Vergleich

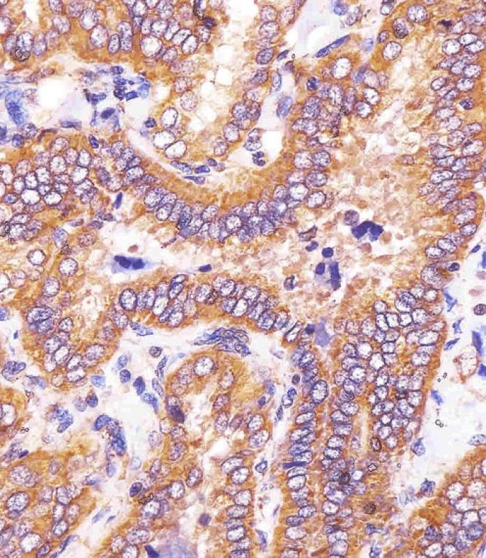
HSD17B10 Antibody (Center)

ArtNr ABC-AP22211c
Hersteller Abcepta
Menge 200 ul
Kategorie
Typ Antibody Polyclonal
Applikationen WB, FC, IF, IHC-P
Specific against Human (Homo sapiens), Mouse (Murine, Mus musculus), Rat (Rattus norvegicus)
Host Rabbit
Isotype IgG
Citations Yan S.D.,et al.Nature 389:689-695(1997).
Zhuchenko O.P.,et al.Submitted (JAN-1997) to the EMBL/GenBank/DDBJ databases.
Miller A.P.,et al.Proc. Natl. Acad. Sci. U.S.A. 95:8709-8714(1998).
He X.Y.,et al.J. Biol. Chem. 273:10741-10746(1998).
Ebert L.,et al.Submitted (JUN-2004) to the EMBL/GenBank/DDBJ databases.
ECLASS 10.1 32160702
ECLASS 11.0 32160702
UNSPSC 12352203
Similar products ERAB, HSD17B10, 3-hydroxyacyl-CoA dehydrogenase type II, Type II HADH, 3-hydroxy-2-methylbutyryl-CoA dehydrogenase, SCHAD, HADH2, MRPP2, 3-hydroxyacyl-CoA dehydrogenase type-2, 17-beta-hydroxysteroid dehydrogenase 10, 17-beta-HSD 10, Endoplasmic reticulum-associated amyloid beta-peptide-binding protein, Mitochondrial ribonuclease P protein 2, XH98G2, Mitochondrial RNase P protein 2, Short-chain type dehydrogenase/reductase XH98G2, 1.1.1.51, 1.1.1.35, 1.1.1.178
Lieferbar
Manufacturer - Category
Crown Antibodies; Primary Antibodies; Metabolism; Neuroscience; Mitochondrion
Manufacturer - Targets
This HSD17B10 antibody is generated from a rabbit immunized with a KLH conjugated synthetic peptide between 140-172 amino acids from the Central region of human HSD17B10.
Bio Background
Functions in mitochondrial tRNA maturation. Part of mitochondrial ribonuclease P, an enzyme composed of MRPP1/TRMT1C, MRPP2/HSD17B1 and MRPP3/KIAA391, which cleaves tRNA molecules in their 5'-ends. Catalyzes the beta-oxidation at position 17 of androgens and estrogens and has 3-alpha-hydroxysteroid dehydrogenase activity with androsterone. Catalyzes the third step in the beta-oxidation of fatty acids. Carries out oxidative conversions of 7-alpha-OH and 7-beta-OH bile acids. Also exhibits 2-beta-OH and 21-OH dehydrogenase activities with C21 steroids. By interacting with intracellular amyloid-beta, it may contribute to the neuronal dysfunction associated with Alzheimer disease (AD).
Clonality
Polyclonal
Polyclonal Antibody Additonal Information
RB56913
Gene Name
HSD17B10
Subtitle
Purified Rabbit Polyclonal Antibody (Pab)
Reactivity
H, M, Rat
Predicted Reactivity
B
Calculated Molecular Weight
26923
Antigen Source
HUMAN
Formulation
Purified polyclonal antibody supplied in PBS with 0.09% (W/V) sodium azide. This antibody is purified through a protein A column, followed by peptide affinity purification.
Dilution
IF: 1:25
WB: 1:2000
IHC-P: 1:25
FC: 1:25
Antigen Type
Synthesized Peptide
Manufacturer - Alias
3-hydroxyacyl-CoA dehydrogenase type-2, 1.1.1.35, 17-beta-hydroxysteroid dehydrogenase 10, 17-beta-HSD 10, 1.1.1.51, 3-hydroxy-2-methylbutyryl-CoA dehydrogenase, 1.1.1.178, 3-hydroxyacyl-CoA dehydrogenase type II, Endoplasmic reticulum-associated amyloid beta-peptide-binding protein, Mitochondrial ribonuclease P protein 2, Mitochondrial RNase P protein 2, Short-chain type dehydrogenase/reductase XH98G2, Type II HADH, HSD17B10, ERAB, HADH2, MRPP2, SCHAD, XH98G2
Manufacturer - Similar
3-hydroxyacyl-CoA dehydrogenase type-2, 1.1.1.35, 17-beta-hydroxysteroid dehydrogenase 10, 17-beta-HSD 10, 1.1.1.51, 3-hydroxy-2-methylbutyryl-CoA dehydrogenase, 1.1.1.178, 3-hydroxyacyl-CoA dehydrogenase type II, Endoplasmic reticulum-associated amyloid beta-peptide-binding protein, Mitochondrial ribonuclease P protein 2, Mitochondrial RNase P protein 2, Short-chain type dehydrogenase/reductase XH98G2, Type II HADH, HSD17B10, ERAB, HADH2, MRPP2, SCHAD, XH98G2

Hinweis: Die dargestellten Informationen und Dokumente (Bedienungsanleitung, Produktdatenblatt, Sicherheitsdatenblatt und Analysezertifikat) entsprechen unserem letzten Update und sollten lediglich der Orientierung dienen. Wir übernehmen keine Garantie für die Aktualität. Für spezifische Anforderungen bitten wir Sie, uns eine Anfrage zu stellen.

Alle Produkte sind nur für Forschungszwecke bestimmt. Nicht für den menschlichen, tierärztlichen oder therapeutischen Gebrauch.

Menge: 200 ul
Lieferbar: In stock
lieferbar

Vergleichen

Auf den Wunschzettel

Angebot anfordern

Lieferzeit anfragen

Technische Frage stellen

Bulk-Anfrage stellen

Fragen zum Produkt?
 
Schließen