Vergleich

Phospho-Wee1(S123) Antibody

ArtNr ABC-AP3284a
Hersteller Abcepta
Menge 400 ul
Kategorie
Typ Antibody Polyclonal
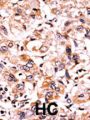
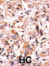
Applikationen WB, IHC-P, Dot
Specific against Human (Homo sapiens)
Host Rabbit
Isotype IgG
Citations Dai, X., et al., J. Invest. Dermatol. 122(6):1356-1364 (2004).
Watanabe, N., et al., Proc. Natl. Acad. Sci. U.S.A. 101(13):4419-4424 (2004).
Yoshida, T., et al., Ann. Oncol. 15(2):252-256 (2004).
Kawasaki, H., et al., Oncogene 22(44):6839-6844 (2003).
Yuan, H., et al., J. Virol. 77(3):2063-2070 (2003).
NCBI NP_001137448.1,NP_003381.1
ECLASS 10.1 32160702
ECLASS 11.0 32160702
UNSPSC 12352203
Alias Wee1-like protein kinase,WEE1hu,Wee1A kinase,WEE1
Similar products Wee1-like protein kinase, Wee1A kinase, WEE1, WEE1hu
Lieferbar
Manufacturer - Category
Primary Antibodies; Antibody Collections; Cell Biology; Phospho Antibodies; Anti-Kinome Antibodies
Manufacturer - Targets
This Wee1 Antibody is generated from rabbits immunized with a KLH conjugated synthetic phosphopeptide corresponding to amino acid residues surrounding S123 of human Wee1.
Bio Background
This gene encodes a nuclear protein, which is a tyrosine kinase belonging to the Ser/Thr family of protein kinases. This protein catalyzes the inhibitory tyrosine phosphorylation of CDC2/cyclin B kinase, and appears to coordinate the transition between DNA replication and mitosis by protecting the nucleus from cytoplasmically activated CDC2 kinase.
Clonality
Polyclonal
Polyclonal Antibody Additonal Information
RB07865
Gene Name
WEE1 {ECO:0000303|PubMed:8348613, ECO:0000312|HGNC:HGNC:12761}
Subtitle
Affinity Purified Rabbit Polyclonal Antibody (Pab)
Reactivity
H
Calculated Molecular Weight
71597
Antigen Source
HUMAN
Formulation
Purified polyclonal antibody supplied in PBS with 0.09% (W/V) sodium azide. This antibody is purified through a protein A column, followed by peptide affinity purification.
Dilution
IHC-P: 1:50~100
DB: 1:500
Antigen Type
Synthetic Peptide

Hinweis: Die dargestellten Informationen und Dokumente (Bedienungsanleitung, Produktdatenblatt, Sicherheitsdatenblatt und Analysezertifikat) entsprechen unserem letzten Update und sollten lediglich der Orientierung dienen. Wir übernehmen keine Garantie für die Aktualität. Für spezifische Anforderungen bitten wir Sie, uns eine Anfrage zu stellen.

Alle Produkte sind nur für Forschungszwecke bestimmt. Nicht für den menschlichen, tierärztlichen oder therapeutischen Gebrauch.

Menge: 400 ul
Lieferbar: In stock
lieferbar

Vergleichen

Auf den Wunschzettel

Angebot anfordern

Lieferzeit anfragen

Technische Frage stellen

Bulk-Anfrage stellen

Fragen zum Produkt?
 
Schließen