Vergleich

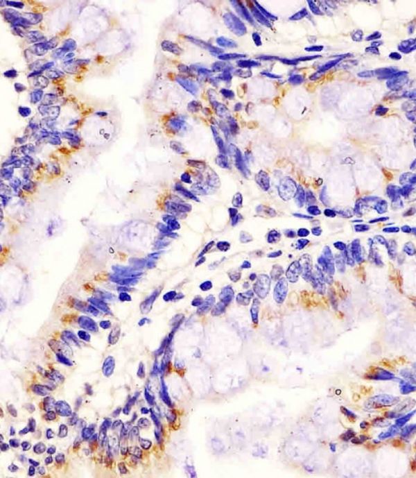
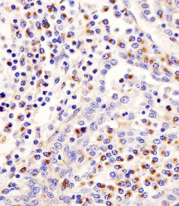
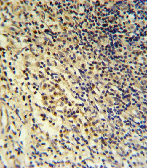
PLA2G7 Antibody (Center)

ArtNr ABC-AP9819C-ev
Hersteller Abcepta
Menge 80 ul
Kategorie
Typ Antibody Polyclonal
Applikationen WB, FC, IHC-P
Specific against Human (Homo sapiens)
Host Rabbit
Isotype IgG
Citations Fan, P., et al. Hum. Reprod. 25(5):1288-1294(2010)
Paik, J.K., et al. Clin. Chim. Acta 411 (7-8), 486-493 (2010)
Meng, X., et al. Psychiatry Res 175 (1-2), 186-187 (2010)
McGeachie, M., et al. Circulation 120(24):2448-2454(2009)
Cojocaru, I.M., et al. Rom J Intern Med 47(1):61-65(2009)
NCBI NP_001161829.1,NP_005075.3
ECLASS 10.1 32160702
ECLASS 11.0 32160702
UNSPSC 12352203
Similar products PLA2G7, Platelet-activating factor acetylhydrolase, PAFAH, 1-alkyl-2-acetylglycerophosphocholine esterase, 2-acetyl-1-alkylglycerophosphocholine esterase, PAF 2-acylhydrolase, PAF acetylhydrolase, Group-VIIA phospholipase A2, gVIIA-PLA2, LDL-associated phospholipase A2, LDL-PLA(2)
Lieferbar
Manufacturer - Category
Primary Antibodies; Cardiovascular; Immunology
Manufacturer - Targets
This PLA2G7 antibody is generated from rabbits immunized with a KLH conjugated synthetic peptide between 200-228 amino acids from the Central region of human PLA2G7.
Bio Background
The protein encoded by this gene is a secreted enzyme that catalyzes the degradation of platelet-activating factor to biologically inactive products. Defects in this gene are a cause of platelet-activating factor acetylhydrolase deficiency.
Clonality
Polyclonal
Polyclonal Antibody Additonal Information
RB21322
Gene Name
PLA2G7
Subtitle
Affinity Purified Rabbit Polyclonal Antibody (Pab)
Reactivity
H
Calculated Molecular Weight
50077
Antigen Source
HUMAN
Antigen Region
200-228
Formulation
Purified polyclonal antibody supplied in PBS with 0.09% (W/V) sodium azide. This antibody is purified through a protein A column, followed by peptide affinity purification.
Dilution
WB: 1:1000
WB: 1:2000
IHC-P: 1:10~50
IHC-P: 1:25
IHC-P: 1:25
Antigen Type
Synthetic Peptide
Manufacturer - Alias
Platelet-activating factor acetylhydrolase, PAF acetylhydrolase, 1-alkyl-2-acetylglycerophosphocholine esterase, 2-acetyl-1-alkylglycerophosphocholine esterase, Group-VIIA phospholipase A2, gVIIA-PLA2, LDL-associated phospholipase A2, LDL-PLA(2), PAF 2-acylhydrolase, PLA2G7, PAFAH
Manufacturer - Similar
Platelet-activating factor acetylhydrolase, PAF acetylhydrolase, 1-alkyl-2-acetylglycerophosphocholine esterase, 2-acetyl-1-alkylglycerophosphocholine esterase, Group-VIIA phospholipase A2, gVIIA-PLA2, LDL-associated phospholipase A2, LDL-PLA(2), PAF 2-acylhydrolase, PLA2G7, PAFAH

Hinweis: Die dargestellten Informationen und Dokumente (Bedienungsanleitung, Produktdatenblatt, Sicherheitsdatenblatt und Analysezertifikat) entsprechen unserem letzten Update und sollten lediglich der Orientierung dienen. Wir übernehmen keine Garantie für die Aktualität. Für spezifische Anforderungen bitten wir Sie, uns eine Anfrage zu stellen.

Alle Produkte sind nur für Forschungszwecke bestimmt. Nicht für den menschlichen, tierärztlichen oder therapeutischen Gebrauch.

Menge: 80 ul
Lieferbar: In stock
lieferbar

Vergleichen

Auf den Wunschzettel

Angebot anfordern

Lieferzeit anfragen

Technische Frage stellen

Bulk-Anfrage stellen

Fragen zum Produkt?
 
Schließen