Vergleich

COT (MAP3K8/MEKK8) Antibody (C-term)

ArtNr ABC-AP7913a
Hersteller Abcepta
Menge 400 ul
Kategorie
Typ Antibody Polyclonal
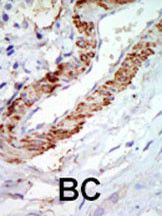
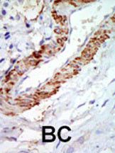
Applikationen WB, IHC-P
Specific against Human (Homo sapiens)
Host Rabbit
Isotype IgG
Citations Sanchez-Gongora, E., et al., J. Biol. Chem. 275(40):31379-31386 (2000).
Aoki, M., et al., J. Biol. Chem. 268(30):22723-22732 (1993).
Chan, A.M., et al., Oncogene 8(5):1329-1333 (1993).
Miyoshi, J., et al., Mol. Cell. Biol. 11(8):4088-4096 (1991).
Aoki, M., et al., Oncogene 6(9):1515-1519 (1991).
NCBI NP_001231063.1,NP_005195.2
ECLASS 10.1 32160702
ECLASS 11.0 32160702
UNSPSC 12352203
Alias Mitogen-activated protein kinase kinase kinase 8,Cancer Osaka thyroid oncogene,Proto-oncogene c-Cot,Serine/threonine-protein kinase cot,Tumor progression locus 2,TPL-2,MAP3K8,COT,ESTF
Similar products MAP3K8, COT, ESTF, Mitogen-activated protein kinase kinase kinase 8, Cancer Osaka thyroid oncogene, Proto-oncogene c-Cot, Serine/threonine-protein kinase cot, Tumor progression locus 2, TPL-2
Lieferbar
Manufacturer - Category
Primary Antibodies; Cancer; Signal Transduction; Immunity; Toll receptor signaling; Toll-Like receptor signaling; T cell receptor signaling
Manufacturer - Targets
This COT (MAP3K8/MEKK8) antibody is generated from rabbits immunized with a KLH conjugated synthetic peptide between 414-445 amino acids from the C-terminal region of human COT (MAP3K8/MEKK8).
Bio Background
Mitogen-activated protein kinase (MAPK) signaling cascades include MAPK or extracellular signal-regulated kinase (ERK), MAPK kinase (MKK or MEK), and MAPK kinase kinase (MAPKKK or MEKK). MAPKK kinase/MEKK phosphorylates and activates its downstream protein kinase, MAPK kinase/MEK, which in turn activates MAPK. The kinases of these signaling cascades are highly conserved, and homologs exist in yeast, Drosophila, and mammalian cells. MEKK8 is able to activate NF-kappa-B 1 by stimulating proteasome-mediated proteolysis of NF-kappa-B 1/p15. The protein appears to play an important role in the cell cycle. This cytoplasmic protein is expressed in several normal tissues and human tumor-derived cell lines. The 58 kDa form is activated specifically during the S and G2/M phases of the cell cycle. The longer form undergoes phosphorylation on Ser residues mainly, and the shorter form on both Ser and Thr residues.
Clonality
Polyclonal
Polyclonal Antibody Additonal Information
RB0947; RB0948
Gene Name
MAP3K8
Subtitle
Purified Rabbit Polyclonal Antibody (Pab)
Reactivity
H
Calculated Molecular Weight
52925
Antigen Source
HUMAN
Antigen Region
414-445
Formulation
Purified polyclonal antibody supplied in PBS with 0.09% (W/V) sodium azide. This antibody is prepared by Saturated Ammonium Sulfate (SAS) precipitation followed by dialysis against PBS.
Dilution
WB: 1:1000
IHC-P: 1:50~100
IHC-P: 1:50~100
Antigen Type
Synthetic Peptide

Hinweis: Die dargestellten Informationen und Dokumente (Bedienungsanleitung, Produktdatenblatt, Sicherheitsdatenblatt und Analysezertifikat) entsprechen unserem letzten Update und sollten lediglich der Orientierung dienen. Wir übernehmen keine Garantie für die Aktualität. Für spezifische Anforderungen bitten wir Sie, uns eine Anfrage zu stellen.

Alle Produkte sind nur für Forschungszwecke bestimmt. Nicht für den menschlichen, tierärztlichen oder therapeutischen Gebrauch.

Menge: 400 ul
Lieferbar: In stock
lieferbar

Vergleichen

Auf den Wunschzettel

Angebot anfordern

Lieferzeit anfragen

Technische Frage stellen

Bulk-Anfrage stellen

Fragen zum Produkt?
 
Schließen