Vergleich

Phospho-CDK7(T170) Antibody

ArtNr ABC-AP3068a
Hersteller Abcepta
Menge 400 ul
Kategorie
Typ Antibody Polyclonal
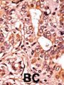
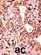
Applikationen WB, IHC-P, Dot
Specific against Human (Homo sapiens), Mouse (Murine, Mus musculus)
Host Rabbit
Isotype IgG
Citations Zhou, M., et al., Proc. Natl. Acad. Sci. U.S.A. 100(22):12666-12671 (2003).
Kino, T., et al., Biochem. Biophys. Res. Commun. 298(1):17-23 (2002).
Schneider, E., et al., Oncogene 21(33):5031-5037 (2002).
Nekhai, S., et al., Virology 266(2):246-256 (2000).
Zhou, M., et al., Mol. Cell. Biol. 20(14):5077-5086 (2000).
NCBI NP_001790.1
ECLASS 10.1 32160702
ECLASS 11.0 32160702
UNSPSC 12352203
Alias Cyclin-dependent kinase 7,39 kDa protein kinase,p39 Mo15,CDK-activating kinase 1,Cell division protein kinase 7,Serine/threonine-protein kinase 1,TFIIH basal transcription factor complex kinase subunit,CDK7,CAK,CAK1,CDKN7,MO15,STK1
Similar products CDK7, CAK, CAK1, CDKN7, MO15, STK1, Cyclin-dependent kinase 7, 39 kDa protein kinase, CDK-activating kinase 1, Cell division protein kinase 7, Serine/threonine-protein kinase 1, TFIIH basal transcription factor complex kinase subunit, p39 Mo15
Lieferbar
Manufacturer - Category
Primary Antibodies; Antibody Collections; Cancer; Cardiovascular; Cell Biology; Signal Transduction; Phospho Antibodies; Catalog Updated
Manufacturer - Targets
This CDK7 Antibody is generated from rabbits immunized with a KLH conjugated synthetic phosphopeptide corresponding to amino acid residues surrounding T170 of human CDK7.
Bio Background
The protein encoded by this gene is a member of the cyclin-dependent protein kinase (CDK) family. CDK family members are highly similar to the gene products of Saccharomyces cerevisiae cdc28, and Schizosaccharomyces pombe cdc2, and are known to be important regulators of cell cycle progression. This protein forms a trimeric complex with cyclin H and MAT1, which functions as a Cdk-activating kinase (CAK). It is an essential component of the transcription factor TFIIH, that is involved in transcription initiation and DNA repair. This protein is thought to serve as a direct link between the regulation of transcription and the cell cycle.
Clonality
Polyclonal
Polyclonal Antibody Additonal Information
RB07518
Gene Name
CDK7
Subtitle
Affinity Purified Rabbit Polyclonal Antibody (Pab)
Reactivity
H, M
Predicted Reactivity
M
Calculated Molecular Weight
39038
Antigen Source
HUMAN
Formulation
Purified polyclonal antibody supplied in PBS with 0.09% (W/V) sodium azide. This antibody is purified through a protein A column, followed by peptide affinity purification.
Dilution
WB: 1:1000
WB: 1:1000
IHC-P: 1:50~100
DB: 1:500
Antigen Type
Synthetic Peptide

Hinweis: Die dargestellten Informationen und Dokumente (Bedienungsanleitung, Produktdatenblatt, Sicherheitsdatenblatt und Analysezertifikat) entsprechen unserem letzten Update und sollten lediglich der Orientierung dienen. Wir übernehmen keine Garantie für die Aktualität. Für spezifische Anforderungen bitten wir Sie, uns eine Anfrage zu stellen.

Alle Produkte sind nur für Forschungszwecke bestimmt. Nicht für den menschlichen, tierärztlichen oder therapeutischen Gebrauch.

Menge: 400 ul
Lieferbar: In stock
lieferbar

Vergleichen

Auf den Wunschzettel

Angebot anfordern

Lieferzeit anfragen

Technische Frage stellen

Bulk-Anfrage stellen

Fragen zum Produkt?
 
Schließen