Frage stellen

Bulk-Anfrage stellen

Fragen zum Produkt?
 
Schließen