Vergleich

Phospho-INSR(Y1361) Antibody

ArtNr ABC-AP3134a-ev
Hersteller Abcepta
Menge 80 ul
Kategorie
Typ Antibody Polyclonal
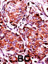
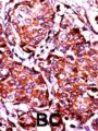
Applikationen WB, IHC-P, Dot
Specific against Human (Homo sapiens)
Host Rabbit
Isotype IgG
Citations Nakamaru, K., et al., Biochem. Biophys. Res. Commun. 328(2):449-454 (2005).
Diaz, E., et al., Clin. Biochem. 38(3):243-247 (2005).
McGettrick, A.J., et al., J. Biol. Chem. 280(8):6441-6446 (2005).
Schmitt, T.L., et al., J. Biol. Chem. 280(5):3795-3801 (2005).
Denley, A., et al., Mol. Endocrinol. 18(10):2502-2512 (2004).
NCBI NP_000199.2,NP_001073285.1
ECLASS 10.1 32160702
ECLASS 11.0 32160702
UNSPSC 12352203
Alias Insulin receptor,IR,CD220,Insulin receptor subunit alpha,Insulin receptor subunit beta,INSR
Similar products INSR, Insulin receptor, Insulin receptor subunit alpha, Insulin receptor subunit beta, IR, CD220
Lieferbar
Manufacturer - Category
Primary Antibodies; Antibody Collections; Cancer; Cardiovascular; Metabolism; Neuroscience; Signal Transduction; Phospho Antibodies; Anti-Kinome Antibodies
Manufacturer - Targets
This INSR Antibody is generated from rabbits immunized with a KLH conjugated synthetic phosphopeptide corresponding to amino acid residues surrounding Y1361 of human INSR.
Bio Background
After removal of the precursor signal peptide, the insulin receptor precursor is post-translationally cleaved into two chains (alpha and beta) that are covalently linked. Binding of insulin to the insulin receptor (INSR) stimulates glucose uptake, thereby mediating the metabolic functions of insulin. Binding to insulin stimulates association of the receptor with downstream mediators including IRS1 and phosphatidylinositol 3'-kinase (PI3K). This protein can activate PI3K either directly by binding to the p85 regulatory subunit, or indirectly via IRS1.
Clonality
Polyclonal
Polyclonal Antibody Additonal Information
RB7155
Gene Name
INSR
Subtitle
Affinity Purified Rabbit Polyclonal Antibody (Pab)
Reactivity
H
Calculated Molecular Weight
156333
Antigen Source
HUMAN
Formulation
Purified polyclonal antibody supplied in PBS with 0.09% (W/V) sodium azide. This antibody is purified through a protein A column, followed by peptide affinity purification.
Dilution
IHC-P: 1:50~100
DB: 1:500
Antigen Type
Synthetic Peptide

Hinweis: Die dargestellten Informationen und Dokumente (Bedienungsanleitung, Produktdatenblatt, Sicherheitsdatenblatt und Analysezertifikat) entsprechen unserem letzten Update und sollten lediglich der Orientierung dienen. Wir übernehmen keine Garantie für die Aktualität. Für spezifische Anforderungen bitten wir Sie, uns eine Anfrage zu stellen.

Alle Produkte sind nur für Forschungszwecke bestimmt. Nicht für den menschlichen, tierärztlichen oder therapeutischen Gebrauch.

Menge: 80 ul
Lieferbar: In stock
lieferbar

Vergleichen

Auf den Wunschzettel

Angebot anfordern

Lieferzeit anfragen

Technische Frage stellen

Bulk-Anfrage stellen

Fragen zum Produkt?
 
Schließen