Vergleich

PCNA Antibody (C-term)

ArtNr ABC-AW5198-U100
Hersteller Abcepta
Menge 100 ul
Kategorie
Typ Antibody Primary
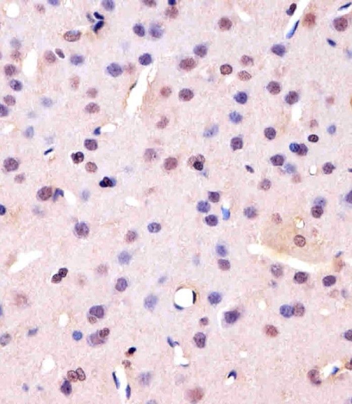
Applikationen WB, IHC
Specific against Human (Homo sapiens), Mouse (Murine, Mus musculus)
Host Mouse
Isotype IgG1
Citations Almendral J.M., et al. Proc. Natl. Acad. Sci. U.S.A. 84:1575-1579(1987).
Travali S., et al. J. Biol. Chem. 264:7466-7472(1989).
Ota T., et al. Nat. Genet. 36:40-45(2004).
Deloukas P., et al. Nature 414:865-871(2001).
Mural R.J., et al. Submitted (SEP-2005) to the EMBL/GenBank/DDBJ databases.
NCBI NP_002583.1,NP_872590.1
ECLASS 10.1 32160702
ECLASS 11.0 32160702
UNSPSC 12352203
Alias PCNA,Proliferating cell nuclear antigen,Proliferating cell nuclear antigen,Cyclin
Similar products PCNA, Cyclin, Proliferating cell nuclear antigen
Lieferbar
Manufacturer - Category
Primary Antibodies
Manufacturer - Targets
This PCNA antibody is generated from mice immunized with a KLH conjugated synthetic peptide between 236-261 amino acids from the C-terminal region of human PCNA.
Bio Background
This protein is an auxiliary protein of DNA polymerase delta and is involved in the control of eukaryotic DNA replication by increasing the polymerase' s processibility during elongation of the leading strand. Induces a robust stimulatory effect on the 3' -5' exonuclease and 3' -phosphodiesterase, but not apurinic-apyrimidinic (AP) endonuclease, APEX2 activities. Has to be loaded onto DNA in order to be able to stimulate APEX2.
Clonality
Monoclonal
Gene Name
PCNA
Subtitle
Mouse Monoclonal Antibody (Mab)
Reactivity
H, M
Predicted Reactivity
B, Ha, Pr, Rat
Calculated Molecular Weight
28769
Antigen Source
Human
Antigen Region
236-261
Formulation
Purified monoclonal antibody supplied in PBS with 0.09% (W/V) sodium azide. This antibody is purified through a protein G column, followed by dialysis against PBS.
Dilution
WB: 1:1000
WB: 1:3000
IHC: 1:25
Antigen Type
Synthetic Peptide

Hinweis: Die dargestellten Informationen und Dokumente (Bedienungsanleitung, Produktdatenblatt, Sicherheitsdatenblatt und Analysezertifikat) entsprechen unserem letzten Update und sollten lediglich der Orientierung dienen. Wir übernehmen keine Garantie für die Aktualität. Für spezifische Anforderungen bitten wir Sie, uns eine Anfrage zu stellen.

Alle Produkte sind nur für Forschungszwecke bestimmt. Nicht für den menschlichen, tierärztlichen oder therapeutischen Gebrauch.

Menge: 100 ul
Lieferbar: In stock
lieferbar

Vergleichen

Auf den Wunschzettel

Angebot anfordern

Lieferzeit anfragen

Technische Frage stellen

Bulk-Anfrage stellen

Fragen zum Produkt?
 
Schließen