Vergleich

RP105 Antibody

ArtNr ABC-ASC10429
Hersteller Abcepta
Menge 100 ug
Kategorie
Typ Antibody Primary
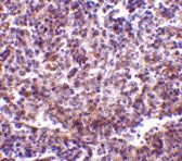
Applikationen WB, IF, ELISA, IHC-P
Specific against Human (Homo sapiens)
Host Rabbit
Isotype IgG
Citations Takeda K, Kaisho T, and Akira S. Toll-like receptors. Annu. Rev. Immunol. 2003; 21:335-76.
Janeway CA Jr. and Medzhitov R. Innate immune recognition. Annu. Rev. Immunol. 2002; 20:197-216.
Divanovic S, Trompette A, Atabani SF, et al. Inhibition of TLR-4/MD-2 signaling by RP105/MD-1. J. Endotoxin Res. 2005; 11:363-8.
Nagai Y, Kobayashi T, Motoi Y, et al. The radioprotective 105/MD-1 complex links TLR2 and TLR4/MD-2 in antibody response to microbial membranes. J. Immunol. 2005; 174:7043-9.
ECLASS 10.1 32160702
ECLASS 11.0 32160702
UNSPSC 12352203
Alias RP105 Antibody: LY64,Ly78,RP105,LY64,CD180 antigen,Lymphocyte antigen 64,CD180 molecule
Similar products RP105, LY64, Ly78, CD180 antigen, RP105 Antibody: LY64, Lymphocyte antigen 64, CD180 molecule
Lieferbar
Manufacturer - Category
Primary Antibodies; Immunology; Microbiology
Manufacturer - Targets
CD180;
Storage Conditions
RP105 antibody can be stored at 4? for three months and -20?, stable for up to one year. As with all antibodies care should be taken to avoid repeated freeze thaw cycles. Antibodies should not be exposed to prolonged high temperatures.
Bio Background
RP105 Antibody: Toll-like receptors (TLRs) are evolutionarily conserved pattern-recognition molecules resembling the toll proteins that mediate antimicrobial responses in Drosophila. These proteins recognize different microbial products during infection and serve as an important link between the innate and adaptive immune responses. The signaling of these TLRs is kept under tight control by the expression of endogenous inhibiting proteins. One such protein is RP105, a recently identified homolog to TLR4 that, with MD-1, interacts with and inhibits the TLR4/MD-2 signaling pathway. It has also been suggested that the RP105/MD-1 complex influences antibody production mediated by both TLR4/MD-2 and TLR2 receptor complexes.
Clonality
Polyclonal
Gene Name
CD180
Reactivity
H
Calculated Molecular Weight
74179
Antigen Source
Homo sapiens
Purification
RP105 Antibody is affinity chromatography purified via peptide column.
Antibody Form
Liquid
Application Notes
RP105 antibody can be used for the detection of RP105 by Western blot at 0.5 - 1 µg/mL. Despite its predicted molecular weight, RP105 often migrates at 95 - 105 kDa. Antibody can also be used for immunohistochemistry starting at 2 µg/mL. For immunofluorescence start at 20 µg/mL.
Positive Control
Human Spleen Tissue Lysate
Buffer
RP105 Antibody is supplied in PBS containing 0.02% sodium azide.

Hinweis: Die dargestellten Informationen und Dokumente (Bedienungsanleitung, Produktdatenblatt, Sicherheitsdatenblatt und Analysezertifikat) entsprechen unserem letzten Update und sollten lediglich der Orientierung dienen. Wir übernehmen keine Garantie für die Aktualität. Für spezifische Anforderungen bitten wir Sie, uns eine Anfrage zu stellen.

Alle Produkte sind nur für Forschungszwecke bestimmt. Nicht für den menschlichen, tierärztlichen oder therapeutischen Gebrauch.

Menge: 100 ug
Lieferbar: In stock
lieferbar

Vergleichen

Auf den Wunschzettel

Angebot anfordern

Lieferzeit anfragen

Technische Frage stellen

Bulk-Anfrage stellen

Fragen zum Produkt?
 
Schließen