Vergleich

ACTA1/α-actin Antibody (C-term)

ArtNr ABC-AW5098-U100
Hersteller Abcepta
Menge 100 ul
Kategorie
Typ Antibody Primary
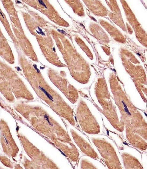
Applikationen WB, IHC
Specific against Human (Homo sapiens), Rat (Rattus norvegicus)
Host Rabbit
Isotype IgG
Citations Kim, E.Y., et al. Am. J. Physiol. Renal Physiol. 299 (3), F594-F604 (2010) : Haigh, S.E., et al. Neuromuscul. Disord. 20(6):363-374(2010) Yu, G., et al. J Clin Neurosci 17(6):766-769(2010) Yu, C.H., et al. PLoS ONE 5 (7), E11878 (2010) : Licastro, F., et al. Curr. Pharm. Des. 16(7):783-788(2010)
NCBI NP_001091.1
ECLASS 10.1 32160702
ECLASS 11.0 32160702
UNSPSC 12352203
Alias ACTA1,ACTA,Actin,alpha skeletal muscle,Alpha-actin-1
Similar products Actin, ACTA1, ACTA, alpha skeletal muscle, Alpha-actin-1
Lieferbar
Manufacturer - Category
Primary Antibodies; Stem Cells; Anti-Wnt-Pathway (plus Lgr5) Antibodies; Inflammation mediated by chemokine and cytokine signaling
Manufacturer - Targets
This ACTA1/Alpha-actin antibody is generated from rabbits immunized with a KLH conjugated synthetic peptide between 189-217 amino acids from the C-terminal region of human ACTA1/Alpha-actin.
Bio Background
The product encoded by this gene belongs to the actin family of proteins, which are highly conserved proteins that play a role in cell motility, structure and integrity. Alpha, beta and gamma actin isoforms have been identified, with alpha actins being a major constituent of the contractile apparatus, while beta and gamma actins are involved in the regulation of cell motility. This actin is an alpha actin that is found in skeletal muscle. Mutations in this gene cause nemaline myopathy type 3, congenital myopathy with excess of thin myofilaments, congenital myopathy with cores, and congenital myopathy with fiber-type disproportion, diseases that lead to muscle fiber defects.
Clonality
Polyclonal
Gene Name
ACTA1
Subtitle
Affinity Purified Rabbit Polyclonal Antibody (Pab)
Reactivity
H, Rat
Predicted Reactivity
E, Dr, X, C, B, M, Rb, Zf, Ha, Hs, Pr, Pig, Sh, Y
Calculated Molecular Weight
42051
Antigen Source
HUMAN
Antigen Region
189-217
Formulation
Purified polyclonal antibody supplied in PBS with 0.09% (W/V) sodium azide. This antibody is purified through a protein A column, followed by peptide affinity purification.
Dilution
WB: 1:1000
IHC: 1:25
Antigen Type
Synthetic Peptide

Hinweis: Die dargestellten Informationen und Dokumente (Bedienungsanleitung, Produktdatenblatt, Sicherheitsdatenblatt und Analysezertifikat) entsprechen unserem letzten Update und sollten lediglich der Orientierung dienen. Wir übernehmen keine Garantie für die Aktualität. Für spezifische Anforderungen bitten wir Sie, uns eine Anfrage zu stellen.

Alle Produkte sind nur für Forschungszwecke bestimmt. Nicht für den menschlichen, tierärztlichen oder therapeutischen Gebrauch.

Menge: 100 ul
Lieferbar: In stock
lieferbar

Vergleichen

Auf den Wunschzettel

Angebot anfordern

Lieferzeit anfragen

Technische Frage stellen

Bulk-Anfrage stellen

Fragen zum Produkt?
 
Schließen