Vergleich

Phospho-SMAD3(S213) Antibody

ArtNr ABC-AP3250a-ev
Hersteller Abcepta
Menge 80 ul
Kategorie
Typ Antibody Polyclonal
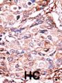
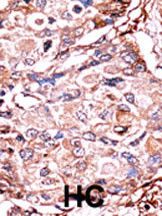
Applikationen WB, IHC-P
Specific against Human (Homo sapiens)
Host Rabbit
Isotype IgG
Citations Imoto, S., et al., FEBS Lett. 579(13):2853-2862 (2005).
Dubrovska, A., et al., Oncogene 24(14):2289-2297 (2005).
Furumatsu, T., et al., J. Biol. Chem. 280(9):8343-8350 (2005).
Kobayashi, T., et al., Biochem. Biophys. Res. Commun. 327(2):393-398 (2005).
Kamaraju, A.K., et al., J. Biol. Chem. 280(2):1024-1036 (2005).
NCBI NP_001138574.1,NP_001138575.1,NP_001138576.1,NP_005893.1
ECLASS 10.1 32160702
ECLASS 11.0 32160702
UNSPSC 12352203
Alias Mothers against decapentaplegic homolog 3,MAD homolog 3,Mad3,Mothers against DPP homolog 3,hMAD-3,JV15-2,SMAD family member 3,SMAD 3,Smad3,hSMAD3,SMAD3,MADH3
Similar products SMAD3, Smad3, MADH3, Mothers against decapentaplegic homolog 3, JV15-2, SMAD family member 3, Mad3, SMAD 3, Mothers against DPP homolog 3, hSMAD3, hMAD-3, MAD homolog 3
Lieferbar
Manufacturer - Category
Primary Antibodies; Antibody Collections; Cancer; Developmental Biology; Metabolism; Neuroscience; Signal Transduction; Phospho Antibodies; SARS-Human interactions; SARS-Human interaction partners
Manufacturer - Targets
This SMAD3 Antibody is generated from rabbits immunized with a KLH conjugated synthetic phosphopeptide corresponding to amino acid residues surrounding S213 of human SMAD3.
Bio Background
SMAD3, a receptor regulated SMAD (R-SMAD) is a transcriptional modulator activated by TGF-beta (transforming growth factor) and activin type 1 receptor kinase. SMAD3 is estimated to account for at least 8% of all TGF-beta-mediated response. Activated type I receptor phosphorylates receptor-activated SMADS (RSMADS) at their c-terminal two extreme serines in the SSXS motif. The phosphorylated R-SMAD translocate into nucleus, where they regulate transcription of target genes. SMAD3 signal transduction appears to be important in the rgulation of muscle-specific genes. Loss of SMAD3 is a feature of pediatric T-cell lymphoblastic leukemia, while upregulation of SMAD3 may be responsible for TGFB hyperresponsiveness observed in scleroderma.
Clonality
Polyclonal
Polyclonal Antibody Additonal Information
RB29526
Gene Name
SMAD3
Subtitle
Affinity Purified Rabbit Polyclonal Antibody (Pab)
Reactivity
H
Predicted Reactivity
C, M, Pig, Rat
Calculated Molecular Weight
48081
Antigen Source
HUMAN
Formulation
Purified polyclonal antibody supplied in PBS with 0.09% (W/V) sodium azide. This antibody is purified through a protein A column, followed by peptide affinity purification.
Dilution
WB: 1:1000
WB: 1:1000
IHC-P: 1:50~100
Antigen Type
Synthetic Peptide

Hinweis: Die dargestellten Informationen und Dokumente (Bedienungsanleitung, Produktdatenblatt, Sicherheitsdatenblatt und Analysezertifikat) entsprechen unserem letzten Update und sollten lediglich der Orientierung dienen. Wir übernehmen keine Garantie für die Aktualität. Für spezifische Anforderungen bitten wir Sie, uns eine Anfrage zu stellen.

Alle Produkte sind nur für Forschungszwecke bestimmt. Nicht für den menschlichen, tierärztlichen oder therapeutischen Gebrauch.

Menge: 80 ul
Lieferbar: In stock
lieferbar

Vergleichen

Auf den Wunschzettel

Angebot anfordern

Lieferzeit anfragen

Technische Frage stellen

Bulk-Anfrage stellen

Fragen zum Produkt?
 
Schließen