Vergleich

CAMK2G (CAMK2 gamma) Antibody (C-term)

ArtNr ABC-AP7208a
Hersteller Abcepta
Menge 400 ul
Kategorie
Typ Antibody Polyclonal
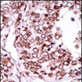
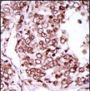
Applikationen WB, IHC-P
Specific against Human (Homo sapiens), Mouse (Murine, Mus musculus)
Host Rabbit
Isotype IgG
Citations Breen, M.A., et al., Biochem. Biophys. Res. Commun. 236(2):473-478 (1997). Tombes, R.M., et al., Biochim. Biophys. Acta 1355(3):281-292 (1997).
NCBI NP_001213.2,NP_751909.1,NP_751913.1
ECLASS 10.1 32160702
ECLASS 11.0 32160702
UNSPSC 12352203
Alias Calcium/calmodulin-dependent protein kinase type II subunit gamma,CaM kinase II subunit gamma,CaMK-II subunit gamma,CAMK2G,CAMK,CAMK-II,CAMKG
Similar products CAMK, CAMK2G, CAMK-II, CAMKG, Calcium/calmodulin-dependent protein kinase type II subunit gamma, CaM kinase II subunit gamma, CaMK-II subunit gamma
Lieferbar
Manufacturer - Category
Primary Antibodies; Antibody Collections; Cancer; Cardiovascular; Neuroscience; Signal Transduction; Catalog Updated; Anti-Wnt-Pathway (plus Lgr5) Antibodies; Inflammation mediated by chemokine and cytokine signaling
Manufacturer - Targets
This CAMK2G (CAMK2 gamma) antibody is generated from rabbits immunized with a KLH conjugated synthetic peptide between 309-338 amino acids from the C-terminal region of human CAMK2G (CAMK2 gamma).
Bio Background
CaM-kinase II (CAMK2) is a prominent Ser/Thr protein kinase in the central nervous system that may function in long-term potentiation and neurotransmitter release. Likely autophosphorylation of Thr-286 allows the kinase to switch from a calmodulin-dependent to a calmodulin-independent state. CAMK2 is composed of four different chains: alpha, beta, gamma, and delta. The different isoforms assemble into homo- or heteromultimeric holoenzymes composed of 8 to 12 subunits.
Clonality
Polyclonal
Polyclonal Antibody Additonal Information
RB1246
Gene Name
CAMK2G
Subtitle
Purified Rabbit Polyclonal Antibody (Pab)
Reactivity
H, M
Calculated Molecular Weight
62607
Antigen Source
HUMAN
Antigen Region
309-338
Formulation
Purified polyclonal antibody supplied in PBS with 0.09% (W/V) sodium azide. This antibody is prepared by Saturated Ammonium Sulfate (SAS) precipitation followed by dialysis against PBS.
Dilution
WB: 1:1000
WB: 1:500-1000
WB: 1:500
WB: 1:2000
IHC-P: 1:50~100
Antigen Type
Synthetic Peptide

Hinweis: Die dargestellten Informationen und Dokumente (Bedienungsanleitung, Produktdatenblatt, Sicherheitsdatenblatt und Analysezertifikat) entsprechen unserem letzten Update und sollten lediglich der Orientierung dienen. Wir übernehmen keine Garantie für die Aktualität. Für spezifische Anforderungen bitten wir Sie, uns eine Anfrage zu stellen.

Alle Produkte sind nur für Forschungszwecke bestimmt. Nicht für den menschlichen, tierärztlichen oder therapeutischen Gebrauch.

Menge: 400 ul
Lieferbar: In stock
lieferbar

Vergleichen

Auf den Wunschzettel

Angebot anfordern

Lieferzeit anfragen

Technische Frage stellen

Bulk-Anfrage stellen

Fragen zum Produkt?
 
Schließen