Vergleich

Phospho-RPS6KA1(T359) Antibody

ArtNr ABC-AP3497a
Hersteller Abcepta
Menge 400 ul
Kategorie
Typ Antibody Polyclonal
Applikationen WB, Dot
Specific against Human (Homo sapiens)
Host Rabbit
Isotype IgG
Citations Roux, P.P., et al., Proc. Natl. Acad. Sci. U.S.A. 101(37):13489-13494 (2004).
Bohuslav, J., et al., J. Biol. Chem. 279(25):26115-26125 (2004).
Hu, Y., et al., J. Biol. Chem. 279(28):29325-29335 (2004).
Fernando, R.I., et al., Mol. Biol. Cell 15(7):3266-3284 (2004).
Cavet, M.E., et al., J. Biol. Chem. 278(20):18376-18383 (2003).
NCBI NP_001006666.1,NP_002944.2
ECLASS 10.1 32160702
ECLASS 11.0 32160702
UNSPSC 12352203
Similar products RPS6KA1, RSK1, MAPKAPK1A, Ribosomal protein S6 kinase alpha-1, 90 kDa ribosomal protein S6 kinase 1, MAP kinase-activated protein kinase 1a, Ribosomal S6 kinase 1, p90-RSK 1, MAPK-activated protein kinase 1a, MAPKAPK-1a, p90RSK1, p90S6K, RSK-1, S6K-alpha-1, MAPKAP kinase 1a
Lieferbar
Manufacturer - Category
Crown Antibodies; Primary Antibodies; Antibody Collections; Signal Transduction; Phospho Antibodies; Interleukin signaling; Stress response
Manufacturer - Targets
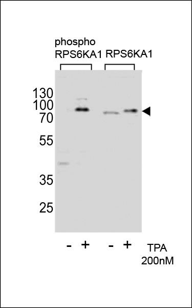
This RPS6KA1 Antibody is generated from rabbits immunized with a KLH conjugated synthetic phosphopeptide corresponding to amino acid residues surrounding T359 of human RPS6KA1.
Bio Background
RPS6KA1 is a member of the RSK (ribosomal S6 kinase) family of serine/threonine kinases. This kinase contains 2 nonidentical kinase catalytic domains and phosphorylates various substrates, including members of the mitogen-activated kinase (MAPK) signalling pathway. The activity of this protein has been implicated in controlling cell growth and differentiation.
Clonality
Polyclonal
Polyclonal Antibody Additonal Information
RB13385
Gene Name
RPS6KA1
Subtitle
Affinity Purified Rabbit Polyclonal Antibody (Pab)
Reactivity
H
Predicted Reactivity
C, X
Calculated Molecular Weight
82723
Antigen Source
HUMAN
Formulation
Purified polyclonal antibody supplied in PBS with 0.09% (W/V) sodium azide. This antibody is purified through a protein A column, followed by peptide affinity purification.
Dilution
WB: 1:2000
DB: 1:500
Antigen Type
Synthetic Peptide
Manufacturer - Alias
Ribosomal protein S6 kinase alpha-1, S6K-alpha-1, 90 kDa ribosomal protein S6 kinase 1, p90-RSK 1, p90RSK1, p90S6K, MAP kinase-activated protein kinase 1a, MAPK-activated protein kinase 1a, MAPKAP kinase 1a, MAPKAPK-1a, Ribosomal S6 kinase 1, RSK-1, RPS6KA1, MAPKAPK1A, RSK1
Manufacturer - Similar
Ribosomal protein S6 kinase alpha-1, S6K-alpha-1, 90 kDa ribosomal protein S6 kinase 1, p90-RSK 1, p90RSK1, p90S6K, MAP kinase-activated protein kinase 1a, MAPK-activated protein kinase 1a, MAPKAP kinase 1a, MAPKAPK-1a, Ribosomal S6 kinase 1, RSK-1, RPS6KA1, MAPKAPK1A, RSK1

Hinweis: Die dargestellten Informationen und Dokumente (Bedienungsanleitung, Produktdatenblatt, Sicherheitsdatenblatt und Analysezertifikat) entsprechen unserem letzten Update und sollten lediglich der Orientierung dienen. Wir übernehmen keine Garantie für die Aktualität. Für spezifische Anforderungen bitten wir Sie, uns eine Anfrage zu stellen.

Alle Produkte sind nur für Forschungszwecke bestimmt. Nicht für den menschlichen, tierärztlichen oder therapeutischen Gebrauch.

Menge: 400 ul
Lieferbar: In stock
lieferbar

Vergleichen

Auf den Wunschzettel

Angebot anfordern

Lieferzeit anfragen

Technische Frage stellen

Bulk-Anfrage stellen

Fragen zum Produkt?
 
Schließen