Vergleich

Phospho-ERBB2(Y1127) Antibody

ArtNr ABC-AP3781j
Hersteller Abcepta
Menge 400 ul
Kategorie
Typ Antibody Polyclonal
Applikationen WB, IF, Dot
Specific against Human (Homo sapiens)
Host Rabbit
Isotype IgG
Citations References for protein:
1.Geradts, J., et al. Cancer Invest. 28(9):969-977(2010)
2.Zaoui, K., et al. Proc. Natl. Acad. Sci. U.S.A. 107(43):18517-18522(2010)
3.Oliveras, G., et al. Ann. N. Y. Acad. Sci. 1210, 86-92 (2010)
4.Han, J.S., et al. Anticancer Res. 30(9):3407-3412(2010)
5.Stackievicz, R., et al. Isr. Med. Assoc. J. 12(5):290-295(2010)
References for MCF7 cell line:
1.Soule, HD; Vazquez J; Long A; Albert S; Brennan M. (1973). "A human cell line from a pleural effusion derived from a breast carcinoma". Journal of the National Cancer Institute 51 (5): 1409–1416. [PMID 4357757].
2.Levenson, AS; Jordan VC. (1997). "MCF-7: the first hormone-responsive breast cancer cell line". Cancer Research 57 (15): 3071–3078. [PMID 9242427].
3.Lacroix, M; Leclercq G. (2004). "Relevance of breast cancer cell lines as models for breast tumours: an update". Breast Research and Treatment 83 (3): 249–289.[PMID 14758095].
NCBI NP_001005862.1,NP_004439.2
ECLASS 10.1 32160702
ECLASS 11.0 32160702
UNSPSC 12352203
Alias Receptor tyrosine-protein kinase erbB-2,Metastatic lymph node gene 19 protein,MLN 19,Proto-oncogene Neu,Proto-oncogene c-ErbB-2,Tyrosine kinase-type cell surface receptor HER2,p185erbB2,CD340,ERBB2,HER2,MLN19,NEU,NGL
Similar products ERBB2, Receptor tyrosine-protein kinase erbB-2, Proto-oncogene Neu, Proto-oncogene c-ErbB-2, p185erbB2, Tyrosine kinase-type cell surface receptor HER2, MLN 19, HER2, NEU, NGL, MLN19, Metastatic lymph node gene 19 protein, CD340
Lieferbar
Manufacturer - Category
Crown Antibodies; Primary Antibodies; Antibody Collections; Cancer; Signal Transduction; Phospho Antibodies; Anti-Kinome Antibodies
Manufacturer - Targets
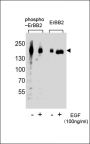
This ERBB2 Antibody is generated from rabbits immunized with a KLH conjugated synthetic phosphopeptide corresponding to amino acid residues surrounding Y1127 of human ERBB2.
Bio Background
This gene encodes a member of the epidermal growth factor(EGF) receptor family of receptor tyrosine kinases. This proteinhas no ligand binding domain of its own and therefore cannot bindgrowth factors. However, it does bind tightly to other ligand-boundEGF receptor family members to form a heterodimer, stabilizingligand binding and enhancing kinase-mediated activation ofdownstream signalling pathways, such as those involvingmitogen-activated protein kinase and phosphatidylinositol-3 kinase.Allelic variations at amino acid positions 654 and 655 of isoform a(positions 624 and 625 of isoform b) have been reported, with themost common allele, Ile654/Ile655, shown here. Amplification and/oroverexpression of this gene has been reported in numerous cancers, including breast and ovarian tumors. Alternative splicing resultsin several additional transcript variants, some encoding differentisoforms and others that have not been fully characterized.
Clonality
Polyclonal
Polyclonal Antibody Additonal Information
RB40080
Gene Name
ERBB2
Subtitle
Affinity Purified Rabbit Polyclonal Antibody (Pab)
Reactivity
H
Calculated Molecular Weight
137910
Antigen Source
HUMAN
Formulation
Purified polyclonal antibody supplied in PBS with 0.09% (W/V) sodium azide. This antibody is purified through a protein A column, followed by peptide affinity purification.
Dilution
IF: 1:100
WB: 1:5000
WB: 1:1000
DB: 1:500
Antigen Type
Synthetic Peptide

Hinweis: Die dargestellten Informationen und Dokumente (Bedienungsanleitung, Produktdatenblatt, Sicherheitsdatenblatt und Analysezertifikat) entsprechen unserem letzten Update und sollten lediglich der Orientierung dienen. Wir übernehmen keine Garantie für die Aktualität. Für spezifische Anforderungen bitten wir Sie, uns eine Anfrage zu stellen.

Alle Produkte sind nur für Forschungszwecke bestimmt. Nicht für den menschlichen, tierärztlichen oder therapeutischen Gebrauch.

Menge: 400 ul
Lieferbar: In stock
lieferbar

Vergleichen

Auf den Wunschzettel

Angebot anfordern

Lieferzeit anfragen

Technische Frage stellen

Bulk-Anfrage stellen

Fragen zum Produkt?
 
Schließen