Vergleich

IL10 Antibody (Center)

ArtNr ABC-AP9112C-ev
Hersteller Abcepta
Menge 80 ul
Kategorie
Typ Antibody Polyclonal
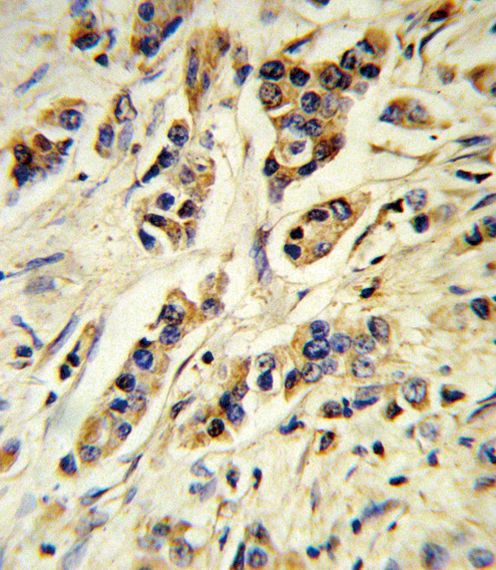
Applikationen WB, FC, IHC-P
Specific against Human (Homo sapiens)
Host Rabbit
Isotype IgG
Citations Trajkov,D., et.al., Indian J Tuberc 56 (3), 117-131 (2009)
Kim,J.M., et.al., J. Immunol. 148 (11), 3618-3623 (1992)
NCBI NP_000563.1
ECLASS 10.1 32160702
ECLASS 11.0 32160702
UNSPSC 12352203
Alias Interleukin-10,IL-10,Cytokine synthesis inhibitory factor,CSIF,IL10
Similar products IL-10, IL10, Interleukin-10, Cytokine synthesis inhibitory factor, CSIF
Lieferbar
Manufacturer - Category
Primary Antibodies; Cancer; Immunology; Signal Transduction; T cell receptor signaling; Cytokine; Jak-STAT signaling KEGG; Allograft rejection; Intestinal immune network for IgA production
Manufacturer - Targets
This IL10 antibody is generated from rabbits immunized with a KLH conjugated synthetic peptide between 27-53 amino acids from the Central region of human IL10.
Bio Background
The protein is a cytokine produced primarily by monocytes and to a lesser extent by lymphocytes. This cytokine has pleiotropic effects in immunoregulation and inflammation. It down-regulates the expression of Th1 cytokines, MHC class II Ags, and costimulatory molecules on macrophages. It also enhances B cell survival, proliferation, and antibody production. This cytokine can block NF-kappa B activity, and is involved in the regulation of the JAK-STAT signaling pathway. Knockout studies in mice suggested the function of this cytokine as an essential immunoregulator in the intestinal tract.
Clonality
Polyclonal
Polyclonal Antibody Additonal Information
RB21234
Gene Name
IL10
Subtitle
Affinity Purified Rabbit Polyclonal Antibody (Pab)
Reactivity
H
Predicted Reactivity
EBV, Pr
Calculated Molecular Weight
20517
Antigen Source
HUMAN
Antigen Region
27-53
Formulation
Purified polyclonal antibody supplied in PBS with 0.09% (W/V) sodium azide. This antibody is purified through a protein A column, followed by peptide affinity purification.
Dilution
WB: 1:1000
IHC-P: 1:10~50
FC: 1:10~50
Antigen Type
Synthetic Peptide

Hinweis: Die dargestellten Informationen und Dokumente (Bedienungsanleitung, Produktdatenblatt, Sicherheitsdatenblatt und Analysezertifikat) entsprechen unserem letzten Update und sollten lediglich der Orientierung dienen. Wir übernehmen keine Garantie für die Aktualität. Für spezifische Anforderungen bitten wir Sie, uns eine Anfrage zu stellen.

Alle Produkte sind nur für Forschungszwecke bestimmt. Nicht für den menschlichen, tierärztlichen oder therapeutischen Gebrauch.

Menge: 80 ul
Lieferbar: In stock
lieferbar

Vergleichen

Auf den Wunschzettel

Angebot anfordern

Lieferzeit anfragen

Technische Frage stellen

Bulk-Anfrage stellen

Fragen zum Produkt?
 
Schließen