Vergleich

Phospho-p27Kip1(T157) Antibody

ArtNr ABC-AP3193a-ev
Hersteller Abcepta
Menge 80 ul
Kategorie
Typ Antibody Polyclonal
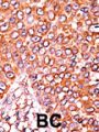
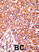
Applikationen IHC-P, Dot
Specific against Human (Homo sapiens)
Host Rabbit
Isotype IgG
Citations Kawamata, N., et al., Eur. J. Haematol. 74(5):424-429 (2005).
Andreu, E.J., et al., Cancer Res. 65(8):3264-3272 (2005).
Wingate, H., et al., J. Biol. Chem. 280(15):15148-15157 (2005).
Wang, C., et al., J. Biol. Chem. 280(13):12339-12343 (2005).
Rassidakis, G.Z., et al., Blood 105(2):827-829 (2005).
NCBI NP_004055.1
ECLASS 10.1 32160702
ECLASS 11.0 32160702
UNSPSC 12352203
Alias Cyclin-dependent kinase inhibitor 1B,Cyclin-dependent kinase inhibitor p27,p27Kip1,CDKN1B,KIP1
Similar products p27Kip1, CDKN1B, KIP1, Cyclin-dependent kinase inhibitor 1B, Cyclin-dependent kinase inhibitor p27
Lieferbar
Manufacturer - Category
Primary Antibodies; Antibody Collections; Cancer; Cell Biology; Phospho Antibodies; Interleukin signaling
Manufacturer - Targets
This p27Kip1 Antibody is generated from rabbits immunized with a KLH conjugated synthetic phosphopeptide corresponding to amino acid residues surrounding T157 of human p27Kip1.
Bio Background
p27Kip1 is a cyclin-dependent kinase inhibitor, which shares a limited similarity with CDK inhibitor CDKN1A/p21. The encoded protein binds to and prevents the activation of cyclin E-CDK2 or cyclin D-CDK4 complexes, and thus controls the cell cycle progression at G1. The degradation of this protein, which is triggered by its CDK dependent phosphorylation and subsequent ubiquitination by SCF complexes, is required for the cellular transition from quiescence to the proliferative state.
Clonality
Polyclonal
Polyclonal Antibody Additonal Information
RB28265
Gene Name
CDKN1B {ECO:0000303|PubMed:20824794}
Subtitle
Affinity Purified Rabbit Polyclonal Antibody (Pab)
Reactivity
H
Calculated Molecular Weight
22073
Antigen Source
HUMAN
Formulation
Purified polyclonal antibody supplied in PBS with 0.09% (W/V) sodium azide. This antibody is purified through a protein A column, followed by peptide affinity purification.
Dilution
IHC-P: 1:50~100
DB: 1:500
Antigen Type
Synthetic Peptide

Hinweis: Die dargestellten Informationen und Dokumente (Bedienungsanleitung, Produktdatenblatt, Sicherheitsdatenblatt und Analysezertifikat) entsprechen unserem letzten Update und sollten lediglich der Orientierung dienen. Wir übernehmen keine Garantie für die Aktualität. Für spezifische Anforderungen bitten wir Sie, uns eine Anfrage zu stellen.

Alle Produkte sind nur für Forschungszwecke bestimmt. Nicht für den menschlichen, tierärztlichen oder therapeutischen Gebrauch.

Menge: 80 ul
Lieferbar: In stock
lieferbar

Vergleichen

Auf den Wunschzettel

Angebot anfordern

Lieferzeit anfragen

Technische Frage stellen

Bulk-Anfrage stellen

Fragen zum Produkt?
 
Schließen