Vergleich

WNT5A Antibody (Center)

ArtNr ABC-AP5682c
Hersteller Abcepta
Menge 200 ul
Kategorie
Typ Antibody Polyclonal
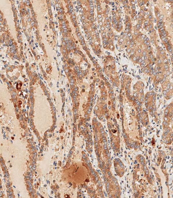
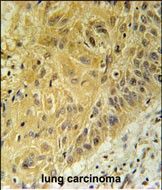
Applikationen WB, FC, IHC-P
Specific against Human (Homo sapiens), Mouse (Murine, Mus musculus), Rat (Rattus norvegicus)
Host Rabbit
Isotype IgG
Citations He, X., et al. Science 275(5306):1652-1654(1997)
Danielson, K.G., et al. J. Biol. Chem. 270(52):31225-31234(1995)
Smolich, B.D., et al. Mol. Biol. Cell 4(12):1267-1275(1993)
Clark, C.C., et al. Genomics 18(2):249-260(1993)
NCBI NP_001243034.1,NP_003383.2
ECLASS 10.1 32160702
ECLASS 11.0 32160702
UNSPSC 12352203
Alias Protein Wnt-5a,WNT5A
Similar products WNT5A, Protein Wnt-5a
Lieferbar
Manufacturer - Applications
WB, IHC-P-Leica, FC
Manufacturer - Category
Primary Antibodies; Cancer; Neuroscience; Signal Transduction; Catalog Updated; Anti-Wnt-Pathway (plus Lgr5) Antibodies
Manufacturer - Targets
This WNT5A antibody is generated from rabbits immunized with a KLH conjugated synthetic peptide between 185-213 amino acids from the Central region of human WNT5A.
Bio Background
The WNT gene family consists of structurally related geneswhich encode secreted signaling proteins. These proteins have beenimplicated in oncogenesis and in several developmental processes, including regulation of cell fate and patterning duringembryogenesis. This gene is a member of the WNT gene family. Itencodes a protein which shows 98%, 98% and 87% amino acid identityto the mouse, rat and the xenopus Wnt5A protein, respectively. Theexperiments performed in Xenopus laevis embryos identified thathuman frizzled-5 (hFz5) is the receptor for the Wnt5A ligand andthe Wnt5A/hFz5 signaling mediates axis induction. [provided byRefSeq].
Clonality
Polyclonal
Polyclonal Antibody Additonal Information
RB22340
Gene Name
WNT5A
Subtitle
Affinity Purified Rabbit Polyclonal Antibody (Pab)
Reactivity
H, M, Rat
Predicted Reactivity
Rb
Calculated Molecular Weight
42339
Antigen Source
HUMAN
Antigen Region
185-213
Formulation
Purified polyclonal antibody supplied in PBS with 0.09% (W/V) sodium azide. This antibody is purified through a protein A column, followed by peptide affinity purification.
Dilution
WB: 1:2000
WB: 1:500
IHC-P: 1:50~100
IHC-P-Leica: 1:100
FC: 1:10~50
Antigen Type
Synthetic Peptide

Hinweis: Die dargestellten Informationen und Dokumente (Bedienungsanleitung, Produktdatenblatt, Sicherheitsdatenblatt und Analysezertifikat) entsprechen unserem letzten Update und sollten lediglich der Orientierung dienen. Wir übernehmen keine Garantie für die Aktualität. Für spezifische Anforderungen bitten wir Sie, uns eine Anfrage zu stellen.

Alle Produkte sind nur für Forschungszwecke bestimmt. Nicht für den menschlichen, tierärztlichen oder therapeutischen Gebrauch.

Menge: 200 ul
Lieferbar: In stock
lieferbar

Vergleichen

Auf den Wunschzettel

Angebot anfordern

Lieferzeit anfragen

Technische Frage stellen

Bulk-Anfrage stellen

Fragen zum Produkt?
 
Schließen