Vergleich

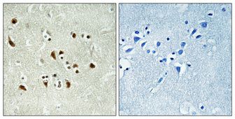
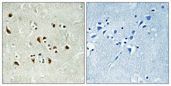
GCP6 Polyclonal Antibody

ArtNr ABC-AP70065
Hersteller Abcepta
Menge 100 ul
Kategorie
Typ Antibody Primary
Applikationen WB, IHC-P
Specific against other
Host Rabbit
ECLASS 10.1 32160702
ECLASS 11.0 32160702
UNSPSC 12352203
Similar products GCP6, TUBGCP6, Gamma-tubulin complex component 6, GCP-6, KIAA1669
Lieferbar
Manufacturer - Type
synthetic peptide
Bio Background
Gamma-tubulin complex is necessary for microtubule nucleation at the centrosome.
Clonality
Polyclonal
Gene Name
TUBGCP6
Reactivity
H

Hinweis: Die dargestellten Informationen und Dokumente (Bedienungsanleitung, Produktdatenblatt, Sicherheitsdatenblatt und Analysezertifikat) entsprechen unserem letzten Update und sollten lediglich der Orientierung dienen. Wir übernehmen keine Garantie für die Aktualität. Für spezifische Anforderungen bitten wir Sie, uns eine Anfrage zu stellen.

Alle Produkte sind nur für Forschungszwecke bestimmt. Nicht für den menschlichen, tierärztlichen oder therapeutischen Gebrauch.

Menge: 100 ul
Lieferbar: In stock
lieferbar

Vergleichen

Auf den Wunschzettel

Angebot anfordern

Lieferzeit anfragen

Technische Frage stellen

Bulk-Anfrage stellen

Fragen zum Produkt?
 
Schließen