Vergleich

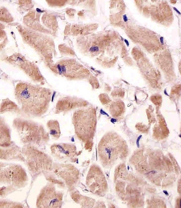
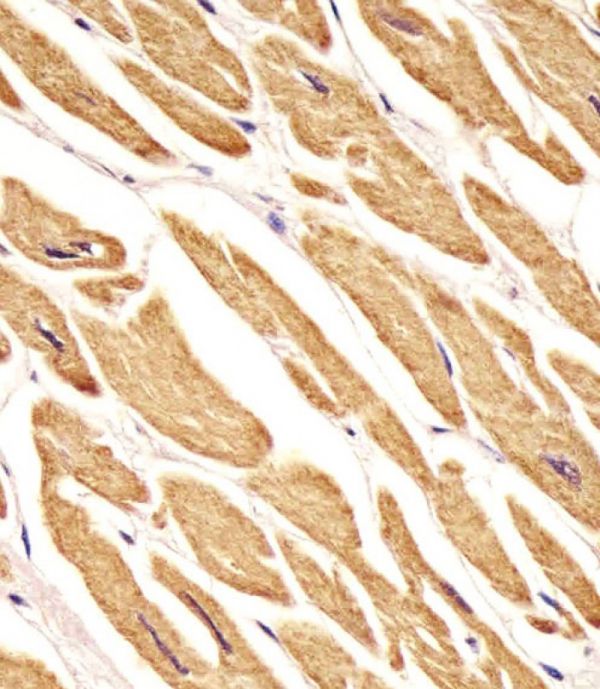
VLDLR Antibody (Center)

ArtNr ABC-AP5754c-ev
Hersteller Abcepta
Menge 80 ul
Kategorie
Typ Antibody Polyclonal
Applikationen WB, FC, IHC-P
Specific against Human (Homo sapiens)
Host Rabbit
Isotype IgG
Citations Sakai, K., et al. Brain Res. 1276, 11-21 (2009)
Francis, P.J., et al. J. Med. Genet. 46(5):300-307(2009)
Ananyeva, N.M., et al. Blood Coagul. Fibrinolysis 19(6):543-555(2008)
Turkmen, S., et al. Eur. J. Hum. Genet. 16(9):1070-1074(2008)
NCBI NP_001018066.1,NP_003374.3
ECLASS 10.1 32160702
ECLASS 11.0 32160702
UNSPSC 12352203
Alias Very low-density lipoprotein receptor,VLDL receptor,VLDL-R,VLDLR
Similar products VLDLR, Very low-density lipoprotein receptor, VLDL receptor, VLDL-R
Lieferbar
Manufacturer - Category
Primary Antibodies; Cancer; Cardiovascular; Metabolism; Neuroscience; Signal Transduction
Manufacturer - Targets
This VLDLR antibody is generated from rabbits immunized with a KLH conjugated synthetic peptide between 484-510 amino acids from the Central region of human VLDLR.
Bio Background
The low density lipoprotein receptor (LDLR) gene familyconsists of cell surface proteins involved in receptor-mediatedendocytosis of specific ligands. This gene encodes a lipoproteinreceptor that is a member of the LDLR family and plays importantroles in VLDL-triglyceride metabolism and the reelin signalingpathway. Mutations in this gene cause VLDLR-associated cerebellarhypoplasia. Alternative splicing generates multiple transcriptvariants encoding distinct isoforms for this gene. [provided byRefSeq].
Clonality
Polyclonal
Polyclonal Antibody Additonal Information
RB21297
Gene Name
VLDLR
Subtitle
Affinity Purified Rabbit Polyclonal Antibody (Pab)
Reactivity
H
Predicted Reactivity
Rb
Calculated Molecular Weight
96098
Antigen Source
HUMAN
Antigen Region
484-510
Formulation
Purified polyclonal antibody supplied in PBS with 0.09% (W/V) sodium azide. This antibody is purified through a protein A column, followed by peptide affinity purification.
Dilution
WB: 1:2000
WB: 1:2000
IHC-P: 1:10~50
IHC-P: 1:25
IHC-P: 1:25
Antigen Type
Synthetic Peptide

Hinweis: Die dargestellten Informationen und Dokumente (Bedienungsanleitung, Produktdatenblatt, Sicherheitsdatenblatt und Analysezertifikat) entsprechen unserem letzten Update und sollten lediglich der Orientierung dienen. Wir übernehmen keine Garantie für die Aktualität. Für spezifische Anforderungen bitten wir Sie, uns eine Anfrage zu stellen.

Alle Produkte sind nur für Forschungszwecke bestimmt. Nicht für den menschlichen, tierärztlichen oder therapeutischen Gebrauch.

Menge: 80 ul
Lieferbar: In stock
lieferbar

Vergleichen

Auf den Wunschzettel

Angebot anfordern

Lieferzeit anfragen

Technische Frage stellen

Bulk-Anfrage stellen

Fragen zum Produkt?
 
Schließen