Vergleich

Phospho-Bid(S65) Antibody

ArtNr ABC-AP3041a-ev
Hersteller Abcepta
Menge 80 ul
Kategorie
Typ Antibody Polyclonal
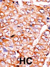
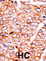
Applikationen WB, IHC-P
Specific against Human (Homo sapiens)
Host Rabbit
Isotype IgG
Citations Liu, J., et al., Biochem. Biophys. Res. Commun. 330(3):865-870 (2005).
Broaddus, V.C., et al., J. Biol. Chem. 280(13):12486-12493 (2005).
Weng, C., et al., J. Biol. Chem. 280(11):10491-10500 (2005).
Gong, X.M., et al., J. Biol. Chem. 279(28):28954-28960 (2004).
Garcia-Saez, A.J., et al., Biochemistry 43(34):10930-10943 (2004).
NCBI NP_001187.1,NP_001231496.1,NP_001231498.1,NP_001231499.1,NP_001231501.1,NP_932070.1,NP_932071.1
ECLASS 10.1 32160702
ECLASS 11.0 32160702
UNSPSC 12352203
Alias BH3-interacting domain death agonist,p22 BID,BID,BH3-interacting domain death agonist p15,p15 BID,BH3-interacting domain death agonist p13,p13 BID,BH3-interacting domain death agonist p11,p11 BID,BID
Similar products BID, BH3-interacting domain death agonist, p22 BID, BH3-interacting domain death agonist p15, p15 BID, BH3-interacting domain death agonist p13, p13 BID, BH3-interacting domain death agonist p11, p11 BID
Lieferbar
Manufacturer - Category
Primary Antibodies; Antibody Collections; Cancer; Cell Biology; Metabolism; Amyotrophic Lateral Sclerosis (ALS); Phospho Antibodies; Apoptosis; Mitochondrion
Manufacturer - Targets
This Bid Antibody is generated from rabbits immunized with a KLH conjugated synthetic phosphopeptide corresponding to amino acid residues surrounding S65 of human Bid.
Bio Background
Bid is a death agonist that heterodimerizes with either agonist BAX or antagonist BCL2. The encoded protein is a member of the BCL-2 family of cell death regulators. Bid induces ICE-like proteases and apoptosis. It is a mediator of mitochondrial damage induced by caspase-8 (CASP8); CASP8 cleaves this encoded protein, and the major proteolytic product p15 Bid translocates to mitochondria where it triggers cytochrome c release.
Clonality
Polyclonal
Polyclonal Antibody Additonal Information
RB7105
Gene Name
BID
Subtitle
Affinity Purified Rabbit Polyclonal Antibody (Pab)
Reactivity
H
Calculated Molecular Weight
21995
Antigen Source
HUMAN
Formulation
Purified polyclonal antibody supplied in PBS with 0.09% (W/V) sodium azide. This antibody is purified through a protein A column, followed by peptide affinity purification.
Dilution
WB: 1:1000
IHC-P: 1:50~100
IHC-P: 1:50~100
Antigen Type
Synthetic Peptide

Hinweis: Die dargestellten Informationen und Dokumente (Bedienungsanleitung, Produktdatenblatt, Sicherheitsdatenblatt und Analysezertifikat) entsprechen unserem letzten Update und sollten lediglich der Orientierung dienen. Wir übernehmen keine Garantie für die Aktualität. Für spezifische Anforderungen bitten wir Sie, uns eine Anfrage zu stellen.

Alle Produkte sind nur für Forschungszwecke bestimmt. Nicht für den menschlichen, tierärztlichen oder therapeutischen Gebrauch.

Menge: 80 ul
Lieferbar: In stock
lieferbar

Vergleichen

Auf den Wunschzettel

Angebot anfordern

Lieferzeit anfragen

Technische Frage stellen

Bulk-Anfrage stellen

Fragen zum Produkt?
 
Schließen