Vergleich

ATG12 Antibody

ArtNr ABC-ASC10624
Hersteller Abcepta
Menge 100 ug
Kategorie
Typ Antibody Primary
Applikationen WB, IF, ELISA, IHC-P
Specific against Human (Homo sapiens), Mouse (Murine, Mus musculus), Rat (Rattus norvegicus)
Host Rabbit
Isotype IgG
Citations Gozuacik D and Kimchi A. Autophagy as a cell death and tumor suppressor mechanism. Oncogene2004; 23:2891-906.
Kisen GO, Tessitore L, Costelli P, et al. Reduced autophagic activity in primary rat hepatocellular carcinoma and ascites hepatoma cells. Carcinogenesis1993; 14:2501-5.
Kamada Y, Funakoshi T, Shintani T, et al. Tor-mediated induction of autophagy via Apg1 protein kinase complex. J. Cell. Biol.2000; 150:1507-13.
Hanada T, Noda NN, Satomi Y, et al. The Atg12-Atg5 conjugate has a novel E3-like activity for protein lipidation in autophagy. J. Biol. Chem.2007; 282:37298-302.
ECLASS 10.1 32160702
ECLASS 11.0 32160702
UNSPSC 12352203
Lieferbar
Manufacturer - Applications
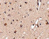
ATG12 antibody can be used for the detection of ATG10 by Western blot at 0.5 - 1 µg/mL. Antibody can also be used for immunohistochemistry starting at 2.5 µg/mL. For immunofluorescence start at 20 µg/mL.
Manufacturer - Category
Primary Antibodies; Cancer; Cardiovascular; Cell Biology; Metabolism; Immunity; Innate immunity; RIG-l-like Receptor; Autophagy; Regulation of autophagy
Manufacturer - Targets
ATG12;
Storage Conditions
ATG12 antibody can be stored at 4? for three months and -20?, stable for up to one year. As with all antibodies care should be taken to avoid repeated freeze thaw cycles. Antibodies should not be exposed to prolonged high temperatures.
Bio Background
ATG12 Antibody: Autophagy, the process of bulk degradation of cellular proteins through an autophagosomic-lysosomal pathway is important for normal growth control and may be defective in tumor cells. It is involved in the preservation of cellular nutrients under starvation conditions as well as the normal turnover of cytosolic components. This process is negatively regulated by TOR (Target of rapamycin) through phosphorylation of autophagy protein APG1. ATG12, another member of the autophagy protein family, forms a conjugate with ATG5; this conjugate has a ubiquitin-protein ligase (E3)-like activity for protein lipidation in autophagy. This conjugate also associates with innate immune response proteins such as RIG-I and VISA (also known as IPS-1), inhibiting type I interferon production and permitting viral replication in host cells. ATG12 has also been shown to interact with ATG10 in human embryonic kidney cells in the presence of ATG7. At least two isoforms of ATG12 are known to exist.
Clonality
Polyclonal
Gene Name
ATG12
Reactivity
H, M, Rat
Calculated Molecular Weight
15113
Antigen Source
Homo sapiens
Purification
ATG12 Antibody is affinity chromatography purified via peptide column.
Antibody Form
Liquid
Application Notes
ATG12 antibody can be used for the detection of ATG10 by Western blot at 0.5 - 1 µg/mL. Antibody can also be used for immunohistochemistry starting at 2.5 µg/mL. For immunofluorescence start at 20 µg/mL.
Positive Control
Human Brain Tissue Lysate
Buffer
ATG12 Antibody is supplied in PBS containing 0.02% sodium azide.

Hinweis: Die dargestellten Informationen und Dokumente (Bedienungsanleitung, Produktdatenblatt, Sicherheitsdatenblatt und Analysezertifikat) entsprechen unserem letzten Update und sollten lediglich der Orientierung dienen. Wir übernehmen keine Garantie für die Aktualität. Für spezifische Anforderungen bitten wir Sie, uns eine Anfrage zu stellen.

Alle Produkte sind nur für Forschungszwecke bestimmt. Nicht für den menschlichen, tierärztlichen oder therapeutischen Gebrauch.

Menge: 100 ug
Lieferbar: In stock
lieferbar

Vergleichen

Auf den Wunschzettel

Angebot anfordern

Lieferzeit anfragen

Technische Frage stellen

Bulk-Anfrage stellen

Fragen zum Produkt?
 
Schließen