Vergleich

Bnip3L Antibody

ArtNr ABC-ASC10111
Hersteller Abcepta
Menge 100 ug
Kategorie
Typ Antibody Primary
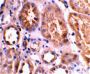
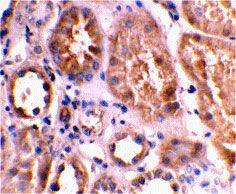
Applikationen WB, IF, ELISA, IHC-P
Specific against Human (Homo sapiens)
Host Rabbit
Isotype IgG
Citations Matsushima M, Fujiwara T, Takahashi E, et al. Isolation, mapping, and functional analysis of a novel human cDNA (BNIP3L) encoding a protein homologous to human NIP3. Genes Chromosomes Cancer 1998; 21:230-5
Yasuda M, Han JW, Dionne CA, et al. BNIP3α: a human homolog of mitochondrial proapoptotic protein BNIP3. Cancer Res. 1999; 59:533-7
Chen G, Cizeau J, Vande Velde C, et al. Nix and Nip3 form a subfamily of pro-apoptotic mitochondrial proteins. J. Biol. Chem. 1999; 274:7-10.
Imazu T, Shimizu S, Tagami S, et al. Bcl-2/E1B 19 kDa-interacting protein 3-like protein (Bnip3L) interacts with bcl-2/Bcl-xL and induces apoptosis by altering mitochondrial membrane permeability. Oncogene 1999;18:4523-9.
ECLASS 10.1 32160702
ECLASS 11.0 32160702
UNSPSC 12352203
Alias Bnip3L Antibody: NIX,BNIP3a,BNIP3A,BNIP3H,NIX,Adenovirus E1B19K-binding protein B5,NIP3L,BCL2/adenovirus E1B 19kDa interacting protein 3-like
Similar products BNIP3A, BNIP3H, NIX, Adenovirus E1B19K-binding protein B5, BNIP3a, NIP3L, Bnip3L Antibody: NIX, BCL2/adenovirus E1B 19kDa interacting protein 3-like
Lieferbar
Manufacturer - Category
Primary Antibodies; Cancer; Cardiovascular; Cell Biology; Metabolism; Host-virus interaction; Mitochondrion; Mitochondrion outer membrane
Manufacturer - Targets
BNIP3L; At least two isoforms of Bnip3L are known to exist.
Storage Conditions
Bnip3L antibody can be stored at 4? for three months and -20?, stable for up to one year. As with all antibodies care should be taken to avoid repeated freeze thaw cycles. Antibodies should not be exposed to prolonged high temperatures.
Bio Background
Bnip3L Antibody: Members in the Bcl-2 family are critical regulators of apoptosis by either inhibiting or promoting cell death. Bcl-2 homology 3 (BH3) domain is a potent death domain. BH3 domain containing pro-apoptotic proteins, including Bad, Bax, Bid, Bik, Hrk, Nip3, and Bim, form a growing subclass of the Bcl-2 family. A novel BH3 domain containing protein was recently identified and designated Bnip3L, Bnip3alpha, and Nix (for Nip3-like protein X). Bnip3L/Bnip3alpha/Nix is a homolog of the E1B 19K/Bcl-2 binding and pro-apoptotic protein Bnip3. Overexpression of Bnip3L induces apoptosis. Bnip3L interacts with and overcomes suppresses by Bcl-2 and Bcl-xL. Bnip3L is localized in mitochondria. The messenger RNA of Bnip3L is ubiquitously expressed in human tissues. Bnip3L and Bnip3 form a new subfamily of the pro-apoptotic mitochondrial proteins.
Clonality
Polyclonal
Gene Name
BNIP3L
Reactivity
H
Calculated Molecular Weight
23930
Antigen Source
Homo sapiens
Purification
Bnip3L Antibody is affinity chromatography purified via peptide column.
Antibody Form
Liquid
Application Notes
Bnip3L antibody can be used for detection of Bnip3L by Western blot at 1 µg/mL. Antibody can also be used for immunohistochemistry starting at 2 µg/mL. For immunofluorescence start at 10 µg/mL.
Positive Control
K562 Cell Lysate; Human Kidney Tissue Lysate
Buffer
Bnip3L Antibody is supplied in PBS containing 0.02% sodium azide.

Hinweis: Die dargestellten Informationen und Dokumente (Bedienungsanleitung, Produktdatenblatt, Sicherheitsdatenblatt und Analysezertifikat) entsprechen unserem letzten Update und sollten lediglich der Orientierung dienen. Wir übernehmen keine Garantie für die Aktualität. Für spezifische Anforderungen bitten wir Sie, uns eine Anfrage zu stellen.

Alle Produkte sind nur für Forschungszwecke bestimmt. Nicht für den menschlichen, tierärztlichen oder therapeutischen Gebrauch.

Menge: 100 ug
Lieferbar: In stock
lieferbar

Vergleichen

Auf den Wunschzettel

Angebot anfordern

Lieferzeit anfragen

Technische Frage stellen

Bulk-Anfrage stellen

Fragen zum Produkt?
 
Schließen