Vergleich

HIF1A Antibody

ArtNr ABC-AP4879d
Hersteller Abcepta
Menge 400 ul
Kategorie
Typ Antibody Polyclonal
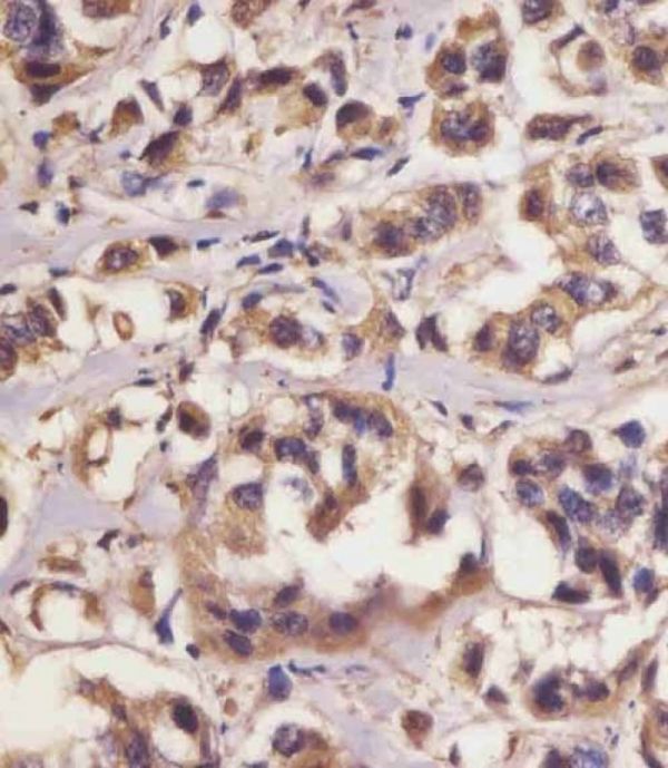
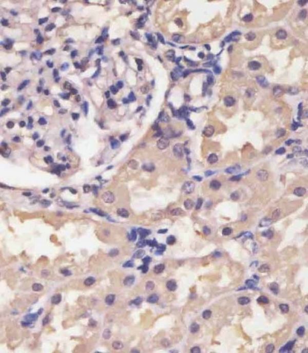
Applikationen WB, FC, IHC-P
Specific against Human (Homo sapiens)
Host Rabbit
Isotype IgG
Citations Lee, M.N., et al. J. Natl. Cancer Inst. 102(6):426-442(2010)
Mayer, A., et al. Adv. Exp. Med. Biol. 662, 399-405 (2010)
Brouwer, E., et al. Clin. Exp. Rheumatol. 27(6):945-951(2009)
NCBI NP_001230013.1,NP_001521.1,NP_851397.1
ECLASS 10.1 32160702
ECLASS 11.0 32160702
UNSPSC 12352203
Similar products HIF1A, MOP1, PASD8, bHLHe78, BHLHE78, Hypoxia-inducible factor 1-alpha, ARNT-interacting protein, Basic-helix-loop-helix-PAS protein MOP1, Class E basic helix-loop-helix protein 78, Member of PAS protein 1, PAS domain-containing protein 8, HIF-1-alpha, HIF1-alpha
Lieferbar
Manufacturer - Category
Primary Antibodies; Cancer; Cardiovascular; Metabolism; SARS-Human interaction partners
Manufacturer - Targets
This HIF1A antibody is generated from rabbits immunized with HIF1A recombinant protein.
Bio Background
Hypoxia-inducible factor-1 (HIF1) is a transcription factor found in mammalian cells cultured under reduced oxygen tension that plays an essential role in cellular and systemic homeostatic responses to hypoxia. HIF1 is a heterodimer composed of an alpha subunit and a beta subunit. The beta subunit has been identified as the aryl hydrocarbon receptor nuclear translocator (ARNT). This gene encodes the alpha subunit of HIF-1. Overexpression of a natural antisense transcript (aHIF) of this gene has been shown to be associated with nonpapillary renal carcinomas.
Clonality
Polyclonal
Polyclonal Antibody Additonal Information
RB23012
Gene Name
HIF1A {ECO:0000303|PubMed:7539918, ECO:0000312|HGNC:HGNC:4910}
Subtitle
Affinity Purified Rabbit Polyclonal Antibody (Pab)
Reactivity
H
Calculated Molecular Weight
92670
Antigen Source
HUMAN
Formulation
Purified polyclonal antibody supplied in PBS with 0.09% (W/V) sodium azide. This antibody is purified through a protein A column, followed by peptide affinity purification.
Dilution
WB: 1:1000
WB: 1:1000
IHC-P: 1:25
IHC-P: 1:25
FC: 1:10~50
Antigen Type
Recombinant Protein
Manufacturer - Alias
Hypoxia-inducible factor 1-alpha, HIF-1-alpha, HIF1-alpha, ARNT-interacting protein, Basic-helix-loop-helix-PAS protein MOP1, Class E basic helix-loop-helix protein 78, bHLHe78, Member of PAS protein 1, PAS domain-containing protein 8, HIF1A, BHLHE78, MOP1, PASD8
Manufacturer - Similar
Hypoxia-inducible factor 1-alpha, HIF-1-alpha, HIF1-alpha, ARNT-interacting protein, Basic-helix-loop-helix-PAS protein MOP1, Class E basic helix-loop-helix protein 78, bHLHe78, Member of PAS protein 1, PAS domain-containing protein 8, HIF1A, BHLHE78, MOP1, PASD8

Hinweis: Die dargestellten Informationen und Dokumente (Bedienungsanleitung, Produktdatenblatt, Sicherheitsdatenblatt und Analysezertifikat) entsprechen unserem letzten Update und sollten lediglich der Orientierung dienen. Wir übernehmen keine Garantie für die Aktualität. Für spezifische Anforderungen bitten wir Sie, uns eine Anfrage zu stellen.

Alle Produkte sind nur für Forschungszwecke bestimmt. Nicht für den menschlichen, tierärztlichen oder therapeutischen Gebrauch.

Menge: 400 ul
Lieferbar: In stock
lieferbar

Vergleichen

Auf den Wunschzettel

Angebot anfordern

Lieferzeit anfragen

Technische Frage stellen

Bulk-Anfrage stellen

Fragen zum Produkt?
 
Schließen