Vergleich

ARL1 Antibody (N-term)

ArtNr ABC-AP2304A-ev
Hersteller Abcepta
Menge 80 ul
Kategorie
Typ Antibody Polyclonal
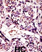
Applikationen WB, IHC-P
Specific against Human (Homo sapiens)
Host Rabbit
Isotype IgG
Citations Hong, J.X., et al., J. Biol. Chem. 273(25):15872-15876 (1998).
Zhang, G.F., et al., J. Biol. Chem. 270(1):21-24 (1995).
NCBI NP_001168.1
ECLASS 10.1 32160702
ECLASS 11.0 32160702
UNSPSC 12352203
Alias ADP-ribosylation factor-like protein 1,ARL1
Similar products ARL1, ADP-ribosylation factor-like protein 1
Lieferbar
Manufacturer - Category
Primary Antibodies; Signal Transduction
Manufacturer - Targets
This ARL1 antibody is generated from rabbits immunized with a KLH conjugated synthetic peptide between 1-30 amino acids from the N-terminal region of human ARL1.
Bio Background
ARL1 belongs to the ARL (ADP-ribosylation factor-like) family of proteins, which are structurally related to ADP-ribosylation factors (ARFs). ARFs, described as activators of cholera toxin (CT) ADP-ribosyltransferase activity, regulate intracellular vesicular membrane trafficking, and stimulate a phospholipase D (PLD) isoform. Although, ARL proteins were initially thought not to activate CT or PLD, later work showed that they are weak stimulators of PLD and CT in a phospholipid dependent manner.
Clonality
Polyclonal
Polyclonal Antibody Additonal Information
RB4905/4906
Gene Name
ARL1
Subtitle
Purified Rabbit Polyclonal Antibody (Pab)
Reactivity
H
Predicted Reactivity
B, M, Rat
Calculated Molecular Weight
20418
Antigen Source
HUMAN
Antigen Region
1-30
Formulation
Purified polyclonal antibody supplied in PBS with 0.09% (W/V) sodium azide. This antibody is prepared by Saturated Ammonium Sulfate (SAS) precipitation followed by dialysis against PBS.
Dilution
WB: 1:1000
IHC-P: 1:50~100
Antigen Type
Synthetic Peptide

Hinweis: Die dargestellten Informationen und Dokumente (Bedienungsanleitung, Produktdatenblatt, Sicherheitsdatenblatt und Analysezertifikat) entsprechen unserem letzten Update und sollten lediglich der Orientierung dienen. Wir übernehmen keine Garantie für die Aktualität. Für spezifische Anforderungen bitten wir Sie, uns eine Anfrage zu stellen.

Alle Produkte sind nur für Forschungszwecke bestimmt. Nicht für den menschlichen, tierärztlichen oder therapeutischen Gebrauch.

Menge: 80 ul
Lieferbar: In stock
lieferbar

Vergleichen

Auf den Wunschzettel

Angebot anfordern

Lieferzeit anfragen

Technische Frage stellen

Bulk-Anfrage stellen

Fragen zum Produkt?
 
Schließen