Vergleich

Phospho-ABL1(Y134) Antibody

ArtNr ABC-AP3011a-ev
Hersteller Abcepta
Menge 80 ul
Kategorie
Typ Antibody Polyclonal
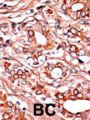
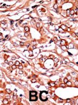
Applikationen IHC-P, Dot
Specific against Human (Homo sapiens)
Host Rabbit
Isotype IgG
Citations Barnes, K., et al., Oncogene 24(20):3257-3267 (2005).
Kim, Y.R., et al., Genes Chromosomes Cancer 43(1):37-44 (2005).
Aichberger, K.J., et al., Blood 105(8):3303-3311 (2005).
Wei, G., et al., J. Biol. Chem. 280(13):12271-12278 (2005).
Robinson, H.M., et al., Leukemia 19(4):564-571 (2005).
NCBI NP_005148.2,NP_009297.2
ECLASS 10.1 32160702
ECLASS 11.0 32160702
UNSPSC 12352203
Alias Tyrosine-protein kinase ABL1,Abelson murine leukemia viral oncogene homolog 1,Abelson tyrosine-protein kinase 1,Proto-oncogene c-Abl,p150,ABL1,ABL,JTK7
Similar products ABL1, Tyrosine-protein kinase ABL1, Abelson murine leukemia viral oncogene homolog 1, Abelson tyrosine-protein kinase 1, Proto-oncogene c-Abl, p150, ABL, JTK7
Lieferbar
Manufacturer - Category
Primary Antibodies; Antibody Collections; Cancer; Signal Transduction; Phospho Antibodies; Anti-Kinome Antibodies; Autophagy; Mitochondrion
Manufacturer - Targets
This ABL1 Antibody is generated from rabbits immunized with a KLH conjugated synthetic phosphopeptide corresponding to amino acid residues surrounding Y134 of human ABL1.
Bio Background
ABL1 is a cytoplasmic and nuclear protein tyrosine kinase that has been implicated in processes of cell differentiation, cell division, cell adhesion, and stress response. Activity of c-Abl protein is negatively regulated by its SH3 domain, and deletion of the SH3 domain turns ABL1 into an oncogene. The t(9; 22) translocation results in the head-to-tail fusion of the BCR and ABL1 genes present in many cases of chronic myelogeneous leukemia. The DNA-binding activity of the ubiquitously expressed ABL1 tyrosine kinase is regulated by CDC2-mediated phosphorylation, suggesting a cell cycle function for ABL1.
Clonality
Polyclonal
Polyclonal Antibody Additonal Information
RB7343
Gene Name
ABL1
Subtitle
Affinity Purified Rabbit Polyclonal Antibody (Pab)
Reactivity
H
Predicted Reactivity
M
Calculated Molecular Weight
122873
Antigen Source
HUMAN
Formulation
Purified polyclonal antibody supplied in PBS with 0.09% (W/V) sodium azide. This antibody is purified through a protein A column, followed by peptide affinity purification.
Dilution
IHC-P: 1:50~100
DB: 1:500
Antigen Type
Synthetic Peptide

Hinweis: Die dargestellten Informationen und Dokumente (Bedienungsanleitung, Produktdatenblatt, Sicherheitsdatenblatt und Analysezertifikat) entsprechen unserem letzten Update und sollten lediglich der Orientierung dienen. Wir übernehmen keine Garantie für die Aktualität. Für spezifische Anforderungen bitten wir Sie, uns eine Anfrage zu stellen.

Alle Produkte sind nur für Forschungszwecke bestimmt. Nicht für den menschlichen, tierärztlichen oder therapeutischen Gebrauch.

Menge: 80 ul
Lieferbar: In stock
lieferbar

Vergleichen

Auf den Wunschzettel

Angebot anfordern

Lieferzeit anfragen

Technische Frage stellen

Bulk-Anfrage stellen

Fragen zum Produkt?
 
Schließen