Vergleich

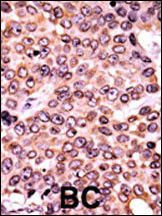
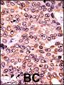
Phospho-P21CIP1(T145) Antibody

ArtNr ABC-AP3189a-ev
Hersteller Abcepta
Menge 80 ul
Kategorie
Typ Antibody Polyclonal
Applikationen WB, IHC-P, Dot
Specific against Human (Homo sapiens)
Host Rabbit
Isotype IgG
Citations Scott, S.A., et al., Leuk. Res. 28(12):1293-1301 (2004).
Amini, S., et al., J. Biol. Chem. 279(44):46046-46056 (2004).
Chen, T., et al., Cancer Res. 64(20):7412-7419 (2004).
Sieburg, M., et al., J. Virol. 78(19):10399-10409 (2004).
Giraud, S., et al., Oncogene 23(44):7391-7398 (2004).
NCBI NP_000380.1,NP_001207706.1,NP_001207707.1,NP_510867.1
ECLASS 10.1 32160702
ECLASS 11.0 32160702
UNSPSC 12352203
Alias Cyclin-dependent kinase inhibitor 1,CDK-interacting protein 1,Melanoma differentiation-associated protein 6,MDA-6,p21,CDKN1A,CAP20,CDKN1,CIP1,MDA6,PIC1,SDI1,WAF1
Similar products p21, CDKN1A, CAP20, CDKN1, CIP1, MDA6, PIC1, SDI1, WAF1, Cyclin-dependent kinase inhibitor 1, CDK-interacting protein 1, Melanoma differentiation-associated protein 6, MDA-6
Lieferbar
Manufacturer - Category
Primary Antibodies; Antibody Collections; Cancer; Cell Biology; Phospho Antibodies; Interleukin signaling
Manufacturer - Targets
This P21CIP1 Antibody is generated from rabbits immunized with a KLH conjugated synthetic phosphopeptide corresponding to amino acid residues surrounding T145 of human P21CIP1.
Bio Background
P21CIP1 is a potent cyclin-dependent kinase inhibitor. This protein binds to and inhibits the activity of cyclin-CDK2 or -CDK4 complexes, and thus functions as a regulator of cell cycle progression at G1. Expression is tightly controlled by the tumor suppressor protein p53, through which this protein mediates the p53-dependent cell cycle G1 phase arrest in response to a variety of stress stimuli. P21CIP1 can interact with proliferating cell nuclear antigen (PCNA), a DNA polymerase accessory factor, and plays a regulatory role in S phase DNA replication and DNA damage repair. This protein has been reported to be specifically cleaved by CASP3-like caspases, which thus leads to a dramatic activation of CDK2, and may be instrumental in the execution of apoptosis following caspase activation.
Clonality
Polyclonal
Polyclonal Antibody Additonal Information
RB07512
Gene Name
CDKN1A
Subtitle
Affinity Purified Rabbit Polyclonal Antibody (Pab)
Reactivity
H
Calculated Molecular Weight
18119
Antigen Source
HUMAN
Formulation
Purified polyclonal antibody supplied in PBS with 0.09% (W/V) sodium azide. This antibody is purified through a protein A column, followed by peptide affinity purification.
Dilution
WB: 1:1000
IHC-P: 1:50~100
DB: 1:500
Antigen Type
Synthetic Peptide

Hinweis: Die dargestellten Informationen und Dokumente (Bedienungsanleitung, Produktdatenblatt, Sicherheitsdatenblatt und Analysezertifikat) entsprechen unserem letzten Update und sollten lediglich der Orientierung dienen. Wir übernehmen keine Garantie für die Aktualität. Für spezifische Anforderungen bitten wir Sie, uns eine Anfrage zu stellen.

Alle Produkte sind nur für Forschungszwecke bestimmt. Nicht für den menschlichen, tierärztlichen oder therapeutischen Gebrauch.

Menge: 80 ul
Lieferbar: In stock
lieferbar

Vergleichen

Auf den Wunschzettel

Angebot anfordern

Lieferzeit anfragen

Technische Frage stellen

Bulk-Anfrage stellen

Fragen zum Produkt?
 
Schließen